• 文献检索
  • 文档翻译
  • 深度研究
  • 学术资讯
  • Suppr Zotero 插件Zotero 插件
  • 邀请有礼
  • 套餐&价格
  • 历史记录
应用&插件
Suppr Zotero 插件Zotero 插件浏览器插件Mac 客户端Windows 客户端微信小程序
定价
高级版会员购买积分包购买API积分包
服务
文献检索文档翻译深度研究API 文档MCP 服务
关于我们
关于 Suppr公司介绍联系我们用户协议隐私条款
关注我们

Suppr 超能文献

核心技术专利:CN118964589B侵权必究
粤ICP备2023148730 号-1Suppr @ 2026

文献检索

告别复杂PubMed语法,用中文像聊天一样搜索,搜遍4000万医学文献。AI智能推荐,让科研检索更轻松。

立即免费搜索

文件翻译

保留排版,准确专业,支持PDF/Word/PPT等文件格式,支持 12+语言互译。

免费翻译文档

深度研究

AI帮你快速写综述,25分钟生成高质量综述,智能提取关键信息,辅助科研写作。

立即免费体验

异位肾上腺嗜铬细胞瘤

Pheochromocytoma in an Ectopic Adrenal Gland.

作者信息

Wahbi Salma, Cherkaoui Siham B, Aynaou Hayat, Salhi Houda, El Ouahabi Hanan

机构信息

Department of Endocrinology, Diabetology, Metabolic Diseases and Nutrition, Hassan II University Hospital, Fez, MAR.

Department of Endocrinology, Diabetology, Metabolic Diseases and Nutrition, Hassan II University Hospital, Fes, MAR.

出版信息

Cureus. 2023 Jun 6;15(6):e40068. doi: 10.7759/cureus.40068. eCollection 2023 Jun.

DOI:10.7759/cureus.40068
PMID:37425549
原文链接:https://pmc.ncbi.nlm.nih.gov/articles/PMC10326456/
Abstract

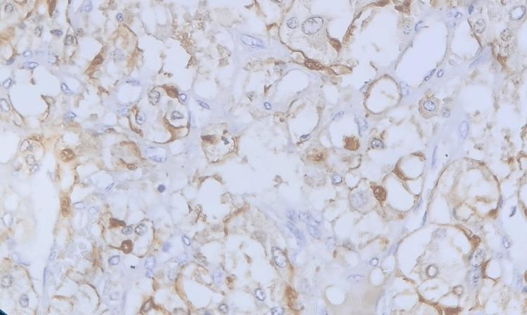
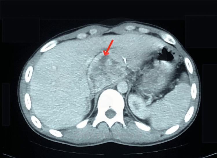
A pheochromocytoma is an uncommon tumor that originates from the chromaffin cells of the adrenal medulla. Also, adrenal tissue not located in its typical position is referred to as ectopic adrenal tissue. It is relatively uncommon in adults and is usually asymptomatic. Therefore, a pheochromocytoma arising from ectopic adrenal tissue is even a rarer finding and presents as a unique diagnostic challenge. A 20-year-old man presented with vague abdominal pain, and upon imaging, a mass located behind the liver was initially discovered. Subsequently, it was identified as a mass growing in an ectopic adrenal gland. He underwent exploratory laparotomy and resection of the mass. A pheochromocytoma in an ectopic adrenal gland was confirmed by histopathology.

摘要

嗜铬细胞瘤是一种起源于肾上腺髓质嗜铬细胞的罕见肿瘤。此外,位于非典型位置的肾上腺组织被称为异位肾上腺组织。它在成年人中相对少见,通常无症状。因此,起源于异位肾上腺组织的嗜铬细胞瘤更是罕见,是一个独特的诊断挑战。一名20岁男性因腹部隐痛就诊,影像学检查最初发现肝脏后方有一个肿块。随后,该肿块被确定为在异位肾上腺中生长。他接受了剖腹探查并切除了肿块。组织病理学证实为异位肾上腺中的嗜铬细胞瘤。

https://cdn.ncbi.nlm.nih.gov/pmc/blobs/97f5/10326456/69cb475b2e99/cureus-0015-00000040068-i06.jpg
https://cdn.ncbi.nlm.nih.gov/pmc/blobs/97f5/10326456/815d57488b97/cureus-0015-00000040068-i01.jpg
https://cdn.ncbi.nlm.nih.gov/pmc/blobs/97f5/10326456/b03ec3d8fe48/cureus-0015-00000040068-i02.jpg
https://cdn.ncbi.nlm.nih.gov/pmc/blobs/97f5/10326456/ce36c9aa1bf5/cureus-0015-00000040068-i03.jpg
https://cdn.ncbi.nlm.nih.gov/pmc/blobs/97f5/10326456/ad67619a86cf/cureus-0015-00000040068-i04.jpg
https://cdn.ncbi.nlm.nih.gov/pmc/blobs/97f5/10326456/651ca5c327d8/cureus-0015-00000040068-i05.jpg
https://cdn.ncbi.nlm.nih.gov/pmc/blobs/97f5/10326456/69cb475b2e99/cureus-0015-00000040068-i06.jpg
https://cdn.ncbi.nlm.nih.gov/pmc/blobs/97f5/10326456/815d57488b97/cureus-0015-00000040068-i01.jpg
https://cdn.ncbi.nlm.nih.gov/pmc/blobs/97f5/10326456/b03ec3d8fe48/cureus-0015-00000040068-i02.jpg
https://cdn.ncbi.nlm.nih.gov/pmc/blobs/97f5/10326456/ce36c9aa1bf5/cureus-0015-00000040068-i03.jpg
https://cdn.ncbi.nlm.nih.gov/pmc/blobs/97f5/10326456/ad67619a86cf/cureus-0015-00000040068-i04.jpg
https://cdn.ncbi.nlm.nih.gov/pmc/blobs/97f5/10326456/651ca5c327d8/cureus-0015-00000040068-i05.jpg
https://cdn.ncbi.nlm.nih.gov/pmc/blobs/97f5/10326456/69cb475b2e99/cureus-0015-00000040068-i06.jpg

相似文献

1
Pheochromocytoma in an Ectopic Adrenal Gland.异位肾上腺嗜铬细胞瘤
Cureus. 2023 Jun 6;15(6):e40068. doi: 10.7759/cureus.40068. eCollection 2023 Jun.
2
A case of adrenocortical oncocytic carcinoma arising in ectopic adrenal tissue: a multidisciplinary diagnostic challenge.一例起源于异位肾上腺组织的肾上腺皮质嗜酸性细胞癌:多学科诊断挑战
Ecancermedicalscience. 2020 Nov 5;14:1135. doi: 10.3332/ecancer.2020.1135. eCollection 2020.
3
Extra-adrenal pheochromocytoma with initial symptom of haemoptysis: a case report and review of literature.肺出血为首发症状的肾上腺外嗜铬细胞瘤 1 例并文献复习
BMC Surg. 2021 Jan 6;21(1):13. doi: 10.1186/s12893-020-01038-6.
4
Paraganglioma and adrenal pheochromocytoma presenting simultaneously in an elderly female. Case report and review of the literature.老年女性同时出现副神经节瘤和肾上腺嗜铬细胞瘤。病例报告及文献复习
Urol Int. 2001;66(2):108-9. doi: 10.1159/000056581.
5
Posterior mediastinal paraganglioma with bilateral adrenal pheochromocytoma.后纵隔副神经节瘤伴双侧肾上腺嗜铬细胞瘤。
Respir Med. 2004 Jun;98(6):574-6. doi: 10.1016/j.rmed.2003.12.001.
6
[Can pheochromocytoma be considered a benign unilateral intra-adrenal sporadic hypertensive tumor ? Reflections on a series of 105 surgically treated subdiaphragmatic chromaffin tumors].[嗜铬细胞瘤可被视为良性单侧肾上腺内散发性高血压肿瘤吗?对105例经手术治疗的膈下嗜铬细胞瘤病例系列的思考]
Chirurgie. 1992;118(8):433-8.
7
Adrenal and extra-adrenal nonfunctioning composite pheochromocytoma/paraganglioma with immunohistochemical ectopic hormone expression: comparison of two cases.肾上腺及肾上腺外无功能复合性嗜铬细胞瘤/副神经节瘤伴免疫组化异位激素表达:两例病例比较
Urol Int. 2010;85(3):368-72. doi: 10.1159/000317312. Epub 2010 Sep 9.
8
Intracranial Epidural Metastases of Adrenal Pheochromocytoma: A Rare Entity.颅内硬脑膜转移的肾上腺嗜铬细胞瘤:一种罕见实体。
World Neurosurg. 2018 Jun;114:235-240. doi: 10.1016/j.wneu.2018.03.126. Epub 2018 Mar 26.
9
[Non-secreting pheochromocytoma of the broad ligament revealed by appendicular peritonitis].[阑尾腹膜炎揭示的阔韧带非分泌性嗜铬细胞瘤]
Presse Med. 1999 Feb 6;28(5):225-8.
10
An unusual case of ectopic corticotrophin-releasing hormone syndrome caused by an adrenal noncatecholamine-secreting pheochromocytoma: a case report.一例由肾上腺非儿茶酚胺分泌性嗜铬细胞瘤引起的异位促肾上腺皮质激素释放激素综合征:病例报告
BMC Endocr Disord. 2018 Jun 19;18(1):41. doi: 10.1186/s12902-018-0269-8.

本文引用的文献

1
Case report: An ectopic adrenocortical adenoma in the renal sinus.病例报告:肾窦内异位肾上腺皮质腺瘤。
Front Oncol. 2022 Jul 28;12:934862. doi: 10.3389/fonc.2022.934862. eCollection 2022.
2
Pheochromocytoma arising from an ectopic adrenal tissue in multiple endocrine neoplasia type 2A.起源于2A型多发性内分泌腺瘤病异位肾上腺组织的嗜铬细胞瘤。
Endocrinol Diabetes Metab Case Rep. 2019 Oct 12;2019. doi: 10.1530/EDM-19-0073.
3
An ectopic adrenocortical adenoma in renal hilum presenting with Cushing's syndrome: A case report and literature review.
肾门处异位肾上腺皮质腺瘤伴库欣综合征:一例报告及文献复习
Medicine (Baltimore). 2018 Dec;97(50):e13322. doi: 10.1097/MD.0000000000013322.
4
Novel insights into the polycythemia-paraganglioma-somatostatinoma syndrome.对红细胞增多症-副神经节瘤-生长抑素瘤综合征的新见解。
Endocr Relat Cancer. 2016 Dec;23(12):899-908. doi: 10.1530/ERC-16-0231. Epub 2016 Sep 27.
5
Pheochromocytoma and paraganglioma: an endocrine society clinical practice guideline.嗜铬细胞瘤和副神经节瘤:内分泌学会临床实践指南
J Clin Endocrinol Metab. 2014 Jun;99(6):1915-42. doi: 10.1210/jc.2014-1498.
6
Germline mutations in FH confer predisposition to malignant pheochromocytomas and paragangliomas.FH基因的种系突变会增加患恶性嗜铬细胞瘤和副神经节瘤的风险。
Hum Mol Genet. 2014 May 1;23(9):2440-6. doi: 10.1093/hmg/ddt639. Epub 2013 Dec 13.
7
Ectopic adrenal cortical adenoma in the gastric wall: case report.胃壁异位肾上腺皮质腺瘤:病例报告。
World J Gastroenterol. 2013 Feb 7;19(5):778-80. doi: 10.3748/wjg.v19.i5.778.
8
Adrenocortical stem and progenitor cells: unifying model of two proposed origins.肾上腺皮质干细胞和祖细胞:两种拟议起源的统一模型。
Mol Cell Endocrinol. 2011 Apr 10;336(1-2):206-12. doi: 10.1016/j.mce.2010.11.012. Epub 2010 Nov 20.
9
Ectopic adrenal cortical adenoma in the spinal region: case report and review of the literature.脊柱区域异位肾上腺皮质腺瘤:病例报告及文献复习。
Brain Tumor Pathol. 2010 Oct;27(2):121-5. doi: 10.1007/s10014-010-0270-z. Epub 2010 Nov 3.
10
Ectopic adrenal cortex tissue: an incidental finding during inguinoscrotal operations in pediatric patients.异位肾上腺皮质组织:小儿腹股沟阴囊手术中的偶然发现。
Urol Int. 2008;81(3):316-9. doi: 10.1159/000151411. Epub 2008 Oct 16.