Suppr超能文献

采用预防性体外循环对合并心内扩展的静脉内平滑肌瘤病进行麻醉管理:一例报告

Anesthetic Management of Intravenous Leiomyomatosis With Intracardiac Extension Using Preemptive Cardiopulmonary Bypass: A Case Report.

作者信息

Seki Koichiro, Yamamoto Reiko, Yoshinaga Koichi, Takeuchi Mamoru

机构信息

Anesthesiology and Critical Care Medicine, Jichi Medical University, Shimotsuke, JPN.

出版信息

Cureus. 2025 May 3;17(5):e83435. doi: 10.7759/cureus.83435. eCollection 2025 May.

Abstract

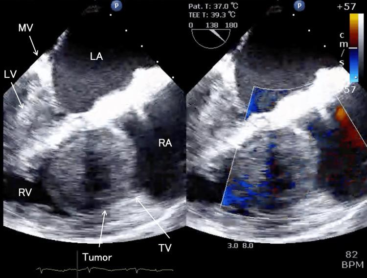
Intravenous leiomyomatosis (IVL) with intracardiac extension can cause circulatory collapse during anesthetic induction due to right heart obstruction. We report the case of a 63-year-old woman with IVL extending into the right ventricle, presenting with right heart failure and shock. To maintain hemodynamic stability and facilitate tumor resection, we established cardiopulmonary bypass (CPB) under local anesthesia before inducing general anesthesia. Preoperative imaging revealed a tumor extending from the right ovarian vein to the right ventricle, causing circulatory failure. In the operating room, CPB was initiated via femoral cannulation under local anesthesia with analgosedation to maintain spontaneous breathing, followed by general anesthesia induction. A median sternotomy was performed, and an additional venous cannula was placed in the superior vena cava to achieve total CPB. The tumor was resected from the right heart and inferior vena cava. The patient was weaned from CPB and ventilation without complications. Pathology was later confirmed to be IVL. She was discharged on postoperative day 30. Establishing CPB before anesthetic induction maintained hemodynamic stability in this patient with IVL, intracardiac extension, and right heart failure, allowing for safe tumor resection.

摘要

伴有心内扩展的静脉内平滑肌瘤病(IVL)在麻醉诱导期间可因右心梗阻导致循环衰竭。我们报告一例63岁女性,其IVL延伸至右心室,表现为右心衰竭和休克。为维持血流动力学稳定并便于肿瘤切除,我们在诱导全身麻醉前于局部麻醉下建立了体外循环(CPB)。术前影像学检查显示肿瘤从右卵巢静脉延伸至右心室,导致循环衰竭。在手术室,于局部麻醉下经股动脉插管并给予镇痛镇静以维持自主呼吸后启动CPB,随后进行全身麻醉诱导。行正中胸骨切开术,并在上腔静脉置入另一根静脉插管以实现完全CPB。肿瘤从右心和下腔静脉切除。患者顺利脱离CPB和通气,未出现并发症。病理检查后来证实为IVL。她于术后第30天出院。在麻醉诱导前建立CPB维持了该患有IVL、心内扩展和右心衰竭患者的血流动力学稳定,从而得以安全地切除肿瘤。

https://cdn.ncbi.nlm.nih.gov/pmc/blobs/586c/12133208/3e8a0cb87a29/cureus-0017-00000083435-i01.jpg

文献检索

告别复杂PubMed语法,用中文像聊天一样搜索,搜遍4000万医学文献。AI智能推荐,让科研检索更轻松。

立即免费搜索

文件翻译

保留排版,准确专业,支持PDF/Word/PPT等文件格式,支持 12+语言互译。

免费翻译文档

深度研究

AI帮你快速写综述,25分钟生成高质量综述,智能提取关键信息,辅助科研写作。

立即免费体验