Suppr超能文献

静脉内平滑肌瘤病的诊断经验,重点是传统超声成像:一项单中心研究。

Diagnostic experience of intravenous leiomyomatosis with emphasis on conventional ultrasonography imaging: a single-center study.

作者信息

Ge Zhitong, Wang Yahong, Wang Ying, Li Wanying, Yang Xiao, Li Jianchu, Wang Hongyan

机构信息

Department of Ultrasound, State Key Laboratory of Complex Severe and Rare Diseases, Peking Union Medical College Hospital, Chinese Academy of Medical Sciences & Peking Union Medical College, Beijing, China.

出版信息

Front Oncol. 2023 Jul 10;13:1203591. doi: 10.3389/fonc.2023.1203591. eCollection 2023.

Abstract

OBJECTIVE

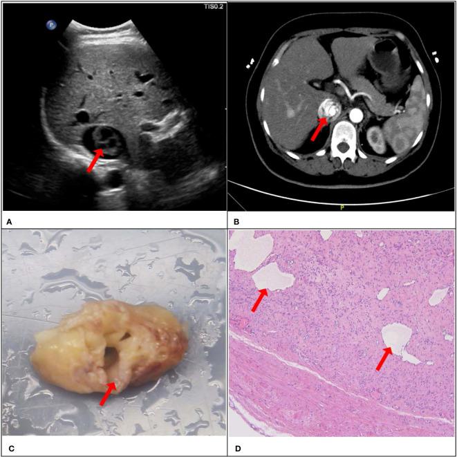
Intravenous leiomyomatosis (IVL) is a rare and aggressive tumor type that has the potential to extend into the inferior vena cava (IVC) and is susceptible to be misdiagnosed and neglected. Despite its clinical significance, there is a paucity of research that has focused on the specific manifestations of IVL on ultrasonography. Therefore, this study aims to systematically analyze the specific ultrasound features of IVL and augment its diagnostic accuracy.

MATERIALS AND METHOD

Prospective inclusion was granted to patients admitted to our hospital between December 2016 and March 2021 for an IVC-occupying lesion. Multi-modal ultrasonography, encompassing gray-scale and color Doppler, was conducted. Lesions were categorized as IVL or non-IVL based on pathological or follow-up data. Two ultrasound sonographers with over 5 years of experience read and recorded ultrasound data for all lesions, which were subsequently comparatively analyzed to identify specific signs of IVL.

RESULTS

A total of 284 patients diagnosed with IVC-occupying lesions were included in the study. The lesion types comprised of IVL (n=67, 23.6%), IVC thrombus (n=135, 47.5%), tumor thrombus of renal carcinoma involving the IVC (n=35, 12.4%), tumor thrombus of liver carcinoma involving the IVC (n=24, 8.5%), leiomyosarcoma of the IVC (n=14, 4.9%), and tumor thrombus of adrenocortical adenocarcinoma (n=9, 4.1%). The presence of "sieve hole" and "multi-track" signs was observed in 20 IVL lesions under the grey-scale modality, while both signs were absent in the non-IVL group (<0.01). The study found no statistically significant differences in the presentation of "sieve hole" and "multi-track" signs under the grey-scale and color Doppler modalities in cases of intravascular lithotripsy (IVL) (>0.05). Using these two signs as diagnostic criteria for IVL, the sensitivity, specificity, positive predictive value (PPV), negative predictive value (NPV), miss rate, misdiagnosis rate, and accuracy were determined to be 29.9%, 100%, 100%, 82.2%, 70.1%, 0, and 83.5%, respectively (AUC ROC=0.649; 95%CI: 0.537-0.761).

CONCLUSION

IVL exhibits distinct ultrasound presentations, including "sieve hole" and "multi-track" signs, which demonstrate high specificity and accuracy as diagnostic indicators. Furthermore, these signs are corroborated by pathological evidence and effectively distinguish IVL from other lesions occupying the IVC.

摘要

目的

静脉内平滑肌瘤病(IVL)是一种罕见且侵袭性强的肿瘤类型,有可能延伸至下腔静脉(IVC),且易被误诊和忽视。尽管其具有临床意义,但针对IVL在超声检查中的具体表现的研究较少。因此,本研究旨在系统分析IVL的特定超声特征并提高其诊断准确性。

材料与方法

前瞻性纳入2016年12月至2021年3月期间入住我院的患有IVC占位性病变的患者。进行了包括灰阶和彩色多普勒的多模态超声检查。根据病理或随访数据将病变分为IVL或非IVL。两名具有超过5年经验的超声检查医师读取并记录所有病变的超声数据,随后进行对比分析以确定IVL的特定征象。

结果

本研究共纳入284例被诊断为IVC占位性病变的患者。病变类型包括IVL(n = 67,23.6%)、IVC血栓(n = 135,47.5%)、累及IVC的肾癌肿瘤血栓(n = 35,12.4%)、累及IVC的肝癌肿瘤血栓(n = 24,8.5%)、IVC平滑肌肉瘤(n = 14,4.9%)和肾上腺皮质腺癌肿瘤血栓(n = 9,4.1%)。在灰阶模式下,20例IVL病变中观察到“筛孔”和“多轨道”征象,而非IVL组均未观察到这些征象(<0.01)。研究发现,在血管内平滑肌瘤病(IVL)病例中,灰阶和彩色多普勒模式下“筛孔”和“多轨道”征象的表现无统计学显著差异(>0.05)。以这两个征象作为IVL的诊断标准,其敏感性、特异性、阳性预测值(PPV)、阴性预测值(NPV)、漏诊率、误诊率和准确率分别为:29.9%、100%、100%、82.2%、70.1%、0和83.5%(AUC ROC = 0.649;95%CI:0.537 - 0.761)。

结论

IVL具有独特的超声表现,包括“筛孔”和“多轨道”征象,作为诊断指标具有高特异性和准确性。此外,这些征象得到病理证据的证实,可有效将IVL与其他占据IVC的病变区分开来。

https://cdn.ncbi.nlm.nih.gov/pmc/blobs/74cf/10364609/106961a695c7/fonc-13-1203591-g001.jpg

文献AI研究员

20分钟写一篇综述,助力文献阅读效率提升50倍。

立即体验

用中文搜PubMed

大模型驱动的PubMed中文搜索引擎

马上搜索

文档翻译

学术文献翻译模型,支持多种主流文档格式。

立即体验