Suppr超能文献

病例报告:距骨颈骨折。

Case Report: Talar Neck Fracture.

作者信息

Frasca Wilson, Do Nhan

机构信息

Riverside Community Hospital/University of California Riverside, Department of Emergency Medicine, Riverside, CA.

出版信息

J Educ Teach Emerg Med. 2020 Jul 15;5(3):V7-V9. doi: 10.21980/J8FP75. eCollection 2020 Jul.

Abstract

UNLABELLED

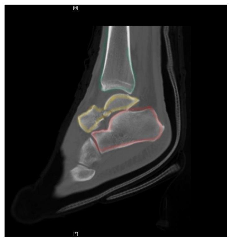
This report demonstrates a case of a severe talar neck fracture. Although rare, talar neck fractures have a high potential for morbidity. Typically caused by a high energy injury, this patient's mechanism of injury was relatively minor, and presentation was not immediately concerning for such a severe fracture. Initial x-rays provided a gross demonstration of the fracture, but a CT scan was obtained to better evaluate the bone fragments and associated tarsal dislocations. The patient was treated symptomatically and splinted in the emergency department, underwent open reduction and internal fixation the next morning, and was discharged a day later. The patient's severe injury was identified and received definitive treatment to help avoid potentially devastating complications.

TOPICS

Orthopedics, trauma, talar neck fracture.

摘要

未标注

本报告展示了一例严重的距骨颈骨折病例。距骨颈骨折虽罕见,但发病风险高。通常由高能损伤引起,该患者的损伤机制相对较轻,且最初的表现并不像如此严重骨折那样令人立即担忧。最初的X线片大致显示了骨折情况,但随后进行了CT扫描以更好地评估骨碎片及相关跗骨脱位。患者在急诊科接受了对症治疗并进行了夹板固定,次日上午接受了切开复位内固定手术,一天后出院。患者的严重损伤得到了确诊并接受了确定性治疗,以帮助避免可能造成严重后果的并发症。

主题

骨科、创伤、距骨颈骨折。

https://cdn.ncbi.nlm.nih.gov/pmc/blobs/bf2a/10332559/4a3d6372d30d/jetem-5-3-v7f1.jpg

文献AI研究员

20分钟写一篇综述,助力文献阅读效率提升50倍。

立即体验

用中文搜PubMed

大模型驱动的PubMed中文搜索引擎

马上搜索

文档翻译

学术文献翻译模型,支持多种主流文档格式。

立即体验