• 文献检索
  • 文档翻译
  • 深度研究
  • 学术资讯
  • Suppr Zotero 插件Zotero 插件
  • 邀请有礼
  • 套餐&价格
  • 历史记录
应用&插件
Suppr Zotero 插件Zotero 插件浏览器插件Mac 客户端Windows 客户端微信小程序
定价
高级版会员购买积分包购买API积分包
服务
文献检索文档翻译深度研究API 文档MCP 服务
关于我们
关于 Suppr公司介绍联系我们用户协议隐私条款
关注我们

Suppr 超能文献

核心技术专利:CN118964589B侵权必究
粤ICP备2023148730 号-1Suppr @ 2026

文献检索

告别复杂PubMed语法,用中文像聊天一样搜索,搜遍4000万医学文献。AI智能推荐,让科研检索更轻松。

立即免费搜索

文件翻译

保留排版,准确专业,支持PDF/Word/PPT等文件格式,支持 12+语言互译。

免费翻译文档

深度研究

AI帮你快速写综述,25分钟生成高质量综述,智能提取关键信息,辅助科研写作。

立即免费体验

前交叉韧带囊肿:关于一种罕见病症。

Anterior cruciate ligament cysts: About a rare condition.

作者信息

Bouzid Yassine Ben, Dinia Marouane, Bassir Rida-Allah, Boufettal Monsef, Mekkaoui Jalal, Kharmaz Mohamed, Lamrani Moulay Omar, Berrada Mohamed Saleh

机构信息

Department of Orthopaedic and Trauma Surgery, Ibn Sina University Hospital, Imp. Souissi, Rabat 10100, Morocco.

出版信息

Radiol Case Rep. 2023 Jul 12;18(9):3309-3316. doi: 10.1016/j.radcr.2023.06.028. eCollection 2023 Sep.

DOI:10.1016/j.radcr.2023.06.028
PMID:37497465
原文链接:https://pmc.ncbi.nlm.nih.gov/articles/PMC10365983/
Abstract

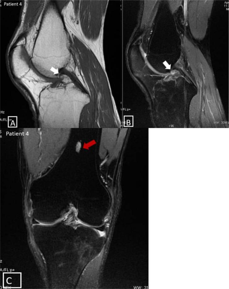
The purpose of this study was to provide information on cysts of the anterior cruciate ligament (ACL) of the knee. This included an anatomical and radio-anatomical reminder of the cruciate ligaments of the knee, along with details of the epidemiology, etiopathogenesis, anatomical risk factors, clinical presentation, differential diagnosis, and treatment of ACL cysts. A retrospective analysis was conducted, involving the review of 7 radioclinical records from the medical imaging department of Ibn Sina University Hospital in Rabat, covering a period of 3 years (2018-2020), during which 7 cases of ACL cysts were diagnosed. The results revealed that ACL cysts are a rare condition, frequently detected incidentally during the assessment of meniscal lesions. Symptoms commonly include knee pain and limited mobility, and MRI is considered the diagnostic modality of for distinguishing between simple fluid-filled cysts and infiltrative cysts, as well as for ruling out other differential diagnoses. Treatment options include radio-guided infiltration puncture and arthroscopic resection.

摘要

本研究的目的是提供有关膝关节前交叉韧带(ACL)囊肿的信息。这包括对膝关节交叉韧带的解剖学和放射解剖学提示,以及ACL囊肿的流行病学、病因发病机制、解剖学危险因素、临床表现、鉴别诊断和治疗的详细信息。进行了一项回顾性分析,涉及对拉巴特伊本·西那大学医院医学影像科7份放射临床记录的审查,涵盖3年时间(2018 - 2020年),在此期间诊断出7例ACL囊肿。结果显示,ACL囊肿是一种罕见病症,常在评估半月板损伤时偶然发现。常见症状包括膝关节疼痛和活动受限,MRI被认为是区分单纯液性囊肿和浸润性囊肿以及排除其他鉴别诊断的诊断方法。治疗选择包括放射引导下的浸润穿刺和关节镜切除。

https://cdn.ncbi.nlm.nih.gov/pmc/blobs/186f/10365983/177494840020/gr7.jpg
https://cdn.ncbi.nlm.nih.gov/pmc/blobs/186f/10365983/d252bdbbacc0/gr1.jpg
https://cdn.ncbi.nlm.nih.gov/pmc/blobs/186f/10365983/9bd80a7fee9c/gr2.jpg
https://cdn.ncbi.nlm.nih.gov/pmc/blobs/186f/10365983/c5cd64c6c259/gr3.jpg
https://cdn.ncbi.nlm.nih.gov/pmc/blobs/186f/10365983/f734ac211229/gr4.jpg
https://cdn.ncbi.nlm.nih.gov/pmc/blobs/186f/10365983/9c746deb47cb/gr5.jpg
https://cdn.ncbi.nlm.nih.gov/pmc/blobs/186f/10365983/ebfaaf67533b/gr6.jpg
https://cdn.ncbi.nlm.nih.gov/pmc/blobs/186f/10365983/177494840020/gr7.jpg
https://cdn.ncbi.nlm.nih.gov/pmc/blobs/186f/10365983/d252bdbbacc0/gr1.jpg
https://cdn.ncbi.nlm.nih.gov/pmc/blobs/186f/10365983/9bd80a7fee9c/gr2.jpg
https://cdn.ncbi.nlm.nih.gov/pmc/blobs/186f/10365983/c5cd64c6c259/gr3.jpg
https://cdn.ncbi.nlm.nih.gov/pmc/blobs/186f/10365983/f734ac211229/gr4.jpg
https://cdn.ncbi.nlm.nih.gov/pmc/blobs/186f/10365983/9c746deb47cb/gr5.jpg
https://cdn.ncbi.nlm.nih.gov/pmc/blobs/186f/10365983/ebfaaf67533b/gr6.jpg
https://cdn.ncbi.nlm.nih.gov/pmc/blobs/186f/10365983/177494840020/gr7.jpg

相似文献

1
Anterior cruciate ligament cysts: About a rare condition.前交叉韧带囊肿:关于一种罕见病症。
Radiol Case Rep. 2023 Jul 12;18(9):3309-3316. doi: 10.1016/j.radcr.2023.06.028. eCollection 2023 Sep.
2
[Arthroscopic Finding of Knee Joint in Relation to Age and Its Comparison with Pre-Operative Clinical Finding - a Retrospective Study].[膝关节镜检查结果与年龄的关系及其与术前临床检查结果的比较——一项回顾性研究]
Acta Chir Orthop Traumatol Cech. 2017;84(3):175-181.
3
Ganglion cysts associated with cruciate ligaments of the knee: a possible cause of recurrent knee pain.与膝关节交叉韧带相关的腱鞘囊肿:复发性膝关节疼痛的一个可能原因。
Acta Orthop Belg. 2000 Dec;66(5):490-4.
4
[Synovial cyst of the cruciate ligament. Findings with magnetic resonance in 8 symptomatic cases].[十字韧带滑膜囊肿。8例有症状病例的磁共振成像表现]
Radiol Med. 1996 Oct;92(4):346-50.
5
[Clinical research on arthroscopic treatment for cruciate ligament cysts of the knee].
Zhongguo Gu Shang. 2016 Mar;29(3):261-5.
6
Anterior cruciate ligament mucoid degeneration: selecting the best treatment option.前交叉韧带黏液样变性:选择最佳治疗方案。
Orthop Traumatol Surg Res. 2010 Jun;96(4):400-6. doi: 10.1016/j.otsr.2010.02.008. Epub 2010 May 8.
7
[Diagnosis and treatment of anterior cruciate ligament cysts].前交叉韧带囊肿的诊断与治疗
Zhongguo Xiu Fu Chong Jian Wai Ke Za Zhi. 2011 Jun;25(6):650-2.
8
Diagnostic Accuracy of Magnetic Resonance Imaging in Evaluation of Anterior Cruciate Ligament Tear.磁共振成像在评估前交叉韧带撕裂中的诊断准确性。
Mymensingh Med J. 2023 Jan;32(1):200-206.
9
Anterior cruciate ligament mucoid degeneration: a review of the literature and management guidelines.前交叉韧带黏液样变性:文献回顾与治疗指南。
Knee Surg Sports Traumatol Arthrosc. 2011 Aug;19(8):1326-33. doi: 10.1007/s00167-011-1433-0. Epub 2011 Feb 18.
10
The prevalence and characteristics of a subcortical cystic lesion at the subspinous region of the knee.膝关节棘下区域皮质下囊性病变的患病率及特征
Acta Radiol. 2018 Jan;59(1):97-104. doi: 10.1177/0284185117703153. Epub 2017 Apr 20.

本文引用的文献

1
[Anterior cruciate ligament mucoid cyst : about a case].[前交叉韧带黏液囊肿:病例报告]
Pan Afr Med J. 2016 Aug 30;24:331. doi: 10.11604/pamj.2016.24.331.10196. eCollection 2016.
2
Report of ganglion cyst in the anterior cruciate ligament of a 6-year-old child.一名6岁儿童前交叉韧带腱鞘囊肿的报告。
Knee. 2013 Mar;20(2):144-7. doi: 10.1016/j.knee.2012.10.008. Epub 2012 Nov 13.
3
[Symptomatic ganglions in the knee joint. Report of three cases and literature review].
Acta Ortop Mex. 2009 Jul-Aug;23(4):223-7.
4
Anterior cruciate ligament ganglia and mucoid degeneration: coexistence and clinical correlation.前交叉韧带神经节与黏液样变性:共存及临床相关性
AJR Am J Roentgenol. 2004 May;182(5):1283-7. doi: 10.2214/ajr.182.5.1821283.
5
Intra-articular ganglion cysts of the knee joint: a report of 85 cases and review of the literature.膝关节内腱鞘囊肿:85例报告并文献复习
Knee Surg Sports Traumatol Arthrosc. 2004 Mar;12(2):123-9. doi: 10.1007/s00167-003-0372-9. Epub 2003 Sep 18.
6
Intra-articular ganglion cysts of the knee: clinical and MR imaging features.膝关节内腱鞘囊肿:临床及磁共振成像特征
Eur Radiol. 2001;11(5):834-40. doi: 10.1007/s003300000713.
7
Ganglion cysts of the cruciate ligaments detected by MRI.通过磁共振成像(MRI)检测到的交叉韧带腱鞘囊肿。
Int Orthop. 1999;23(1):58-60. doi: 10.1007/s002640050305.
8
Technical report: CT-guided aspiration of anterior cruciate ligament ganglion cysts.技术报告:CT引导下前交叉韧带腱鞘囊肿抽吸术
Clin Radiol. 1998 Oct;53(10):771-3. doi: 10.1016/s0009-9260(98)80323-1.
9
Intraarticular ganglia of the knee: prevalence, presentation, etiology, and management.膝关节内腱鞘囊肿:患病率、表现、病因及治疗
AJR Am J Roentgenol. 1997 Jan;168(1):123-7. doi: 10.2214/ajr.168.1.8976934.
10
Symptomatic ganglion cyst within the substance of the anterior cruciate ligament.
Arthroscopy. 1995 Oct;11(5):612-5. doi: 10.1016/0749-8063(95)90141-8.