• 文献检索
  • 文档翻译
  • 深度研究
  • 学术资讯
  • Suppr Zotero 插件Zotero 插件
  • 邀请有礼
  • 套餐&价格
  • 历史记录
应用&插件
Suppr Zotero 插件Zotero 插件浏览器插件Mac 客户端Windows 客户端微信小程序
定价
高级版会员购买积分包购买API积分包
服务
文献检索文档翻译深度研究API 文档MCP 服务
关于我们
关于 Suppr公司介绍联系我们用户协议隐私条款
关注我们

Suppr 超能文献

核心技术专利:CN118964589B侵权必究
粤ICP备2023148730 号-1Suppr @ 2026

文献检索

告别复杂PubMed语法,用中文像聊天一样搜索,搜遍4000万医学文献。AI智能推荐,让科研检索更轻松。

立即免费搜索

文件翻译

保留排版,准确专业,支持PDF/Word/PPT等文件格式,支持 12+语言互译。

免费翻译文档

深度研究

AI帮你快速写综述,25分钟生成高质量综述,智能提取关键信息,辅助科研写作。

立即免费体验

主要组织相容性复合体-B 单倍型与卵巢移植物反应。

Major Histocompatibility Complex-B haplotype and ovarian graft response.

机构信息

Western College of Veterinary Medicine, University of Saskatchewan, Saskatoon, SK, S7N 5B4, Canada; Agriculture and Agri-Food Canada, Saskatoon, SK, S7N 0×2, Canada.

Hy-Line International, Dallas Center, IA, 50063, USA.

出版信息

Poult Sci. 2023 Sep;102(9):102850. doi: 10.1016/j.psj.2023.102850. Epub 2023 Jun 9.

DOI:10.1016/j.psj.2023.102850
PMID:37406439
原文链接:https://pmc.ncbi.nlm.nih.gov/articles/PMC10466249/
Abstract

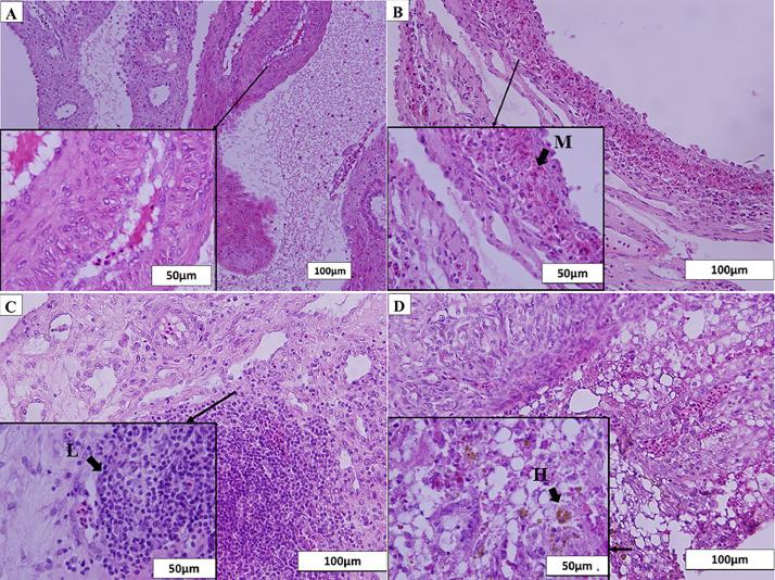
Gonadal tissue transfer is considered one of the best methods to preserve genetic variability. Poultry hosts can receive a gonad from a donor of a different genetic background, sustain the growth of this graft, and produce gametes from it. Unfortunately, the host's strong immune response may significantly reduce the gonadal graft's ability to reach maturity. Our study aimed to evaluate the influence of MHC-B alleles in rejecting a gonadal graft of similar or different genetic backgrounds. In the first experiment, ovarian tissue was transplanted to chicks of similar genetic backgrounds, either Lohmann White (LW) with variable MHC-B or Barred Rock (BR) with fixed MHC-B. The sustained growth of donor ovarian tissues occurred in (4/7 hosts) BR (MHC-B matched) hosts only-one of these graft-positive-BR hens produced eggs derived from the donor ovary. No grafts were recovered when the host and the donor had an LW background (0/9; MHC-B mismatched). In the second experiment, ovarian transplantation was done between chicks of either similar or different genetic backgrounds (Brown Leghorn [BL], BR, and BL/BR F1). The 2 pure lines contained only one MHC-B allele, whereas the F1 heterozygotes had both. All host birds were given a daily dose of an immunosuppressant (mycophenolate mofetil) until maturity. The success rate was assessed by microsatellite genotype confirmation of donor-derived ovaries plus physiological and histological analyses of ovarian grafts. In this second experiment, 11 out of 43 ovarian hosts laid eggs. However, all fertilized eggs from these hens were derived from the remnant host ovarian tissue, not from the donor ovaries. A necropsy assessment was done on all 43 host birds. Ten donor grafts were recovered from hosts having matched (6 hosts) and mismatched (4 hosts) MHC-B, and none were functional. Interestingly, 6 of them were enclosed by a serous membrane capsule filled with fluid and had various tissue growth. In addition, clusters of immune cells were observed in all recovered donor grafts. Our results demonstrated that genetic background could greatly influence the success of gonadal transfer in chickens.

摘要

生殖腺组织移植被认为是保存遗传变异性的最佳方法之一。家禽宿主可以接收来自不同遗传背景的供体的生殖腺,并维持该移植物的生长,并从中产生配子。不幸的是,宿主强烈的免疫反应可能会显著降低生殖腺移植物成熟的能力。我们的研究旨在评估 MHC-B 等位基因在排斥相似或不同遗传背景的生殖腺移植物中的影响。在第一个实验中,将卵巢组织移植到遗传背景相似的小鸡中,这些小鸡要么是具有可变 MHC-B 的 Lohmann White(LW),要么是具有固定 MHC-B 的 Barred Rock(BR)。只有在 MHC-B 匹配(BR)宿主中(4/7 宿主),供体卵巢组织才能持续生长-这些移植阳性-BR 母鸡中的一只产生了来自供体卵巢的鸡蛋。当宿主和供体具有 LW 背景(0/9;MHC-B 不匹配)时,没有移植物被回收。在第二个实验中,在遗传背景相似或不同的小鸡(Brown Leghorn [BL]、BR 和 BL/BR F1)之间进行了卵巢移植。这两个纯系只含有一个 MHC-B 等位基因,而 F1 杂合子则同时含有两个。所有宿主鸟类都给予每日剂量的免疫抑制剂(霉酚酸酯)直到成熟。通过微卫星基因型确认供体衍生的卵巢以及对卵巢移植物的生理和组织学分析来评估成功率。在第二个实验中,43 个卵巢宿主中有 11 个产卵。然而,这些母鸡的所有受精卵均来自残余宿主卵巢组织,而不是供体卵巢。对所有 43 只宿主鸟类进行了尸检评估。从匹配(6 只宿主)和不匹配(4 只宿主)MHC-B 的宿主中回收了 10 个供体移植物,它们均无功能。有趣的是,其中 6 个被充满液体的浆膜囊封闭,并有各种组织生长。此外,在所有回收的供体移植物中都观察到免疫细胞簇。我们的结果表明,遗传背景可能极大地影响鸡生殖腺转移的成功。

https://cdn.ncbi.nlm.nih.gov/pmc/blobs/66b8/10466249/a0e109de6e33/gr2.jpg
https://cdn.ncbi.nlm.nih.gov/pmc/blobs/66b8/10466249/75e24f95a9ad/gr1.jpg
https://cdn.ncbi.nlm.nih.gov/pmc/blobs/66b8/10466249/a0e109de6e33/gr2.jpg
https://cdn.ncbi.nlm.nih.gov/pmc/blobs/66b8/10466249/75e24f95a9ad/gr1.jpg
https://cdn.ncbi.nlm.nih.gov/pmc/blobs/66b8/10466249/a0e109de6e33/gr2.jpg

相似文献

1
Major Histocompatibility Complex-B haplotype and ovarian graft response.主要组织相容性复合体-B 单倍型与卵巢移植物反应。
Poult Sci. 2023 Sep;102(9):102850. doi: 10.1016/j.psj.2023.102850. Epub 2023 Jun 9.
2
Identification and evaluation of major histocompatibility complex antigens in chicken chimeras and their relationship to germline transmission.鸡嵌合体中主要组织相容性复合体抗原的鉴定与评估及其与种系传递的关系。
Poult Sci. 2002 Oct;81(10):1427-38. doi: 10.1093/ps/81.10.1427.
3
Improvement of the application of gonadal tissue allotransplantation in the in vitro conservation of chicken genetic lines.提高睾丸组织同种异体移植在鸡遗传品系体外保存中的应用。
Anim Reprod Sci. 2020 Feb;213:106280. doi: 10.1016/j.anireprosci.2020.106280. Epub 2020 Jan 10.
4
MHC haplotype involvement in avian resistance to an ectoparasite.主要组织相容性复合体单倍型与禽类对外寄生虫抗性的关系
Immunogenetics. 2008 Oct;60(10):621-31. doi: 10.1007/s00251-008-0314-2. Epub 2008 Jul 15.
5
Treatment of donor mice with an alpha beta T-cell receptor monoclonal antibody induces prolonged T-cell nonresponsiveness and effectively prevents lethal graft-versus-host disease in murine recipients of major histocompatibility complex (MHC)-matched and MHC-mismatched donor marrow grafts.用αβT细胞受体单克隆抗体处理供体小鼠可诱导T细胞长期无反应性,并有效预防主要组织相容性复合体(MHC)匹配和MHC不匹配的供体骨髓移植小鼠受体中的致死性移植物抗宿主病。
Blood. 1996 Jun 15;87(12):5355-69.
6
Induction of T cell differentiation in early-thymectomized Xenopus by grafting adult thymuses from either MHC-matched or from partially or totally MHC-mismatched donors.通过移植来自 MHC 匹配、部分或完全 MHC 不匹配供体的成年胸腺,诱导早期胸腺切除的非洲爪蟾的 T 细胞分化。
Thymus. 1984;6(1-2):89-103.
7
Effect of mismatches for major histocompatibility complex and minor antigens on corneal graft rejection.主要组织相容性复合体和次要抗原错配对角膜移植排斥反应的影响。
Invest Ophthalmol Vis Sci. 1991 Sep;32(10):2729-34.
8
Turkey ovarian tissue transplantation: effects of surgical technique on graft attachment and immunological status of the grafts, 6 days post-surgery.土耳其卵巢组织移植:手术技术对移植物附着和移植物免疫状态的影响,术后 6 天。
Poult Sci. 2022 Mar;101(3):101648. doi: 10.1016/j.psj.2021.101648. Epub 2021 Dec 8.
9
Establishment of six homozygous MHC-B haplotype populations associated with susceptibility to Marek's disease in Chinese specific pathogen-free BWEL chickens.在中国特定病原体-free BWEL鸡中建立与马立克氏病易感性相关的六个纯合MHC-B单倍型群体。
Infect Genet Evol. 2015 Jan;29:15-25. doi: 10.1016/j.meegid.2014.10.031. Epub 2014 Nov 7.
10
A decrease in graft-vs.-host disease without loss of graft-vs.-leukemia reactivity after MHC-matched bone marrow transplantation by selective depletion of donor NK cells in vivo.通过体内选择性清除供体自然杀伤细胞,在进行主要组织相容性复合体匹配的骨髓移植后,移植物抗宿主病减少,而移植物抗白血病反应性未丧失。
Transplantation. 1992 Jul;54(1):104-12. doi: 10.1097/00007890-199207000-00019.

引用本文的文献

1
Novel therapeutic strategies and recent advances in gut microbiota synergy with nanotechnology for colorectal cancer treatment.用于结直肠癌治疗的肠道微生物群与纳米技术协同作用的新型治疗策略及最新进展。
Mater Today Bio. 2025 Feb 20;31:101601. doi: 10.1016/j.mtbio.2025.101601. eCollection 2025 Apr.

本文引用的文献

1
Cyclosporin A Prevents Ovarian Graft Rejection, and Permits Normal Germ Cell Maturation Within the First 5 Weeks Post-transplantation, in the Domestic Turkey ().环孢素A可防止家火鸡卵巢移植排斥反应,并使移植后前5周内生殖细胞正常成熟。
Front Vet Sci. 2022 Apr 15;9:855164. doi: 10.3389/fvets.2022.855164. eCollection 2022.
2
Animal board invited review: Germplasm technologies for use with poultry.动物委员会邀请评审:家禽种质技术
Animal. 2022 Mar;16(3):100475. doi: 10.1016/j.animal.2022.100475. Epub 2022 Feb 24.
3
Turkey ovarian tissue transplantation: effects of surgical technique on graft attachment and immunological status of the grafts, 6 days post-surgery.
土耳其卵巢组织移植:手术技术对移植物附着和移植物免疫状态的影响,术后 6 天。
Poult Sci. 2022 Mar;101(3):101648. doi: 10.1016/j.psj.2021.101648. Epub 2021 Dec 8.
4
Avian Primordial Germ Cells Are Bipotent for Male or Female Gametogenesis.禽类原始生殖细胞对雄性或雌性配子发生具有双向潜能。
Front Cell Dev Biol. 2021 Sep 29;9:726827. doi: 10.3389/fcell.2021.726827. eCollection 2021.
5
Comparison of major histocompatibility complex-B variability in Sri Lankan indigenous chickens with five global chicken populations using MHC-B SNP panel.利用 MHC-B SNP 面板比较斯里兰卡本土鸡与五个全球鸡群体的主要组织相容性复合体-B 变异性。
Anim Genet. 2021 Dec;52(6):824-833. doi: 10.1111/age.13137. Epub 2021 Sep 14.
6
Successful cryopreservation and regeneration of a partridge colored Hungarian native chicken breed using primordial germ cells.利用原始生殖细胞成功冷冻保存并再生鹧鸪色匈牙利本土鸡品种。
Poult Sci. 2021 Aug;100(8):101207. doi: 10.1016/j.psj.2021.101207. Epub 2021 Apr 28.
7
In ovo culturing of turkey (Meleagris gallopavo) ovarian tissue to assess graft viability and maturation of prefollicular germ cells and follicles.在鸡胚中培养火鸡(Meleagris gallopavo)卵巢组织,以评估移植物的活力和原始生殖细胞和卵泡的成熟情况。
Poult Sci. 2020 Dec;99(12):7109-7121. doi: 10.1016/j.psj.2020.09.014. Epub 2020 Sep 15.
8
Advances in methodologies for detecting MHC-B variability in chickens.检测鸡 MHC-B 变异性的方法学进展。
Poult Sci. 2020 Mar;99(3):1267-1274. doi: 10.1016/j.psj.2019.11.029. Epub 2020 Jan 29.
9
Improvement of the application of gonadal tissue allotransplantation in the in vitro conservation of chicken genetic lines.提高睾丸组织同种异体移植在鸡遗传品系体外保存中的应用。
Anim Reprod Sci. 2020 Feb;213:106280. doi: 10.1016/j.anireprosci.2020.106280. Epub 2020 Jan 10.
10
Reviving rare chicken breeds using genetically engineered sterility in surrogate host birds.利用基因工程使代孕宿主鸟不育来复活稀有鸡种。
Proc Natl Acad Sci U S A. 2019 Oct 15;116(42):20930-20937. doi: 10.1073/pnas.1906316116. Epub 2019 Oct 1.