Department of Neurology, the First Affiliated Hospital of Kunming Medical University, Kunming, China.
Trauma Center, the First Affiliated Hospital of Kunming Medical University, Kunming, China.
Medicine (Baltimore). 2023 Jul 7;102(27):e34197. doi: 10.1097/MD.0000000000034197.
Coronavirus disease 2019 (COVID-19) can damage the central nervous system. Although there have been reports of cerebral hemorrhage and infarction caused by COVID-19, hematomyelia due to COVID-19 has never been reported.
A 40-year-old male was admitted to the hospital with positive nucleic acid detection for COVID-19 after experiencing fever for 2 weeks, urinary retention, fecal retention, and pain in both lower extremities for a week.
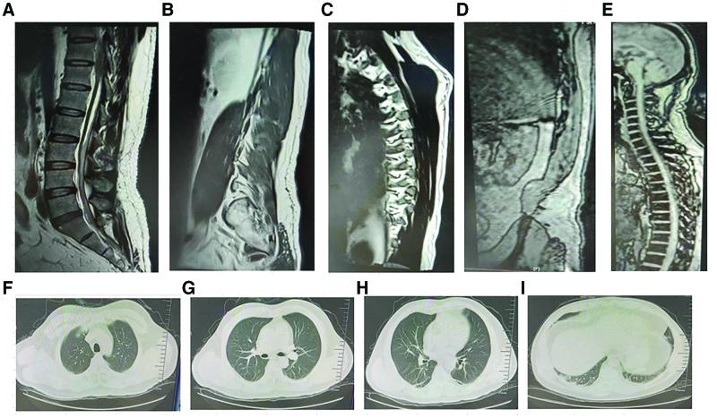
The patient diagnosis was established using thoracic and lumbar magnetic resonance imaging (MRI). Contrast-enhanced thoracic and lumbar MRI revealed subdural (dorsal predominant) short T1 and slightly long T2 bands in the T12-S2 infundibular canal in the scan field, and the subdural hematoma was yet to be distinguished from other diseases. Spinal cord edema was observed in the left vertebral plate and facet joint of the T11 vertebral body, indicative of inflammation. The cerebrospinal fluid (CSF) was positive for COVID-19 nucleic acid.
Antiinfection, immunomodulation, correction of acid-base balance and electrolyte disorders, improvement of circulation, nerve nutrition, and other symptomatic supportive treatments were administered to the patient.
The patient symptoms significantly improved after 4 weeks of anti-infection and immunomodulatory therapy. Repeat thoracolumbar MRI revealed absorption of the spinal cord hematoma, and the patient was discharged from the hospital. To date, COVID-19-related hematomyelia has not been reported and anti-infective and immunomodulatory therapies may be effective.
COVID-19 not only easily leads to brain injury but can also cause spinal cord injury and even spinal cord hemorrhage. When patients with COVID-19 experience symptoms and signs of spinal cord injury, spinal cord injury and bleeding caused by COVID-19 should be considered, and MRI and lumbar puncture should be performed as soon as possible to make a clear diagnosis.
新型冠状病毒病 2019(COVID-19)可损害中枢神经系统。虽然有 COVID-19 导致脑出血和脑梗死的报道,但从未有 COVID-19 引起的脊髓血肿的报道。
一名 40 岁男性,因发热 2 周,伴尿潴留、粪潴留和双下肢疼痛 1 周,入院后经核酸检测 COVID-19 阳性。
根据胸椎和腰椎磁共振成像(MRI)诊断。胸椎和腰椎增强 MRI 显示在扫描野的 T12-S2 漏斗管中存在硬膜下(背侧为主)短 T1 和稍长 T2 带,硬膜下血肿尚未与其他疾病区分。T11 椎体左侧椎板和小关节存在脊髓水肿,提示炎症。脑脊液(CSF)COVID-19 核酸阳性。
给予抗感染、免疫调节、酸碱平衡和电解质紊乱纠正、改善循环、神经营养等对症支持治疗。
经过 4 周抗感染和免疫调节治疗,患者症状明显改善。复查胸腰椎 MRI 显示脊髓血肿吸收,患者出院。迄今为止,尚未报道与 COVID-19 相关的脊髓血肿,抗感染和免疫调节治疗可能有效。
COVID-19 不仅容易导致脑损伤,还可引起脊髓损伤,甚至脊髓出血。当 COVID-19 患者出现脊髓损伤的症状和体征时,应考虑 COVID-19 引起的脊髓损伤和出血,尽快行 MRI 和腰椎穿刺以明确诊断。