Suppr超能文献

病例报告:1例罕见的黄疸型斯陶弗综合征。

A case report: A rare case of icteric variant of Stauffer's syndrome.

作者信息

Abiharan P, Balagobi B, Gobishangar S, Senthuran R, Thulasi T

机构信息

University Surgical Unit, Teaching Hospital Jaffna, Sri Lanka.

Department of Surgery, Faculty of Medicine, University of Jaffna, Sri Lanka.

出版信息

Int J Surg Case Rep. 2023 Jul;108:108455. doi: 10.1016/j.ijscr.2023.108455. Epub 2023 Jul 1.

Abstract

INTRODUCTION

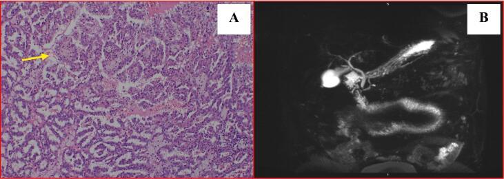
Stauffer's syndrome is a rare paraneoplastic non metastatic hepatic dysfunction related to renal cell carcinoma. It is characterized by elevated alkaline phosphatase, erythrocyte sedimentation rate, a-2-globulin, y-glutamyl transferase, thrombocytosis, prolongation of prothrombin time and hepatosplenomegaly, in the absence of hepatic metastasis. A rare variant of it with cholestatic jaundice is described in four cases so far in literature.

CLINICAL PRESENTATION

We present a case of a patient presented with features of cholestatic jaundice who was found to have a left sided renal cell carcinoma in the work up.

DISCUSSION

This case illustrates the importance of considering paraneoplastic syndromes in mind when working up for patients presenting with hepatic dysfunctions without identifiable causes.

CONCLUSION

This may result in early identification and intervention which will result in better outcome and prolong survival rate.

摘要

引言

施陶费尔综合征是一种与肾细胞癌相关的罕见副肿瘤性非转移性肝功能障碍。其特征为碱性磷酸酶、红细胞沉降率、α-2球蛋白、γ-谷氨酰转移酶升高,血小板增多,凝血酶原时间延长以及肝脾肿大,且无肝转移。文献中迄今为止仅报道了4例伴有胆汁淤积性黄疸的罕见变异型病例。

临床表现

我们报告1例表现为胆汁淤积性黄疸的患者,在检查过程中发现患有左侧肾细胞癌。

讨论

该病例说明了在对无明确病因的肝功能障碍患者进行检查时,考虑副肿瘤综合征的重要性。

结论

这可能会导致早期识别和干预,从而产生更好的结果并延长生存率。

https://cdn.ncbi.nlm.nih.gov/pmc/blobs/b0dc/10382848/3d08004ec6bd/gr1.jpg

文献AI研究员

20分钟写一篇综述,助力文献阅读效率提升50倍。

立即体验

用中文搜PubMed

大模型驱动的PubMed中文搜索引擎

马上搜索

文档翻译

学术文献翻译模型,支持多种主流文档格式。

立即体验