Suppr超能文献

甘草酸苷减少了雷公藤多苷诱导的肝细胞大量脂质沉积。

Glycyrrhizic acid glycosides reduces extensive tripterygium glycosides-induced lipid deposition in hepatocytes.

作者信息

Yang Yifei, Fu Xiaotong, Xia Bing, Zhou Liu, Zhang Haijing, Li Chun, Ye Xiao, Liu Ting

机构信息

Institute of Chinese Materia Medica, China Academy of Chinese Medical Sciences, Beijing, 100700, China.

出版信息

Heliyon. 2023 Jul 7;9(7):e17891. doi: 10.1016/j.heliyon.2023.e17891. eCollection 2023 Jul.

Abstract

AIM

Tripterygium glycosides (TG) extracted from the plant Hook F has been used to treat chronic kidney diseases for many years. However, hepatotoxicity limits its clinical application. Glycyrrhizic acid glycosides (GA) can reduce TG hepatotoxicity, however, further investigation into the underlying molecular mechanisms by which GA attenuates TG-induced hepatotoxicity is required.

METHODS

Sprague‒Dawley rats were randomly divided into the control group, the TG groups (TG189 mg/kg group, TG472.5 mg/kg group), and the TG + GA groups (TG189 mg/kg + GA20.25 mg/kg group, TG472.5 mg/kg + GA20.25 mg/kg group). After 21 consecutive days of intragastric administration, structural and molecular changes in hepatocytes were detected.

RESULTS

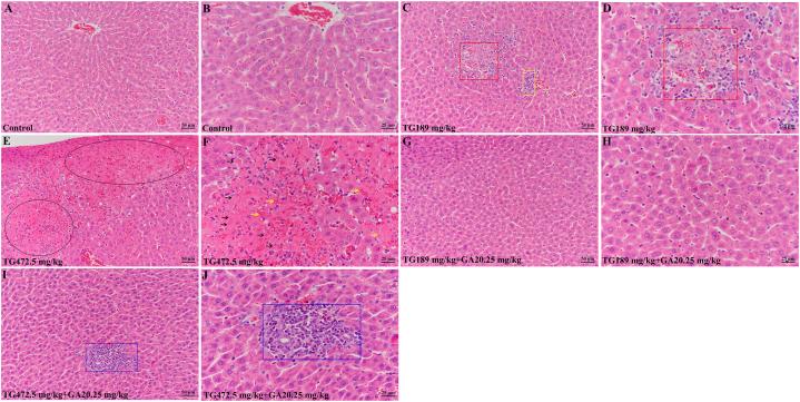
After 21 days of TG treatment, the serum level of the total bilirubin, triglyceride, total cholesterol, and low-density lipoprotein cholesterol increased in the TG189 mg/kg and TG472.5 mg/kg groups when compared to the control group. High-density lipoprotein cholesterol levels were reduced in both TG groups. The ultrastructure of hepatocytes and the structural integrity of the liver were compromised. In addition, the relevant molecular level of the peroxisome proliferators-activated receptor α (PPARα) and acyl-CoA synthetase long-chain family members (ACSLs) pathway was modulated. With the addition of 20.25 mg/kg GA, the serum biochemical indexes and liver tissue structure ultrastructure of hepatocytes were improved, and the PPARα-ACSLs pathway was corrected.

CONCLUSION

The combined application of GA and TG improved abnormal lipid metabolism, repaired liver structure, reduced lipid deposition in hepatocytes, and reduced TG-induced hepatotoxicity.

摘要

目的

从植物雷公藤中提取的雷公藤多苷(TG)多年来一直用于治疗慢性肾脏病。然而,肝毒性限制了其临床应用。甘草酸苷(GA)可降低TG的肝毒性,但需要进一步研究GA减轻TG诱导的肝毒性的潜在分子机制。

方法

将Sprague-Dawley大鼠随机分为对照组、TG组(TG189mg/kg组、TG472.5mg/kg组)和TG+GA组(TG189mg/kg+GA20.25mg/kg组、TG472.5mg/kg+GA20.25mg/kg组)。连续灌胃21天后,检测肝细胞的结构和分子变化。

结果

TG处理21天后,与对照组相比,TG189mg/kg组和TG472.5mg/kg组血清总胆红素、甘油三酯、总胆固醇和低密度脂蛋白胆固醇水平升高。两个TG组的高密度脂蛋白胆固醇水平均降低。肝细胞超微结构和肝脏结构完整性受损。此外,过氧化物酶体增殖物激活受体α(PPARα)和酰基辅酶A合成酶长链家族成员(ACSLs)途径的相关分子水平受到调节。添加20.25mg/kg GA后,肝细胞的血清生化指标和肝组织结构超微结构得到改善,PPARα-ACSLs途径得到纠正。

结论

GA与TG联合应用可改善脂质代谢异常,修复肝脏结构,减少肝细胞内脂质沉积,降低TG诱导的肝毒性。

https://cdn.ncbi.nlm.nih.gov/pmc/blobs/63c5/10362073/75fe9a126553/gr1.jpg

文献检索

告别复杂PubMed语法,用中文像聊天一样搜索,搜遍4000万医学文献。AI智能推荐,让科研检索更轻松。

立即免费搜索

文件翻译

保留排版,准确专业,支持PDF/Word/PPT等文件格式,支持 12+语言互译。

免费翻译文档

深度研究

AI帮你快速写综述,25分钟生成高质量综述,智能提取关键信息,辅助科研写作。

立即免费体验