• 文献检索
  • 文档翻译
  • 深度研究
  • 学术资讯
  • Suppr Zotero 插件Zotero 插件
  • 邀请有礼
  • 套餐&价格
  • 历史记录
应用&插件
Suppr Zotero 插件Zotero 插件浏览器插件Mac 客户端Windows 客户端微信小程序
定价
高级版会员购买积分包购买API积分包
服务
文献检索文档翻译深度研究API 文档MCP 服务
关于我们
关于 Suppr公司介绍联系我们用户协议隐私条款
关注我们

Suppr 超能文献

核心技术专利:CN118964589B侵权必究
粤ICP备2023148730 号-1Suppr @ 2026

文献检索

告别复杂PubMed语法,用中文像聊天一样搜索,搜遍4000万医学文献。AI智能推荐,让科研检索更轻松。

立即免费搜索

文件翻译

保留排版,准确专业,支持PDF/Word/PPT等文件格式,支持 12+语言互译。

免费翻译文档

深度研究

AI帮你快速写综述,25分钟生成高质量综述,智能提取关键信息,辅助科研写作。

立即免费体验

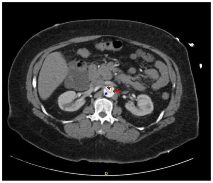
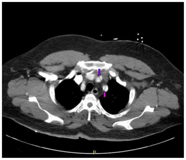
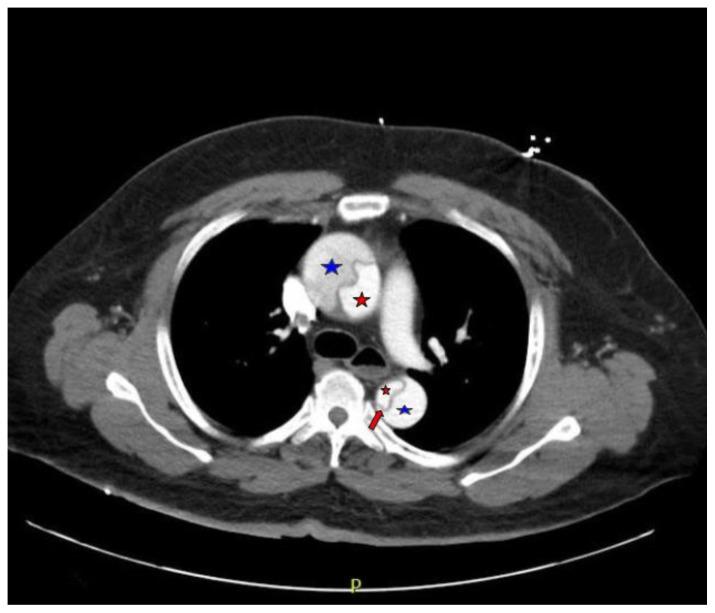
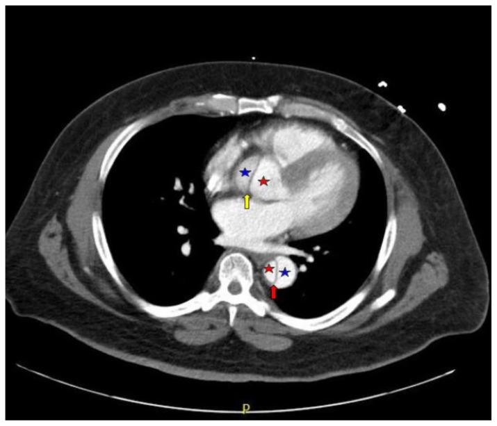
累及主动脉根部、左颈总动脉和髂动脉的主动脉夹层病例报告

A Case Report of Aortic Dissection Involving the Aortic Root, Left Common Carotid Artery, and Iliac Arteries.

作者信息

Martinez-Romo Miguel Angel, McCoy Christopher Eric

机构信息

University of California, Irvine, Department of Emergency Medicine, Orange, CA.

出版信息

J Educ Teach Emerg Med. 2022 Jan 15;7(1):V13-V17. doi: 10.21980/J8V93K. eCollection 2022 Jan.

DOI:10.21980/J8V93K
PMID:37483402
原文链接:https://pmc.ncbi.nlm.nih.gov/articles/PMC10358868/
Abstract

UNLABELLED

Acute aortic dissection is a life-threatening event caused by separation of the aortic layers that requires prompt management and surgical consultation. We present the case of a 53-year-old male who developed acute, severe chest pain radiating to his back at a community hospital and was transferred to a tertiary center for definitive surgical management. The patient's aortic dissection was diagnosed via computed tomography angiography. He was started on rate-control and blood pressure medications, and was admitted emergently to the operating room. Emergency physicians should obtain immediate surgical consultation, promptly start medications for rate and blood pressure control, and administer analgesia in order to stabilize their patient and decrease the shear forces that would further propagate an aortic dissection.

TOPICS

Aortic dissection, cardiothoracic surgery, vascular surgery, hypertensive emergency, aorta.

摘要

未标注

急性主动脉夹层是一种由主动脉各层分离引起的危及生命的事件,需要及时处理并进行外科会诊。我们报告一例53岁男性病例,该患者在社区医院出现急性、严重的胸痛并放射至背部,随后被转至三级中心进行确定性手术治疗。患者的主动脉夹层通过计算机断层扫描血管造影术确诊。他开始接受心率控制和血压药物治疗,并紧急送入手术室。急诊医生应立即进行外科会诊,迅速开始使用控制心率和血压的药物,并给予镇痛治疗,以稳定患者病情并降低会进一步加重主动脉夹层的剪切力。

主题

主动脉夹层、心胸外科、血管外科、高血压急症、主动脉

https://cdn.ncbi.nlm.nih.gov/pmc/blobs/1ec6/10358868/640b47e30cb1/jetem-7-1-v13f7.jpg
https://cdn.ncbi.nlm.nih.gov/pmc/blobs/1ec6/10358868/5bdb7347ebee/jetem-7-1-v13f1.jpg
https://cdn.ncbi.nlm.nih.gov/pmc/blobs/1ec6/10358868/86df50d4e7b0/jetem-7-1-v13f2.jpg
https://cdn.ncbi.nlm.nih.gov/pmc/blobs/1ec6/10358868/12bc9d150a33/jetem-7-1-v13f3.jpg
https://cdn.ncbi.nlm.nih.gov/pmc/blobs/1ec6/10358868/569a32597745/jetem-7-1-v13f4.jpg
https://cdn.ncbi.nlm.nih.gov/pmc/blobs/1ec6/10358868/ad932b2c0a62/jetem-7-1-v13f5.jpg
https://cdn.ncbi.nlm.nih.gov/pmc/blobs/1ec6/10358868/0daea7a67af0/jetem-7-1-v13f6.jpg
https://cdn.ncbi.nlm.nih.gov/pmc/blobs/1ec6/10358868/640b47e30cb1/jetem-7-1-v13f7.jpg
https://cdn.ncbi.nlm.nih.gov/pmc/blobs/1ec6/10358868/5bdb7347ebee/jetem-7-1-v13f1.jpg
https://cdn.ncbi.nlm.nih.gov/pmc/blobs/1ec6/10358868/86df50d4e7b0/jetem-7-1-v13f2.jpg
https://cdn.ncbi.nlm.nih.gov/pmc/blobs/1ec6/10358868/12bc9d150a33/jetem-7-1-v13f3.jpg
https://cdn.ncbi.nlm.nih.gov/pmc/blobs/1ec6/10358868/569a32597745/jetem-7-1-v13f4.jpg
https://cdn.ncbi.nlm.nih.gov/pmc/blobs/1ec6/10358868/ad932b2c0a62/jetem-7-1-v13f5.jpg
https://cdn.ncbi.nlm.nih.gov/pmc/blobs/1ec6/10358868/0daea7a67af0/jetem-7-1-v13f6.jpg
https://cdn.ncbi.nlm.nih.gov/pmc/blobs/1ec6/10358868/640b47e30cb1/jetem-7-1-v13f7.jpg

相似文献

1
A Case Report of Aortic Dissection Involving the Aortic Root, Left Common Carotid Artery, and Iliac Arteries.累及主动脉根部、左颈总动脉和髂动脉的主动脉夹层病例报告
J Educ Teach Emerg Med. 2022 Jan 15;7(1):V13-V17. doi: 10.21980/J8V93K. eCollection 2022 Jan.
2
Extensive Type A Aortic Arterial Dissection Presenting With Stroke Symptoms: A Case Report.以卒中症状为表现的广泛型A型主动脉夹层:一例报告
Cureus. 2024 Mar 5;16(3):e55564. doi: 10.7759/cureus.55564. eCollection 2024 Mar.
3
Urgent carotid stenting before cardiac surgery in a young male patient with acute ischemic stroke caused by aortic and carotid dissection.一名年轻男性急性缺血性卒中患者,病因是主动脉和颈动脉夹层,在心脏手术前紧急进行颈动脉支架置入术。
Vojnosanit Pregl. 2016 Jul;73(7):674-8. doi: 10.2298/VSP150402091P.
4
Aortic Dissection Presenting as Acute Pancreatitis: Suspecting the Unexpected.以急性胰腺炎为表现的主动脉夹层:警惕意想不到的情况。
Case Rep Cardiol. 2018 Jan 30;2018:4791610. doi: 10.1155/2018/4791610. eCollection 2018.
5
Ultrasound diagnosis of type a aortic dissection.A型主动脉夹层的超声诊断
J Emerg Med. 2010 May;38(4):490-3. doi: 10.1016/j.jemermed.2008.05.013. Epub 2008 Nov 26.
6
Cocaine-induced Type-A Aortic Dissection Extending to the Common Iliac Arteries.可卡因诱发的A型主动脉夹层延伸至双侧髂总动脉。
Cureus. 2018 Jan 12;10(1):e2059. doi: 10.7759/cureus.2059.
7
Correction of symptomatic cerebral malperfusion due to acute type I aortic dissection by transcarotid stenting of the innominate and carotid arteries.通过无名动脉和颈动脉经颈动脉支架置入术纠正急性I型主动脉夹层所致的症状性脑灌注不良。
J Vasc Surg. 2006 Nov;44(5):1091-6. doi: 10.1016/j.jvs.2006.05.053.
8
Acute ischemic Stroke combined with Stanford type A aortic dissection: A case report and literature review.急性缺血性卒中合并 Stanford A 型主动脉夹层:一例报告及文献复习
World J Clin Cases. 2022 Aug 6;10(22):8009-8017. doi: 10.12998/wjcc.v10.i22.8009.
9
Paraplegia and acute aortic dissection: a diagnostic challenge for physicians in the emergency situation.截瘫与急性主动脉夹层:急诊情况下医生面临的诊断挑战。
BMJ Case Rep. 2019 Jul 8;12(7):e230561. doi: 10.1136/bcr-2019-230561.
10
Successful Medical Management of an Acute Ascending Aortic Dissection After Coronary Artery Bypass Graft Surgery.冠状动脉搭桥手术后急性升主动脉夹层的成功药物治疗
Cureus. 2021 Aug 11;13(8):e17086. doi: 10.7759/cureus.17086. eCollection 2021 Aug.

本文引用的文献

1
Aortic valve and ascending aorta guidelines for management and quality measures.主动脉瓣和升主动脉管理与质量指标指南
Ann Thorac Surg. 2013 Jun;95(6 Suppl):S1-66. doi: 10.1016/j.athoracsur.2013.01.083.
2
2010 ACCF/AHA/AATS/ACR/ASA/SCA/SCAI/SIR/STS/SVM guidelines for the diagnosis and management of patients with Thoracic Aortic Disease: a report of the American College of Cardiology Foundation/American Heart Association Task Force on Practice Guidelines, American Association for Thoracic Surgery, American College of Radiology, American Stroke Association, Society of Cardiovascular Anesthesiologists, Society for Cardiovascular Angiography and Interventions, Society of Interventional Radiology, Society of Thoracic Surgeons, and Society for Vascular Medicine.2010年美国心脏病学会基金会/美国心脏协会实践指南工作组、美国胸外科协会、美国放射学会、美国中风协会、心血管麻醉医师协会、心血管造影和介入学会、介入放射学会、胸外科医师学会以及血管医学学会关于胸主动脉疾病患者诊断和管理的指南:一份报告
Circulation. 2010 Apr 6;121(13):e266-369. doi: 10.1161/CIR.0b013e3181d4739e. Epub 2010 Mar 16.
3
Aortic diameter >or = 5.5 cm is not a good predictor of type A aortic dissection: observations from the International Registry of Acute Aortic Dissection (IRAD).主动脉直径≥5.5厘米并非A型主动脉夹层的良好预测指标:来自国际急性主动脉夹层注册研究(IRAD)的观察结果
Circulation. 2007 Sep 4;116(10):1120-7. doi: 10.1161/CIRCULATIONAHA.107.702720. Epub 2007 Aug 20.