Grützmeier Simon Ezban, Kovacevic Bojan, Vilmann Peter, Rift Charlotte Vestrup, Melchior Linea Cecilie, Holmström Morten Orebo, Brink Lene, Hassan Hazem, Karstensen John Gásdal, Grossjohann Hanne, Chiranth Deepthi, Toxværd Anders, Hansen Carsten Palnæs, Høgdall Estrid, Hasselby Jane Preuss, Klausen Pia
Gastro Unit, Endoscopic Division, Copenhagen University Hospital Herlev and Gentofte, 2730 Herlev, Denmark.
Department of Surgery and Transplantation, Copenhagen University Hospital Rigshospitalet, 2100 Copenhagen, Denmark.
Cancers (Basel). 2023 Jul 19;15(14):3677. doi: 10.3390/cancers15143677.
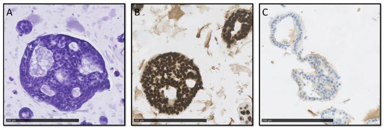
Cancer-associated fibroblasts (CAFs) have been shown to impact the chemosensitivity of patient-derived tumor organoids (PDTOs). However, the published literature comparing PDTO response to clinical outcome does not include CAFs in the models. Here, a co-culture model was created using PDTOs and CAFs derived from endoscopic ultrasound-guided fine-needle biopsies (EUS-FNBs) for potential use in drug screening applications. Co-cultures were established, and growth was compared to monocultures using image metrics and a commercially available assay. We were able to establish and expand validated malignant PDTOs from 19.2% of adenocarcinomas from EUS-FNBs. CAFs could be established from 25% of the samples. The viability of PDTOs in the mixed cell co-culture could be isolated using image metrics. The addition of CAFs promoted PDTO growth in half of the established co-cultures. These results show that co-cultures can be established from tiny amounts of tissue provided by EUS-FNB. An increased growth of PDTOs was shown in co-cultures, suggesting that the present setup successfully models CAF-PDTO interaction. Furthermore, we demonstrated that standard validation techniques may be insufficient to detect contamination with normal cells in PDTO cultures established from primary tumor core biopsies.
癌症相关成纤维细胞(CAFs)已被证明会影响患者来源的肿瘤类器官(PDTOs)的化疗敏感性。然而,已发表的比较PDTO反应与临床结果的文献在模型中未纳入CAFs。在此,利用源自内镜超声引导下细针穿刺活检(EUS-FNBs)的PDTOs和CAFs创建了一种共培养模型,用于药物筛选应用。建立了共培养体系,并使用图像指标和一种市售检测方法将其生长情况与单培养进行比较。我们能够从EUS-FNBs的19.2%的腺癌中建立并扩增经过验证的恶性PDTOs。25%的样本能够建立CAFs。混合细胞共培养中PDTOs的活力可通过图像指标进行分离。在一半已建立的共培养体系中,添加CAFs促进了PDTOs的生长。这些结果表明,可以从EUS-FNB提供的少量组织中建立共培养体系。共培养中显示出PDTOs生长增加,表明当前设置成功模拟了CAF-PDTO相互作用。此外,我们证明标准验证技术可能不足以检测从原发性肿瘤核心活检建立的PDTO培养物中正常细胞的污染。