Suppr超能文献

伴发华氏巨球蛋白血症患者原发性新型冠状病毒肺炎感染的肺实质内肺脓肿:一例报告

Intraparenchymal Lung Abscess Complicating a Primary COVID-19 Infection in a Patient with Waldenström's Macroglobulinemia: A Case Report.

作者信息

Mavroudis Panagiotis F, Velentza Lemonia, Sfyridis Panagiotis G, Papantoniou Styliani, Kranidiotis Georgios, Giannitsioti Efthymia, Stamati Alexandra, Schizas Dimitrios, Gerakari Styliani, Kapetanakis Emmanouil I

机构信息

Second Department of Internal Medicine and Infectious Diseases Unit, Tzaneio General Hospital of Piraeus, 18536 Piraeus, Greece.

Department of Emergency Medicine, Tzaneio General Hospital of Piraeus, 18536 Piraeus, Greece.

出版信息

Infect Dis Rep. 2023 Jul 10;15(4):386-391. doi: 10.3390/idr15040039.

Abstract

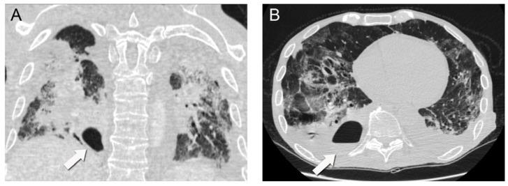
Intraparenchymal lung abscess development associated with severe acute respiratory syndrome coronavirus 2 (SARS-CoV-2) infection is a rare complication, with only half a dozen primary cases having been reported in the literature. We present the case of a patient with Waldenström's macroglobulinemia who developed a lung abscess subsequent to a primary SARS-CoV-2 infection. We present a 63-year-old male patient with SARS-CoV-2 infection and a history of Waldenström's macroglobulinemia who developed a cavitating intraparenchymal lung abscess with an air-fluid level in his right lower lobe two weeks following admission to hospital. The patient became septic and developed acute respiratory failure requiring mechanical ventilation and intensive care. He was managed with broad-spectrum antibiotic therapy and aspiration drainage, but unfortunately due to his severe clinical condition died 20 days after his initial admission. The development of a lung abscess in patients with COVID-19, although rare, can be quite compromising and even prove fatal, especially in immunocompromised patients. Clinicians should be aware of this potential complication.

摘要

与严重急性呼吸综合征冠状病毒2(SARS-CoV-2)感染相关的肺实质内肺脓肿是一种罕见的并发症,文献中仅报道了少数几例原发性病例。我们报告了一例患有华氏巨球蛋白血症的患者,该患者在原发性SARS-CoV-2感染后发生了肺脓肿。我们介绍了一名63岁男性患者,他感染了SARS-CoV-2且有华氏巨球蛋白血症病史,入院两周后右下叶出现了一个有气液平面的空洞性肺实质内肺脓肿。患者发生败血症并发展为急性呼吸衰竭,需要机械通气和重症监护。他接受了广谱抗生素治疗和穿刺引流,但不幸的是,由于他的病情严重,在初次入院20天后死亡。COVID-19患者发生肺脓肿,虽然罕见,但可能极具危害性,甚至可能致命,尤其是在免疫功能低下的患者中。临床医生应意识到这种潜在并发症。

https://cdn.ncbi.nlm.nih.gov/pmc/blobs/d6e2/10366762/5d368981e84e/idr-15-00039-g001.jpg

文献AI研究员

20分钟写一篇综述,助力文献阅读效率提升50倍。

立即体验

用中文搜PubMed

大模型驱动的PubMed中文搜索引擎

马上搜索

文档翻译

学术文献翻译模型,支持多种主流文档格式。

立即体验