• 文献检索
  • 文档翻译
  • 深度研究
  • 学术资讯
  • Suppr Zotero 插件Zotero 插件
  • 邀请有礼
  • 套餐&价格
  • 历史记录
应用&插件
Suppr Zotero 插件Zotero 插件浏览器插件Mac 客户端Windows 客户端微信小程序
定价
高级版会员购买积分包购买API积分包
服务
文献检索文档翻译深度研究API 文档MCP 服务
关于我们
关于 Suppr公司介绍联系我们用户协议隐私条款
关注我们

Suppr 超能文献

核心技术专利:CN118964589B侵权必究
粤ICP备2023148730 号-1Suppr @ 2026

文献检索

告别复杂PubMed语法,用中文像聊天一样搜索,搜遍4000万医学文献。AI智能推荐,让科研检索更轻松。

立即免费搜索

文件翻译

保留排版,准确专业,支持PDF/Word/PPT等文件格式,支持 12+语言互译。

免费翻译文档

深度研究

AI帮你快速写综述,25分钟生成高质量综述,智能提取关键信息,辅助科研写作。

立即免费体验

病例报告:具有变异的儿童神经学特征中的早发性帕金森病

Case report: Early-onset parkinsonism among the neurological features in children with variants.

作者信息

Previtali Roberto, Leidi Alessia, Basso Martina, Izzo Giana, Stignani Cecilia, Spaccini Luigina, Iascone Maria, Veggiotti Pierangelo, Bova Stefania Maria

机构信息

University of Milan, Milan, Italy.

Department of Pediatric Radiology and Neuroradiology, V. Buzzi Children's Hospital, Milan, Italy.

出版信息

Front Neurol. 2023 Jul 6;14:1181015. doi: 10.3389/fneur.2023.1181015. eCollection 2023.

DOI:10.3389/fneur.2023.1181015
PMID:37483454
原文链接:https://pmc.ncbi.nlm.nih.gov/articles/PMC10359812/
Abstract

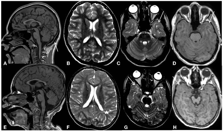
is expressed in cardiovascular and neurological tissues. In the brain, it has a role in pre- and post-natal maturation. Previously reported -mutated patients showed early-onset epilepsy and intellectual disability. We describe two unreported cases with pathogenic variants in and their clinical pictures, compared with those of cases already reported in the literature. In line with previous reports, the two patients presented early-onset developmental and epileptic encephalopathy. In addition, one patient developed a speech disorder and a progressive movement disorder characterized by hypertonus, hypo-bradykinesia, hypomimia, ataxic gait, and retropulsion. She was treated with levodopa without any clinical improvement. Pathogenic variants in may result in a cardiological or neurological phenotype. Severe developmental delay, intellectual disability, and early-onset developmental and epileptic encephalopathy are the main features of -mutated patients with neurological involvement. Movement and speech disorders have never previously been described and could be new features of the neurological phenotype.

摘要

在心血管和神经组织中表达。在大脑中,它在产前和产后成熟过程中发挥作用。先前报道的突变患者表现出早发性癫痫和智力残疾。我们描述了两例未报道的携带致病变体的病例及其临床症状,并与文献中已报道的病例进行了比较。与先前的报道一致,这两名患者均出现早发性发育性和癫痫性脑病。此外,一名患者出现了言语障碍和进行性运动障碍,其特征为肌张力亢进、运动徐缓、表情减少、共济失调步态和后冲。她接受了左旋多巴治疗,但没有任何临床改善。致病变体可能导致心脏或神经表型。严重发育迟缓、智力残疾以及早发性发育性和癫痫性脑病是携带突变且有神经受累的患者的主要特征。运动和言语障碍以前从未被描述过,可能是神经表型的新特征。

https://cdn.ncbi.nlm.nih.gov/pmc/blobs/027d/10359812/ee277228ae99/fneur-14-1181015-g0002.jpg
https://cdn.ncbi.nlm.nih.gov/pmc/blobs/027d/10359812/380264987bdb/fneur-14-1181015-g0001.jpg
https://cdn.ncbi.nlm.nih.gov/pmc/blobs/027d/10359812/ee277228ae99/fneur-14-1181015-g0002.jpg
https://cdn.ncbi.nlm.nih.gov/pmc/blobs/027d/10359812/380264987bdb/fneur-14-1181015-g0001.jpg
https://cdn.ncbi.nlm.nih.gov/pmc/blobs/027d/10359812/ee277228ae99/fneur-14-1181015-g0002.jpg

相似文献

1
Case report: Early-onset parkinsonism among the neurological features in children with variants.病例报告:具有变异的儿童神经学特征中的早发性帕金森病
Front Neurol. 2023 Jul 6;14:1181015. doi: 10.3389/fneur.2023.1181015. eCollection 2023.
2
Epileptic Encephalopathy with Variants in the PHACTR1 and AFF2 Genes: A Case Report.PHACTR1 和 AFF2 基因变异相关的癫痫性脑病:病例报告。
Cytogenet Genome Res. 2022;162(7):372-377. doi: 10.1159/000528735. Epub 2022 Dec 19.
3
Expanding the genotype-phenotype correlation of de novo heterozygous missense variants in YWHAG as a cause of developmental and epileptic encephalopathy.扩大 de novo 杂合错义变异的 YWHAG 基因型-表型相关性,作为发育性和癫痫性脑病的病因。
Am J Med Genet A. 2020 Apr;182(4):713-720. doi: 10.1002/ajmg.a.61483. Epub 2020 Jan 11.
4
Genotype and phenotype correlation of -related neurological disorders.- 相关神经发育障碍的基因型与表型相关性。
J Med Genet. 2024 May 21;61(6):536-542. doi: 10.1136/jmg-2023-109638.
5
MED13 mutation: A novel cause of developmental and epileptic encephalopathy with infantile spasms.MED13突变:一种伴有婴儿痉挛症的发育性和癫痫性脑病的新病因。
Seizure. 2022 Oct;101:211-217. doi: 10.1016/j.seizure.2022.09.002. Epub 2022 Sep 3.
6
[Clinical characteristics and gene analysis of GRIN2B gene related neurological developmental disorders in children].儿童GRIN2B基因相关神经发育障碍的临床特征及基因分析
Zhonghua Er Ke Za Zhi. 2022 Mar 2;60(3):232-236. doi: 10.3760/cma.j.cn112140-20210817-00681.
7
Early-onset encephalopathy with paroxysmal movement disorders and epileptic seizures without hemiplegic attacks: About three children with novel ATP1A3 mutations.伴有阵发性运动障碍和癫痫发作且无偏瘫发作的早发性脑病:关于三名携带新型ATP1A3突变的儿童。
Brain Dev. 2018 Oct;40(9):768-774. doi: 10.1016/j.braindev.2018.05.008. Epub 2018 May 31.
8
The gain of function SCN1A disorder spectrum: novel epilepsy phenotypes and therapeutic implications.功能获得性 SCN1A 障碍谱:新型癫痫表型及治疗意义。
Brain. 2022 Nov 21;145(11):3816-3831. doi: 10.1093/brain/awac210.
9
Pediatric-Onset Epilepsy and Developmental Epileptic Encephalopathies Followed by Early-Onset Parkinsonism.儿童期起病的癫痫和发育性癫痫性脑病后继发早发性帕金森病。
Int J Mol Sci. 2023 Feb 14;24(4):3796. doi: 10.3390/ijms24043796.
10
Novel homozygous AP3B2 mutations in four individuals with developmental and epileptic encephalopathy: A rare clinical entity.四名患有发育性和癫痫性脑病的个体中新型纯合 AP3B2 突变:一种罕见的临床实体。
Clin Neurol Neurosurg. 2022 Dec;223:107509. doi: 10.1016/j.clineuro.2022.107509. Epub 2022 Nov 3.

本文引用的文献

1
Mutation in PHACTR1 associated with multifocal epilepsy with infantile spasms and hypsarrhythmia.PHACTR1 基因突变与婴儿痉挛伴多灶性癫痫和高度失律相关。
Clin Genet. 2021 May;99(5):673-683. doi: 10.1111/cge.13926. Epub 2021 Jan 27.
2
Atypical presentation of pediatric BRAF RASopathy with acute encephalopathy.小儿 BRAF RASopathy 伴急性脑病的非典型表现。
Am J Med Genet A. 2018 Dec;176(12):2867-2871. doi: 10.1002/ajmg.a.40635. Epub 2018 Nov 21.
3
De novo PHACTR1 mutations in West syndrome and their pathophysiological effects.
PHACTR1 基因突变与 West 综合征的发生及其病理生理学效应
Brain. 2018 Nov 1;141(11):3098-3114. doi: 10.1093/brain/awy246.
4
Expression analyses of Phactr1 (phosphatase and actin regulator 1) during mouse brain development.Phactr1(磷酸酶和肌动蛋白调节剂 1)在小鼠脑发育过程中的表达分析。
Neurosci Res. 2018 Mar;128:50-57. doi: 10.1016/j.neures.2017.08.002. Epub 2017 Aug 10.
5
Exome sequencing of Pakistani consanguineous families identifies 30 novel candidate genes for recessive intellectual disability.对巴基斯坦近亲家庭进行外显子组测序,鉴定出30个导致隐性智力残疾的新候选基因。
Mol Psychiatry. 2017 Nov;22(11):1604-1614. doi: 10.1038/mp.2016.109. Epub 2016 Jul 26.
6
The Early-Onset Myocardial Infarction Associated PHACTR1 Gene Regulates Skeletal and Cardiac Alpha-Actin Gene Expression.早发性心肌梗死相关的PHACTR1基因调控骨骼肌和心肌α-肌动蛋白基因表达。
PLoS One. 2015 Jun 22;10(6):e0130502. doi: 10.1371/journal.pone.0130502. eCollection 2015.
7
Imaging characteristics of cerebral autosomal dominant arteriopathy with subcortical infarcts and leucoencephalopathy (CADASIL).伴有皮质下梗死和白质脑病的常染色体显性遗传性脑动脉病(CADASIL)的影像学特征
Bosn J Basic Med Sci. 2015 Feb 9;15(1):1-8. doi: 10.17305/bjbms.2015.247.
8
Early epileptic encephalopathies associated with STXBP1 mutations: Could we better delineate the phenotype?与STXBP1突变相关的早期癫痫性脑病:我们能否更好地描述其表型?
Eur J Med Genet. 2014 Jan;57(1):15-20. doi: 10.1016/j.ejmg.2013.10.006. Epub 2013 Nov 1.
9
Diagnostic exome sequencing in persons with severe intellectual disability.对严重智力障碍者进行外显子组诊断测序。
N Engl J Med. 2012 Nov 15;367(20):1921-9. doi: 10.1056/NEJMoa1206524. Epub 2012 Oct 3.
10
Different expression patterns of Phactr family members in normal and injured mouse brain.Phactr 家族成员在正常和损伤小鼠脑中的不同表达模式。
Neuroscience. 2012 Sep 27;221:37-46. doi: 10.1016/j.neuroscience.2012.06.059. Epub 2012 Jul 3.