Suppr超能文献

在一名患有肌肉骨骼疾病的整脊治疗患者中发现急性淋巴细胞白血病。

Unmasking Acute Lymphoblastic Leukemia in a Chiropractic Patient With Musculoskeletal Complaints.

作者信息

Mok Tze Kwan Sharon, Cheong Benjamin Kah Chun, Huang Kevin Hsu Kai

机构信息

Chiropractic, New York Chiropractic and Physiotherapy Centre, New York Medical Group, Hong Kong, CHN.

出版信息

Cureus. 2023 Jun 20;15(6):e40675. doi: 10.7759/cureus.40675. eCollection 2023 Jun.

Abstract

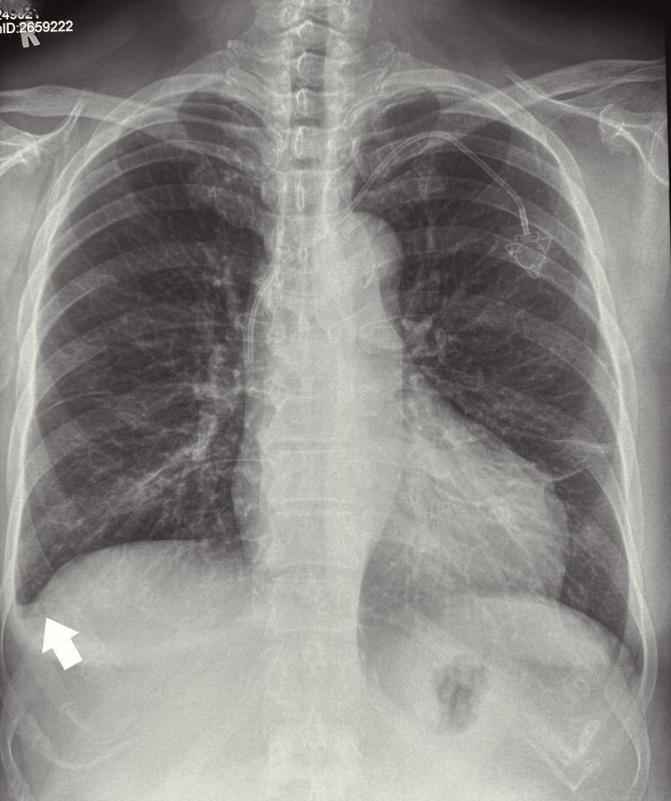
A 67-year-old woman presented to a chiropractor with a four-week history of neck and low back pain, lower extremity paresthesia, profound fatigue, and cutaneous pallor. Previous cervical radiographs had revealed multilevel degenerative spondylosis. However, abnormal hematological indices, including severe thrombocytopenia and anemia, prompted concerns of an underlying hematopoietic malignancy. Interdisciplinary collaboration facilitated expedient hematological assessment, confirming acute lymphoblastic leukemia (ALL), as evidenced by lymphoblasts in a peripheral blood smear and bone marrow biopsy. Karyotyping detected a Philadelphia chromosomal mutation; the patient therefore received oral targeted tyrosine kinase inhibition coupled with serial intrathecal chemotherapy. Complete remission was achieved. However, sensorimotor symptoms persisted due to herpetic neuralgia secondary to immunosuppression. This complex case underscores the role of chiropractors as primary contact clinicians in identifying sinister pathologies underlying musculoskeletal complaints via judicious history-taking, physical evaluation, and interpretation of investigational findings. Interprofessional collaboration is pivotal in formulating an effective therapeutic strategy to improve the prognosis of patients with this disease.

摘要

一名67岁女性因颈部和下背部疼痛、下肢感觉异常、极度疲劳和皮肤苍白等症状持续四周,前来就诊于一名脊椎按摩师。先前的颈椎X光片显示有多节段退行性脊柱病。然而,包括严重血小板减少症和贫血在内的异常血液学指标引发了对潜在造血系统恶性肿瘤的担忧。跨学科合作促成了快速的血液学评估,确诊为急性淋巴细胞白血病(ALL),外周血涂片和骨髓活检中的原始淋巴细胞证实了这一诊断。核型分析检测到费城染色体突变;因此,该患者接受了口服靶向酪氨酸激酶抑制治疗并辅以鞘内化疗。实现了完全缓解。然而,由于免疫抑制继发的疱疹性神经痛,感觉运动症状持续存在。这个复杂的病例强调了脊椎按摩师作为初级接诊临床医生的作用,即通过审慎的病史采集、体格检查和对检查结果的解读,识别肌肉骨骼症状背后的隐匿病变。跨专业合作对于制定有效的治疗策略以改善该疾病患者的预后至关重要。

https://cdn.ncbi.nlm.nih.gov/pmc/blobs/ca27/10357392/6cd7c5a72411/cureus-0015-00000040675-i01.jpg

文献AI研究员

20分钟写一篇综述,助力文献阅读效率提升50倍。

立即体验

用中文搜PubMed

大模型驱动的PubMed中文搜索引擎

马上搜索

文档翻译

学术文献翻译模型,支持多种主流文档格式。

立即体验