Suppr超能文献

基于植物成分的糖尿病神经病变制剂的分离、表征、开发与评价

Isolation, characterization, development and evaluation of phytoconstituent based formulation for diabetic neuropathy.

作者信息

Pathak Rashmi, Sachan Neetu, Kabra Atul, Alanazi Ashwag S, Alanazi Mohammed M, Alsaif Nawaf A, Chandra Phool

机构信息

Department of Pharmacy, Invertis University, Bareilly-243123, Uttar Pradesh, India.

Maharana Pratap College of Pharmacy, Mandhana, Kanpur-209217, Uttar Pradesh, India.

出版信息

Saudi Pharm J. 2023 Aug;31(8):101687. doi: 10.1016/j.jsps.2023.06.020. Epub 2023 Jun 24.

Abstract

BACKGROUND

Linn, referred to as white mulberry, is a potential traditional medicine for diabetes and neuroprotection.

AIM

Isolation, characterization, development and evaluation of phytoconstituent based formulation for diabetic neuropathy.

MATERIAL AND METHODS

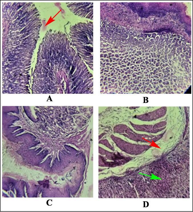
The stem Bark of was peeled and subjected to extraction. A phytoconstituent was then isolated by column chromatography and characterized using Mass spectroscopy, FTIR, and NMR. The isolated phytoconstituent was used to formulate a nanoemulsion. Nanoemulsion was also characterized for viscosity, surface tension, refractive index, pH, and particle size. Selected nanoemulsion formulations were then tested for acute oral toxicity and diabetic neuropathy, including behavioral, hematological, histopathological, and biomarker examinations.

RESULTS

The spectral analysis affirmed that the isolated compound was found to be chrysin. A nanoemulsion formulation was made using the chrysin and was characterized and found to be stable during the stability testing and fulfilled all other testing parameters. Then acute oral toxicity study of the formulations was found to be safe. Formulations were found to possess significant results against diabetic neuropathy in rats. Biomarkers were analyzed for their mechanistic involvement in reducing neuropathy in rats, and it was found that the oxidative pathway was considerably restored, suggesting that chrysin causes these effects via this pathway.

CONCLUSIONS

Results suggests that isolated phytoconstituent (chrysin) from the bark of derived nanoemulsion has protective and beneficial effects by diminishing the oxidative damage against alloxan-induced diabetic neuropathy in rats.

摘要

背景

桑科植物桑(Linn),又称白桑,是一种治疗糖尿病和神经保护的潜在传统药物。

目的

分离、表征、开发和评估基于植物成分的糖尿病神经病变制剂。

材料与方法

将桑科植物桑的茎皮剥皮后进行提取。然后通过柱色谱法分离出一种植物成分,并使用质谱、傅里叶变换红外光谱(FTIR)和核磁共振(NMR)对其进行表征。将分离出的植物成分用于制备纳米乳剂。还对纳米乳剂的粘度、表面张力、折射率、pH值和粒径进行了表征。然后对选定的纳米乳剂制剂进行急性口服毒性和糖尿病神经病变测试,包括行为学、血液学、组织病理学和生物标志物检查。

结果

光谱分析证实分离出的化合物为白杨素。使用白杨素制备了纳米乳剂制剂,并对其进行了表征,发现在稳定性测试期间该制剂稳定,且符合所有其他测试参数。然后发现该制剂的急性口服毒性研究是安全的。发现该制剂对大鼠糖尿病神经病变具有显著效果。分析了生物标志物在减轻大鼠神经病变中的作用机制,发现氧化途径得到了显著恢复,这表明白杨素通过该途径产生这些作用。

结论

结果表明,从桑科植物桑的树皮中分离出的植物成分(白杨素)衍生的纳米乳剂通过减少对大鼠四氧嘧啶诱导的糖尿病神经病变的氧化损伤具有保护和有益作用。

https://cdn.ncbi.nlm.nih.gov/pmc/blobs/0a91/10336832/20416d2b3704/gr1.jpg

文献AI研究员

20分钟写一篇综述,助力文献阅读效率提升50倍。

立即体验

用中文搜PubMed

大模型驱动的PubMed中文搜索引擎

马上搜索

文档翻译

学术文献翻译模型,支持多种主流文档格式。

立即体验