Suppr超能文献

运用细胞化学银增强法对实验性急性肾小管坏死期间肾脏中汞的定位进行研究。

Localization of mercury in the kidney during experimental acute tubular necrosis studied by the cytochemical Silver Amplification method.

作者信息

Hultman P, Eneström S

出版信息

Br J Exp Pathol. 1986 Aug;67(4):493-503.

Abstract

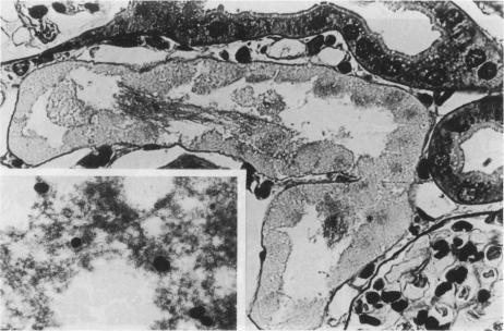
An intravenous injection of 3.0 mg HgCl2/kg bw was given to Balb/c mice. The concentration of mercury in the red blood cells, serum, and kidney was determined after 5 min, 30 min, 2 h and 24 h by atomic absorption spectrophotometry. The concentration of mercury in the serum showed a maximum after 5 min, and reached a constant low level after 30 min, whereas the concentration of mercury in the red blood cells gradually decreased and reached a similar low level at 24 h. The concentration of mercury in the kidney was greatest after 2 h and was markedly reduced at 24 h. The distribution of mercury in the kidney was followed for up to 17 days by the cytochemical Silver Amplification method applied at the light and electron microscopical levels. Mercury accumulated rapidly, but only in the proximal tubular epithelial cells, preferentially in the S2 and S3 segments. At the subcellular level mercury was only found in endocytic structures, and accumulated in the lysosomes. Very large mercury-containing lysosomes developed in the distal S3 segment. Cell necrosis was severest in the S2 and proximal S3 segments. Regenerated and differentiating epithelial cells in the proximal tubules still showed many mercury-containing lysosomes 17 days after the injection.

摘要

给Balb/c小鼠静脉注射3.0毫克氯化汞/千克体重。分别于5分钟、30分钟、2小时和24小时后,通过原子吸收分光光度法测定红细胞、血清和肾脏中的汞浓度。血清中的汞浓度在5分钟后达到最高,30分钟后降至恒定的低水平,而红细胞中的汞浓度逐渐降低,24小时后达到类似的低水平。肾脏中的汞浓度在2小时后最高,24小时时显著降低。通过光镜和电镜水平应用的细胞化学银放大法,对肾脏中汞的分布进行了长达17天的跟踪观察。汞迅速蓄积,但仅蓄积在近端肾小管上皮细胞中,优先蓄积在S2和S3段。在亚细胞水平上,汞仅存在于内吞结构中,并蓄积在溶酶体中。在远端S3段形成了非常大的含汞溶酶体。S2和近端S3段的细胞坏死最为严重。注射后17天,近端肾小管中再生和分化的上皮细胞仍显示出许多含汞溶酶体。

https://cdn.ncbi.nlm.nih.gov/pmc/blobs/7130/2013039/912b37012403/brjexppathol00016-0036-a.jpg

文献检索

告别复杂PubMed语法,用中文像聊天一样搜索,搜遍4000万医学文献。AI智能推荐,让科研检索更轻松。

立即免费搜索

文件翻译

保留排版,准确专业,支持PDF/Word/PPT等文件格式,支持 12+语言互译。

免费翻译文档

深度研究

AI帮你快速写综述,25分钟生成高质量综述,智能提取关键信息,辅助科研写作。

立即免费体验