• 文献检索
  • 文档翻译
  • 深度研究
  • 学术资讯
  • Suppr Zotero 插件Zotero 插件
  • 邀请有礼
  • 套餐&价格
  • 历史记录
应用&插件
Suppr Zotero 插件Zotero 插件浏览器插件Mac 客户端Windows 客户端微信小程序
定价
高级版会员购买积分包购买API积分包
服务
文献检索文档翻译深度研究API 文档MCP 服务
关于我们
关于 Suppr公司介绍联系我们用户协议隐私条款
关注我们

Suppr 超能文献

核心技术专利:CN118964589B侵权必究
粤ICP备2023148730 号-1Suppr @ 2026

文献检索

告别复杂PubMed语法,用中文像聊天一样搜索,搜遍4000万医学文献。AI智能推荐,让科研检索更轻松。

立即免费搜索

文件翻译

保留排版,准确专业,支持PDF/Word/PPT等文件格式,支持 12+语言互译。

免费翻译文档

深度研究

AI帮你快速写综述,25分钟生成高质量综述,智能提取关键信息,辅助科研写作。

立即免费体验

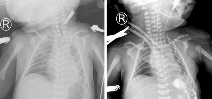
先天性膈疝新生儿术后心肺衰竭的体外膜肺氧合成功应用:病例报告及文献综述

Successful extracorporeal membrane oxygenation for postoperative cardiopulmonary failure in newborns with congenital diaphragmatic hernia: case reports and literature reviews.

作者信息

Hong Song-Ming, Chen Xiu-Hua, Zhou Si-Jia, Hong Jun-Jie, Zheng Yi-Rong, Chen Qiang, Huang Jin-Xi

机构信息

Department of Cardiothoracic Surgery, Fujian Children's Hospital (Fujian Branch of Shanghai Children's Medical Center), College of Clinical Medicine for Obstetrics & Gynecology and Pediatrics, Fujian Medical University, Fuzhou, China.

出版信息

Front Pediatr. 2023 Jun 27;11:1158885. doi: 10.3389/fped.2023.1158885. eCollection 2023.

DOI:10.3389/fped.2023.1158885
PMID:37441572
原文链接:https://pmc.ncbi.nlm.nih.gov/articles/PMC10333486/
Abstract

INTRODUCTION

Congenital diaphragmatic hernia (CDH) is a structural defect caused by inadequate fusion of the pleuroperitoneal membrane that forms the diaphragm, allowing peritoneal viscera to protrude into the pleural cavity. Up to 30% of newborns with CDH require extracorporeal membrane oxygenation (ECMO) support. As with all interventions, the risks and benefits of ECMO must be carefully considered in these patients. Cardiopulmonary function has been shown to worsen rather than improve after surgical CDH repair. Even after a detailed perioperative assessment, sudden cardiopulmonary failure after surgery is dangerous and requires timely and effective treatments.

METHOD

Three cases of cardiopulmonary failure after surgical CDH treatment in newborns have been reported. ECMO support was needed for these three patients and was successfully discontinued. We report our treatment experience.

CONCLUSION

ECMO is feasible for the treatment of postoperative cardiopulmonary failure in newborns with CDH.

摘要

引言

先天性膈疝(CDH)是一种由于构成膈肌的胸腹隔膜融合不全导致的结构缺陷,使得腹腔脏器突入胸腔。高达30%的先天性膈疝新生儿需要体外膜肺氧合(ECMO)支持。与所有干预措施一样,必须在这些患者中仔细权衡ECMO的风险和益处。已表明先天性膈疝手术修复后心肺功能会恶化而非改善。即使经过详细的围手术期评估,术后突然发生的心肺衰竭也很危险,需要及时有效的治疗。

方法

报告了3例新生儿先天性膈疝手术后发生心肺衰竭的病例。这3例患者均需要ECMO支持,且成功撤机。我们报告了我们的治疗经验。

结论

ECMO对于治疗先天性膈疝新生儿术后心肺衰竭是可行的。

https://cdn.ncbi.nlm.nih.gov/pmc/blobs/271e/10333486/c631f3563b6d/fped-11-1158885-g003.jpg
https://cdn.ncbi.nlm.nih.gov/pmc/blobs/271e/10333486/d73bb5951f9e/fped-11-1158885-g001.jpg
https://cdn.ncbi.nlm.nih.gov/pmc/blobs/271e/10333486/e4c807547ba7/fped-11-1158885-g002.jpg
https://cdn.ncbi.nlm.nih.gov/pmc/blobs/271e/10333486/c631f3563b6d/fped-11-1158885-g003.jpg
https://cdn.ncbi.nlm.nih.gov/pmc/blobs/271e/10333486/d73bb5951f9e/fped-11-1158885-g001.jpg
https://cdn.ncbi.nlm.nih.gov/pmc/blobs/271e/10333486/e4c807547ba7/fped-11-1158885-g002.jpg
https://cdn.ncbi.nlm.nih.gov/pmc/blobs/271e/10333486/c631f3563b6d/fped-11-1158885-g003.jpg

相似文献

1
Successful extracorporeal membrane oxygenation for postoperative cardiopulmonary failure in newborns with congenital diaphragmatic hernia: case reports and literature reviews.先天性膈疝新生儿术后心肺衰竭的体外膜肺氧合成功应用:病例报告及文献综述
Front Pediatr. 2023 Jun 27;11:1158885. doi: 10.3389/fped.2023.1158885. eCollection 2023.
2
Repair of congenital diaphragmatic hernia on extracorporeal membrane oxygenation - observations of a paediatric surgeon.体外膜肺氧合支持下先天性膈疝修补术——一位小儿外科医生的观察
Kardiochir Torakochirurgia Pol. 2022 Mar;19(1):16-21. doi: 10.5114/kitp.2022.114550. Epub 2022 Mar 24.
3
Improved survival in congenital diaphragmatic hernia with evolving therapeutic strategies.随着治疗策略的不断发展,先天性膈疝患者的生存率得到提高。
Arch Surg. 1998 May;133(5):498-502; discussion 502-3. doi: 10.1001/archsurg.133.5.498.
4
Cardiac arrest before repair or extracorporeal membrane oxygenation cannulation does not increase the mortality rate associated with congenital diaphragmatic hernia.在修复或体外膜肺氧合插管前发生心脏骤停不会增加先天性膈疝相关的死亡率。
J Pediatr Surg. 1997 Jul;32(7):953-6; discussion 956-7. doi: 10.1016/s0022-3468(97)90376-6.
5
Right-sided congenital diaphragmatic hernia: high utilization of extracorporeal membrane oxygenation and high survival.右侧先天性膈疝:体外膜肺氧合的高使用率及高生存率。
J Pediatr Surg. 2009 May;44(5):883-7. doi: 10.1016/j.jpedsurg.2009.01.037.
6
A critical analysis of extracorporeal membrane oxygenation for congenital diaphragmatic hernia.先天性膈疝体外膜肺氧合的批判性分析
Surgery. 1989 Oct;106(4):611-5; discussion 616. doi: 10.1097/00132586-199008000-00058.
7
Costs of congenital diaphragmatic hernia repair in the United States-extracorporeal membrane oxygenation foots the bill.美国先天性膈疝修复的成本-体外膜氧合承担费用。
J Pediatr Surg. 2011 Apr;46(4):617-624. doi: 10.1016/j.jpedsurg.2010.09.047.
8
Ventricular Performance is Associated with Need for Extracorporeal Membrane Oxygenation in Newborns with Congenital Diaphragmatic Hernia.先天性膈疝新生儿的心室功能与体外膜肺氧合需求相关。
J Pediatr. 2017 Dec;191:28-34.e1. doi: 10.1016/j.jpeds.2017.08.060. Epub 2017 Oct 13.
9
[ECMO in Neonates with Congenital Diaphragmatic Hernia: The Experience of a Portuguese ECMO Referral Center].[先天性膈疝新生儿的体外膜肺氧合:葡萄牙体外膜肺氧合转诊中心的经验]
Acta Med Port. 2020 Dec 2;33(12):819-827. doi: 10.20344/amp.13075.
10
Transport on extracorporeal membrane oxygenation for congenital diaphragmatic hernia: A unique center experience.体外膜肺氧合在先天性膈疝中的转运:一个独特的中心经验。
J Pediatr Surg. 2019 Oct;54(10):2048-2052. doi: 10.1016/j.jpedsurg.2018.11.022. Epub 2019 Feb 8.

本文引用的文献

1
Prenatal predictors of mortality in fetuses with congenital diaphragmatic hernia: a systematic review and meta-analysis.先天性膈疝胎儿死亡的产前预测因素:系统评价和荟萃分析。
Pediatr Surg Int. 2022 Dec;38(12):1745-1757. doi: 10.1007/s00383-022-05232-w. Epub 2022 Sep 14.
2
Congenital diaphragmatic hernia.先天性膈疝。
Nat Rev Dis Primers. 2022 Jun 1;8(1):37. doi: 10.1038/s41572-022-00362-w.
3
Arrhythmias Requiring ECMO in Infants Without Structural Congenital Heart Disease.无结构性先天性心脏病婴儿中需要体外膜肺氧合的心律失常
Pediatr Cardiol. 2022 Apr;43(4):914-921. doi: 10.1007/s00246-021-02803-x. Epub 2022 Jan 17.
4
Optimization of surgical timing of congenital diaphragmatic hernia using the quantified flow patterns of patent ductus arteriosus.利用动脉导管未闭的量化血流模式优化先天性膈疝的手术时机。
Pediatr Surg Int. 2021 Feb;37(2):197-203. doi: 10.1007/s00383-020-04788-9. Epub 2021 Jan 3.
5
Mechanical circulatory support for life-threatening arrhythmia: A systematic review.用于危及生命的心律失常的机械循环支持:一项系统综述。
Int J Cardiol. 2020 Jun 1;308:42-49. doi: 10.1016/j.ijcard.2020.03.045. Epub 2020 Mar 19.
6
Early Left Ventricular Dysfunction and Severe Pulmonary Hypertension Predict Adverse Outcomes in "Low-Risk" Congenital Diaphragmatic Hernia.早期左心室功能障碍和严重肺动脉高压预测“低危”先天性膈疝的不良结局。
Pediatr Crit Care Med. 2020 Jul;21(7):637-646. doi: 10.1097/PCC.0000000000002318.
7
Insufflation in minimally invasive surgery: Is there any advantage in staying low?微创外科中的注气:低位操作有优势吗?
J Pediatr Surg. 2020 Jul;55(7):1356-1362. doi: 10.1016/j.jpedsurg.2019.11.026. Epub 2020 Jan 26.
8
The role of ECMO in the management of congenital diaphragmatic hernia.ECMO 在先天性膈疝治疗中的作用。
Semin Perinatol. 2020 Feb;44(1):151166. doi: 10.1053/j.semperi.2019.07.005. Epub 2019 Jul 30.
9
Extracorporeal Membrane Oxygenation in Congenital Diaphragmatic Hernia.先天性膈疝的体外膜肺氧合
Front Pediatr. 2019 Aug 8;7:336. doi: 10.3389/fped.2019.00336. eCollection 2019.
10
Outcomes of infants with congenital diaphragmatic hernia treated with venovenous versus venoarterial extracorporeal membrane oxygenation: A propensity score approach.采用静脉-静脉与静脉-动脉体外膜肺氧合治疗先天性膈疝婴儿的结局:倾向评分法
J Pediatr Surg. 2018 Nov;53(11):2092-2099. doi: 10.1016/j.jpedsurg.2018.06.003. Epub 2018 Jun 7.