Suppr超能文献

气管多形性腺瘤:一例报告

Pleomorphic adenoma of the trachea: A case report.

作者信息

Inomata Mayu, Kuroki Shoei, Oguri Nobuyuki, Sato Yuichiro, Kawano Fumiya, Maeda Ryo

机构信息

Department of Thoracic and Breast Surgery, Faculty of Medicine, University of Miyazaki Hospital, Miyazaki, Japan.

Department of Diagnostic Pathology, Faculty of Medicine, University of Miyazaki Hospital, Miyazaki, Japan.

出版信息

Int J Surg Case Rep. 2023 Aug;109:108499. doi: 10.1016/j.ijscr.2023.108499. Epub 2023 Jul 13.

Abstract

INTRODUCTION AND IMPORTANCE

Although pleomorphic adenoma is the most common type of parotid gland tumor, its occurrence in the trachea is rare. Here, we describe a successfully resected pleomorphic adenoma of the trachea in a woman with severe respiratory failure that had been preoperatively misdiagnosed as asthma.

CASE PRESENTATION

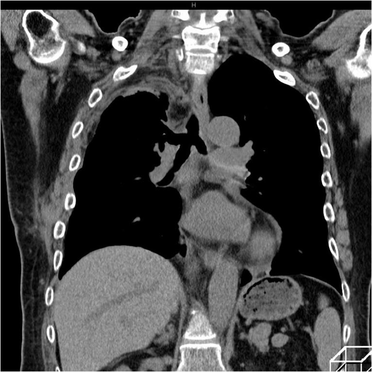
A 69-year-old woman presented to the emergency department with symptoms of worsening dyspnea and subsequent loss of consciousness. She had a history of progressively worsening wheezing and stridor over the course of 2-years and had been diagnosed with asthma. Arterial blood gas sample analysis indicated type II respiratory failure. A chest computed tomographic scan revealed a tumor in the trachea, which was almost completely obstructing the lower tracheal lumen. The tumor was located just above the carina. To alleviate airway constriction and achieve complete resection, carinal resection with reconstruction was performed. The postoperative diagnosis was pleomorphic adenoma of the trachea.

CLINICAL DISCUSSION

Pleomorphic adenoma is a rare tracheal tumor that may present with obstructive airway symptoms that mimic asthma.

CONCLUSION

Tracheal tumors should be considered in patients with chronic respiratory symptoms that do not improve with medication.

摘要

引言与重要性

尽管多形性腺瘤是腮腺肿瘤最常见的类型,但其发生于气管者罕见。在此,我们描述了一名患有严重呼吸衰竭的女性患者,其气管多形性腺瘤术前被误诊为哮喘,最终成功切除。

病例介绍

一名69岁女性因呼吸困难加重及随后的意识丧失就诊于急诊科。她有2年逐渐加重的喘息和喘鸣病史,曾被诊断为哮喘。动脉血气样本分析显示II型呼吸衰竭。胸部计算机断层扫描显示气管内有一肿瘤,几乎完全阻塞了气管下段管腔。肿瘤位于隆突上方。为缓解气道狭窄并实现完整切除,实施了隆突切除重建术。术后诊断为气管多形性腺瘤。

临床讨论

多形性腺瘤是一种罕见的气管肿瘤,可能表现为类似哮喘的气道阻塞症状。

结论

对于药物治疗无效的慢性呼吸道症状患者,应考虑气管肿瘤。

https://cdn.ncbi.nlm.nih.gov/pmc/blobs/c191/10439302/5306c7a5ccac/gr1.jpg

文献AI研究员

20分钟写一篇综述,助力文献阅读效率提升50倍。

立即体验

用中文搜PubMed

大模型驱动的PubMed中文搜索引擎

马上搜索

文档翻译

学术文献翻译模型,支持多种主流文档格式。

立即体验