• 文献检索
  • 文档翻译
  • 深度研究
  • 学术资讯
  • Suppr Zotero 插件Zotero 插件
  • 邀请有礼
  • 套餐&价格
  • 历史记录
应用&插件
Suppr Zotero 插件Zotero 插件浏览器插件Mac 客户端Windows 客户端微信小程序
定价
高级版会员购买积分包购买API积分包
服务
文献检索文档翻译深度研究API 文档MCP 服务
关于我们
关于 Suppr公司介绍联系我们用户协议隐私条款
关注我们

Suppr 超能文献

核心技术专利:CN118964589B侵权必究
粤ICP备2023148730 号-1Suppr @ 2026

文献检索

告别复杂PubMed语法,用中文像聊天一样搜索,搜遍4000万医学文献。AI智能推荐,让科研检索更轻松。

立即免费搜索

文件翻译

保留排版,准确专业,支持PDF/Word/PPT等文件格式,支持 12+语言互译。

免费翻译文档

深度研究

AI帮你快速写综述,25分钟生成高质量综述,智能提取关键信息,辅助科研写作。

立即免费体验

低分化甲状腺癌预后的预测因素及临床病理特征:一项单机构研究

Predictive factors and clinicopathological characteristics of outcome in poorly differentiated thyroid carcinoma: a single-institution study.

作者信息

Wan Zheng, Wang Bing, Yao Jing, Li Qing, Miao Xin, Jian Yanbing, Huang Sisi, Lai Shengwei, Li Chen, Tian Wen

机构信息

Department of Thyroid & Hernia Surgery, Medical Department of General Surgery, Chinese People's Liberation Army General Hospital, Beijing, China.

出版信息

Front Oncol. 2023 Jul 7;13:1102936. doi: 10.3389/fonc.2023.1102936. eCollection 2023.

DOI:10.3389/fonc.2023.1102936
PMID:37483485
原文链接:https://pmc.ncbi.nlm.nih.gov/articles/PMC10361777/
Abstract

OBJECTIVE

To elucidate the clinicopathological characteristics and prognostic factors of poorly differentiated thyroid carcinoma.

METHOD

A total of 24912 thyroid carcinoma patients admitted to the First Medical Center of Chinese People's Liberation Army General Hospital from 2005 to 2020 were retrospectively reviewed. A total of 94 patients (39 males and 55 females, a male-female ratio of 1:1.4) fulfilled the selection criteria. Of these, 73 patients had undergone surgery. The clinical and pathological data were collected from each enrolled patient. Univariate and multivariate Cox regression analyses were performed to determine independent prognostic factors. All analyses were performed with the SPSS version 26.0 and R version 1.2.5033 in the R Studio environment.

RESULTS

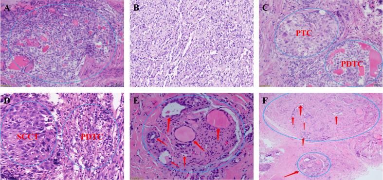
The specimens included 20 cases of poorly differentiated thyroid carcinoma complicated with papillary thyroid carcinoma, 17 cases complicated with follicular thyroid carcinoma, 34 cases complicated with other pathological types and 23 with a separate entity. The patient demonstrated a large age span, median age was 57 years (range 8-85 years, average 55.20 ± 15.74 years). The survival time of the 94 cases was calculated, and the mean Overall survival time was 33 (range, 1-170) months, and the mean Recurrence-free survival time was 14 (range, 1-90) months. Recurrence-free mortality is related to the age at diagnosis, extrathyroidal extension and Associated thyroid cancer (p<0.05). In contrast, overall mortality is related to the age at diagnosis, sex, extrathyroidal extension, T stage (AJCC 8th), surgery and radiation (p<0.05).

CONCLUSION

Middle-aged and elderly patients are still at high risk for poorly differentiated thyroid carcinoma. The pathologic results of poorly differentiated thyroid carcinoma are varied, and reasonable treatment has an important impact on the prognosis of poorly differentiated thyroid carcinoma.

摘要

目的

阐明低分化甲状腺癌的临床病理特征及预后因素。

方法

回顾性分析2005年至2020年在中国人民解放军总医院第一医学中心收治的24912例甲状腺癌患者。共有94例患者(男性39例,女性55例,男女比例为1:1.4)符合入选标准。其中,73例患者接受了手术。收集每位入选患者的临床和病理数据。进行单因素和多因素Cox回归分析以确定独立预后因素。所有分析均在R Studio环境中使用SPSS 26.0版和R 1.2.5033版进行。

结果

标本包括20例低分化甲状腺癌合并乳头状甲状腺癌、17例合并滤泡状甲状腺癌、34例合并其他病理类型以及23例为单一病理类型。患者年龄跨度大,中位年龄为57岁(范围8 - 85岁,平均55.20±15.74岁)。计算了94例患者的生存时间,平均总生存时间为33个月(范围1 - 170个月),平均无复发生存时间为14个月(范围1 - 90个月)。无复发生存率与诊断时年龄、甲状腺外侵犯及相关甲状腺癌有关(p<0.05)。相比之下,总死亡率与诊断时年龄、性别、甲状腺外侵犯、T分期(AJCC第8版)、手术及放疗有关(p<0.05)。

结论

中老年患者仍是低分化甲状腺癌的高危人群。低分化甲状腺癌的病理结果多样,合理治疗对低分化甲状腺癌的预后有重要影响。

https://cdn.ncbi.nlm.nih.gov/pmc/blobs/20b8/10361777/41eac08daa66/fonc-13-1102936-g005.jpg
https://cdn.ncbi.nlm.nih.gov/pmc/blobs/20b8/10361777/2c27cbf74186/fonc-13-1102936-g001.jpg
https://cdn.ncbi.nlm.nih.gov/pmc/blobs/20b8/10361777/37aed793e2ab/fonc-13-1102936-g002.jpg
https://cdn.ncbi.nlm.nih.gov/pmc/blobs/20b8/10361777/c00fa58249c0/fonc-13-1102936-g003.jpg
https://cdn.ncbi.nlm.nih.gov/pmc/blobs/20b8/10361777/207d26045545/fonc-13-1102936-g004.jpg
https://cdn.ncbi.nlm.nih.gov/pmc/blobs/20b8/10361777/41eac08daa66/fonc-13-1102936-g005.jpg
https://cdn.ncbi.nlm.nih.gov/pmc/blobs/20b8/10361777/2c27cbf74186/fonc-13-1102936-g001.jpg
https://cdn.ncbi.nlm.nih.gov/pmc/blobs/20b8/10361777/37aed793e2ab/fonc-13-1102936-g002.jpg
https://cdn.ncbi.nlm.nih.gov/pmc/blobs/20b8/10361777/c00fa58249c0/fonc-13-1102936-g003.jpg
https://cdn.ncbi.nlm.nih.gov/pmc/blobs/20b8/10361777/207d26045545/fonc-13-1102936-g004.jpg
https://cdn.ncbi.nlm.nih.gov/pmc/blobs/20b8/10361777/41eac08daa66/fonc-13-1102936-g005.jpg

相似文献

1
Predictive factors and clinicopathological characteristics of outcome in poorly differentiated thyroid carcinoma: a single-institution study.低分化甲状腺癌预后的预测因素及临床病理特征:一项单机构研究
Front Oncol. 2023 Jul 7;13:1102936. doi: 10.3389/fonc.2023.1102936. eCollection 2023.
2
[Poorly differentiated thyroid follicular carcinoma - a clinical analysis of 30 cases].[低分化甲状腺滤泡癌——30例临床分析]
Ai Zheng. 2004 Sep;23(9):1081-4.
3
Clinicopathological Characteristics and Prognosis of Poorly Differentiated Thyroid Carcinoma Diagnosed According to the Turin Criteria.根据都灵标准诊断的低分化甲状腺癌的临床病理特征和预后。
Endocr Pract. 2021 May;27(5):401-407. doi: 10.1016/j.eprac.2020.11.008. Epub 2020 Dec 15.
4
Prognostic implications of extranodal extension in papillary thyroid carcinomas: A propensity score matching analysis and proposal for incorporation into current tumor, lymph node, metastasis staging.甲状腺乳头状癌淋巴结外侵犯的预后意义:倾向评分匹配分析及纳入现行肿瘤、淋巴结、转移分期系统的建议。
Surgery. 2022 Feb;171(2):368-376. doi: 10.1016/j.surg.2021.07.018. Epub 2021 Sep 2.
5
Clinicopathological features and prognostic factors analysis of multiple synchronous distinct subtypes of primary thyroid carcinoma.多灶性甲状腺原发癌不同亚型并存的临床病理特征及预后因素分析。
Endocrine. 2023 Mar;79(3):491-501. doi: 10.1007/s12020-022-03243-0. Epub 2022 Nov 18.
6
Clinical implications of pathologic factors after thyroid lobectomy in patients with papillary thyroid carcinoma.甲状腺乳头状癌患者甲状腺叶切除术后病理因素的临床意义。
Oral Oncol. 2017 Dec;75:1-5. doi: 10.1016/j.oraloncology.2017.10.012. Epub 2017 Oct 18.
7
High Grade Differentiated Follicular Cell-Derived Thyroid Carcinoma Versus Poorly Differentiated Thyroid Carcinoma: A Clinicopathologic Analysis of 41 Cases.高级别分化型滤泡细胞源性甲状腺癌与低分化型甲状腺癌:41 例临床病理分析。
Endocr Pathol. 2023 Jun;34(2):234-246. doi: 10.1007/s12022-023-09770-4. Epub 2023 May 17.
8
A comparison of the 7th and 8th editions of the AJCC staging system in terms of predicting recurrence and survival in patients with papillary thyroid carcinoma.第 7 版和第 8 版 AJCC 分期系统在预测甲状腺乳头状癌患者复发和生存方面的比较。
Oral Oncol. 2018 Dec;87:158-164. doi: 10.1016/j.oraloncology.2018.11.003. Epub 2018 Nov 9.
9
Management and outcome of recurrent well-differentiated thyroid carcinoma.复发性高分化甲状腺癌的管理与预后
Arch Otolaryngol Head Neck Surg. 2004 Jul;130(7):819-24. doi: 10.1001/archotol.130.7.819.
10
Nodal disease predicts recurrence whereas other traditional factors affect survival in a cohort of South African patients with differentiated thyroid carcinoma.在一组南非分化型甲状腺癌患者中,淋巴结疾病预示复发,而其他传统因素影响生存。
Cancers Head Neck. 2018 Nov 19;3:10. doi: 10.1186/s41199-018-0037-5. eCollection 2018.

引用本文的文献

1
Dynamic estimates of survival of patients with poorly differentiated thyroid carcinoma: a population-based study.动态估计低分化甲状腺癌患者的生存率:一项基于人群的研究。
Front Endocrinol (Lausanne). 2024 Sep 13;15:1375274. doi: 10.3389/fendo.2024.1375274. eCollection 2024.
2
The Long Journey towards Personalized Targeted Therapy in Poorly Differentiated Thyroid Carcinoma (PDTC): A Case Report and Systematic Review.低分化甲状腺癌(PDTC)个体化靶向治疗的漫长征程:一例病例报告及系统综述
J Pers Med. 2024 Jun 18;14(6):654. doi: 10.3390/jpm14060654.
3
Drug repositioning in thyroid cancer: from point mutations to gene fusions.

本文引用的文献

1
Does the presence of capsule influence prognosis in poorly differentiated thyroid carcinoma?包膜是否影响低分化甲状腺癌的预后?
Hum Pathol. 2023 Jun;136:96-104. doi: 10.1016/j.humpath.2023.04.005. Epub 2023 Apr 11.
2
The 2022 WHO classification of thyroid tumors: novel concepts in nomenclature and grading.《2022年世界卫生组织甲状腺肿瘤分类:命名和分级的新概念》
Endocr Relat Cancer. 2022 Dec 22;30(2). doi: 10.1530/ERC-22-0293. Print 2023 Feb 1.
3
Significance of oncocytic features in poorly differentiated thyroid carcinoma - a bi-institutional experience.
甲状腺癌中的药物重新定位:从点突变到基因融合
Front Oncol. 2024 May 8;14:1407511. doi: 10.3389/fonc.2024.1407511. eCollection 2024.
具有嗜酸性细胞特征的低分化甲状腺癌的意义——一项双机构经验。
Virchows Arch. 2023 Mar;482(3):479-491. doi: 10.1007/s00428-022-03422-4. Epub 2022 Nov 8.
4
Development and validation of a nomogram model for cancer-specific survival of patients with poorly differentiated thyroid carcinoma: A SEER database analysis.基于 SEER 数据库分析建立低分化甲状腺癌患者癌症特异性生存的列线图模型并验证
Front Endocrinol (Lausanne). 2022 Sep 13;13:882279. doi: 10.3389/fendo.2022.882279. eCollection 2022.
5
Poorly differentiated "insular" thyroid carcinoma with solitary vascular mandibular metastasis - A rare histology and management.
Oral Oncol. 2022 Jan;124:105416. doi: 10.1016/j.oraloncology.2021.105416. Epub 2021 Jun 24.
6
Poorly differentiated thyroid carcinoma.未分化甲状腺癌。
Semin Diagn Pathol. 2020 Sep;37(5):243-247. doi: 10.1053/j.semdp.2020.03.003. Epub 2020 Apr 17.
7
Sub-segmentation specific paradigms for better individualized management of poorly differentiated thyroid carcinoma: can a systematic approach be evolved?用于更好地个体化管理低分化甲状腺癌的亚细分特定范式:能否形成一种系统方法?
Nucl Med Commun. 2020 Jan;41(1):1-4. doi: 10.1097/MNM.0000000000001100.
8
Poorly Differentiated Carcinoma of the Thyroid Gland: Current Status and Future Prospects.甲状腺低分化癌:现状与未来展望。
Thyroid. 2019 Mar;29(3):311-321. doi: 10.1089/thy.2018.0509.
9
Clinical features of poorly differentiated thyroid papillary carcinoma.低分化甲状腺乳头状癌的临床特征
Auris Nasus Larynx. 2019 Jun;46(3):437-442. doi: 10.1016/j.anl.2018.10.001. Epub 2018 Nov 19.
10
Predictive factors of outcome in poorly differentiated thyroid carcinomas.低分化甲状腺癌预后的预测因素。
Eur J Cancer. 2018 Mar;92:40-47. doi: 10.1016/j.ejca.2017.12.027. Epub 2018 Feb 3.