Department of General Practice, Fuyang Hospital of Anhui Medical University, Fuyang, 236000, Anhui Province, China.
Department of Clinical Laboratory, The First Affiliated Hospital of China Medical University, Shenyang, 110001, Liaoning Province, China.
Mol Med. 2023 Jul 24;29(1):99. doi: 10.1186/s10020-023-00672-z.
To elucidate the mechanism by which DEC2 modulates the proliferation of mesangial cells (MCs) in lupus nephritis (LN).
The 32-week-old female Fcgr2b mice and their serum-treated MCs were used as in vivo and in vitro LN model. MCs knocked down of DEC2 and overexpressed with DEC2 were also established. The expression of DEC2 was measured in the kidneys of Fcgr2b mice and LN serum-treated MCs using RT-qPCR and Western blot. MCs proliferation was detected by 5-ethynyl-2'-deoxyuridine (EdU) labeling assay and PCNA expression using immunofluorescence. The glucose metabolism was evaluated in LN serum-treated MCs, and the levels of lactate production, glucose consumption, ATP production and mitochondrial membrane potential were assayed. The glycolysis and mitochondrial respiration function of the MCs were measured using the Extracellular Flux Analyzer. The extracellular acidification rate (ECAR) and oxygen consumption rate (OCR) were dynamically monitored and multiple important bioenergetic parameters can be calculated. The expression of Toll like receptor 4 (TLR4) and glucose transporter 1 (GLUT1) were detected in the MCs. Multiple signaling proteins were screened.
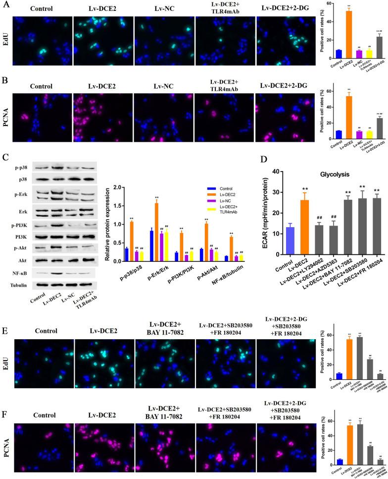
DEC2 was found overexpressed in the kidney of Fcgr2b LN mice. Knockdown of DEC2 inhibited LN serum-induced MCs proliferation. DEC2 was associated with the glucose metabolism in LN serum-treated MCs. DEC2 regulated glycolysis in LN serum-treated MCs. DEC2 was associated with mitochondrial fitness in LN serum treated MCs. DEC2 activated MCs glycolysis through TLR4 and glucose transporter 1 (GLUT1) regulation. DEC2 regulated MCs proliferation through two signaling pathways including dependent and independent of glycolysis, which located in the downstream of TLR4 signaling.
Knockdown of DEC2 expression inhibits the proliferation of MCs through suppressed glycolysis and p38 MAPK/ERK pathway in LN.
阐明 DEC2 调节狼疮肾炎(LN)系膜细胞(MC)增殖的机制。
使用 32 周龄雌性 Fcgr2b 小鼠及其血清处理的 MC 作为体内和体外 LN 模型。还建立了 DEC2 敲低和过表达 DEC2 的 MC。使用 RT-qPCR 和 Western blot 测量 Fcgr2b 小鼠肾脏和 LN 血清处理的 MC 中 DEC2 的表达。通过 5-乙炔基-2'-脱氧尿苷(EdU)标记测定和免疫荧光法检测 PCNA 表达来检测 MC 增殖。评估 LN 血清处理的 MC 中的葡萄糖代谢,并测定乳酸产生、葡萄糖消耗、ATP 产生和线粒体膜电位水平。使用细胞外通量分析仪测量 MC 的糖酵解和线粒体呼吸功能。动态监测细胞外酸化率(ECAR)和耗氧量(OCR),并可计算多个重要的生物能量参数。检测 MC 中 Toll 样受体 4(TLR4)和葡萄糖转运蛋白 1(GLUT1)的表达。筛选了多种信号蛋白。
发现 DEC2 在 Fcgr2b LN 小鼠肾脏中过度表达。敲低 DEC2 抑制 LN 血清诱导的 MC 增殖。DEC2 与 LN 血清处理的 MC 中的葡萄糖代谢有关。DEC2 调节 LN 血清处理的 MC 中的糖酵解。DEC2 与 LN 血清处理的 MC 中的线粒体适应性有关。DEC2 通过调节 TLR4 和葡萄糖转运蛋白 1(GLUT1)来调节 LN 血清处理的 MC 中的糖酵解。DEC2 通过两条信号通路调节 MC 增殖,包括依赖和不依赖糖酵解的信号通路,这些信号通路位于 TLR4 信号的下游。
敲低 DEC2 表达通过抑制 LN 中糖酵解和 p38 MAPK/ERK 通路抑制 MC 增殖。