Suppr超能文献

真空辅助乳腺活检(VABB)后的血管并发症:病例报告及文献复习。

Vascular Complications following Vacuum-Assisted Breast Biopsy (VABB): A Case Report and Review of the Literature.

机构信息

Specializzando in Radiodiagnostica UPO, 28100 Novara, Italy.

Dipartimento di Medicina traslazionale UPO, 28100 Novara, Italy.

出版信息

Tomography. 2023 Jun 24;9(4):1246-1253. doi: 10.3390/tomography9040099.

Abstract

INTRODUCTION

Vacuum-assisted breast biopsy (VABB) has been evaluated as a minimally invasive, safe, and accurate procedure with low complication risks; the most frequent one is the mild/moderate hematoma, which occurs with a low-frequency rate, and the majority of patients who experienced it can be treated successfully with only manual compression and dressing. Although cases of uncontrollable catastrophic bleeding are exceedingly rare, local breast vessel involvement is a concrete risk, even in patients with no bleeding propensity.

CASE PRESENTATION

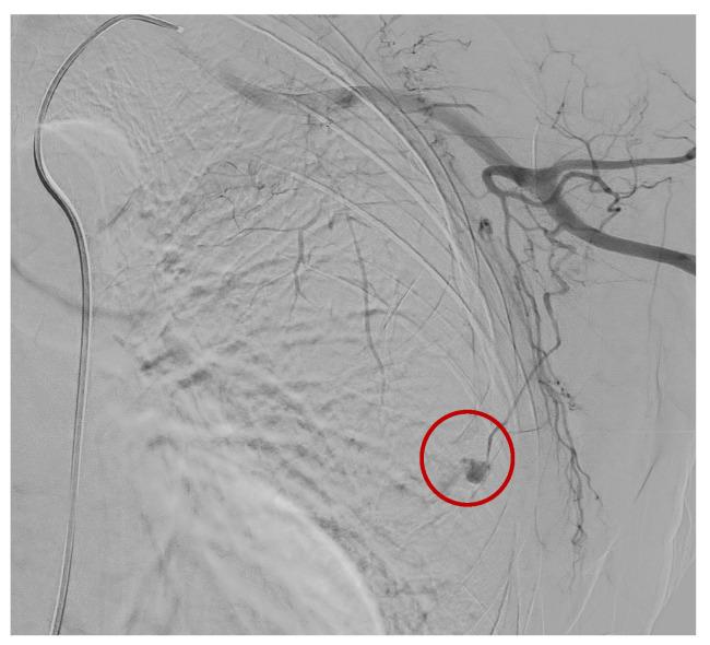
In this article, we aimed to describe a 60 years-old woman who, following VABB, experienced a massive hematoma without external bleeding and was successfully treated with embolization. The woman was called back for a cluster of suspicious microcalcifications identified in the left breast's upper-outer quadrant; however, following histopathological analysis, the few samples collected were negative. She had a silent past medical history, 100% performance status, and no active pharmacotherapy. Approximately 15-30 min after VABB, the patient complained of weakness, pain, and lipothymia. A physical examination revealed a massive hematoma without external bleeding. Clinical data reported PaO 65/40 mmHg and blood chemistry Hb < 10 g/dL. The emergency team was alerted to stabilize the patient, and after that, the breast hemorrhage was controlled by endovascular embolization. Despite this being a rare occurrence, it is important to draw up and follow an appropriate protocol to ensure proper patient management and early treatment.

DISCUSSION

This case illustrates the prompt and accurate management of a rare complication following VABB. Due to the very high number of patients undergoing this particular procedure, we aim to point out the concrete risk of vascular injury; other similar cases are described to support our thesis and provide different clinical manifestations of this rare occurrence.

摘要

简介

真空辅助乳房活检 (VABB) 已被评估为一种微创、安全且准确的程序,其并发症风险较低;最常见的是轻度/中度血肿,其发生率较低,大多数经历过这种情况的患者仅通过手动压迫和包扎即可成功治疗。虽然无法控制的灾难性出血的情况极为罕见,但即使在没有出血倾向的患者中,局部乳房血管的受累也是一个具体的风险。

病例介绍

本文旨在描述一位 60 岁女性,在接受 VABB 后出现无外部出血的大量血肿,并通过栓塞成功治疗。该女性因左乳房上外象限发现一簇可疑微钙化而被召回;然而,组织病理学分析后,仅采集到少量阴性样本。她既往病史无明显异常,表现状态为 100%,且无正在进行的药物治疗。在 VABB 后约 15-30 分钟,患者出现虚弱、疼痛和晕厥。体格检查发现无外部出血的大量血肿。临床数据报告 PaO 65/40mmHg,血化学 Hb < 10g/dL。紧急医疗队被召集以稳定患者,随后通过血管内栓塞控制了乳房出血。尽管这种情况很少见,但制定并遵循适当的方案对于确保患者得到妥善管理和早期治疗至关重要。

讨论

该病例说明了 VABB 后罕见并发症的及时准确管理。由于有大量患者接受这种特殊程序,我们旨在指出血管损伤的具体风险;还描述了其他类似病例以支持我们的论点,并提供了这种罕见情况的不同临床表现。

https://cdn.ncbi.nlm.nih.gov/pmc/blobs/d39c/10366872/6d2e6efe2e66/tomography-09-00099-g001.jpg

文献AI研究员

20分钟写一篇综述,助力文献阅读效率提升50倍。

立即体验

用中文搜PubMed

大模型驱动的PubMed中文搜索引擎

马上搜索

文档翻译

学术文献翻译模型,支持多种主流文档格式。

立即体验