• 文献检索
  • 文档翻译
  • 深度研究
  • 学术资讯
  • Suppr Zotero 插件Zotero 插件
  • 邀请有礼
  • 套餐&价格
  • 历史记录
应用&插件
Suppr Zotero 插件Zotero 插件浏览器插件Mac 客户端Windows 客户端微信小程序
定价
高级版会员购买积分包购买API积分包
服务
文献检索文档翻译深度研究API 文档MCP 服务
关于我们
关于 Suppr公司介绍联系我们用户协议隐私条款
关注我们

Suppr 超能文献

核心技术专利:CN118964589B侵权必究
粤ICP备2023148730 号-1Suppr @ 2026

文献检索

告别复杂PubMed语法,用中文像聊天一样搜索,搜遍4000万医学文献。AI智能推荐,让科研检索更轻松。

立即免费搜索

文件翻译

保留排版,准确专业,支持PDF/Word/PPT等文件格式,支持 12+语言互译。

免费翻译文档

深度研究

AI帮你快速写综述,25分钟生成高质量综述,智能提取关键信息,辅助科研写作。

立即免费体验

新冠病毒感染及新冠疫苗接种后的视网膜变化

Retinal Changes After COVID-19 Infection and COVID-19 Vaccination.

作者信息

Leite João, Abreu Ana Carolina, Furtado Maria João, Lume Miguel

机构信息

Department of Ophthalmology, Centro Hospitalar Universitário de Santo António, Oporto, Portugal.

ICBAS - Instituto de Ciências Biomédicas Abel Salazar, Oporto, Portugal.

出版信息

Int Med Case Rep J. 2023 Jul 24;16:433-442. doi: 10.2147/IMCRJ.S408306. eCollection 2023.

DOI:10.2147/IMCRJ.S408306
PMID:37519404
原文链接:https://pmc.ncbi.nlm.nih.gov/articles/PMC10377553/
Abstract

BACKGROUND

Severe acute respiratory syndrome coronavirus 2 (SARS-CoV-2) disease was first reported in 2019 and was initially associated with respiratory pathology. With the improvement of knowledge about this disease, it was noticed that, among other symptoms, some patients presented visual acuity changes associated with retinal vascular changes, mainly associated with thrombotic phenomena. Later, with the development of vaccines against SARS-CoV-2 disease, cases of visual acuity alterations secondary to thrombotic phenomena were also reported.

CASE PRESENTATION

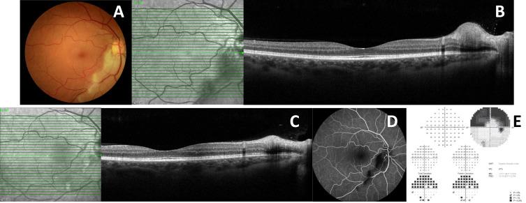
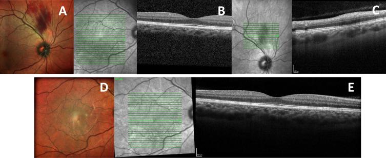
In this article, a series of clinical cases with retinal vascular alterations after COVID-19 infection and vaccination are described.

CONCLUSION

COVID-19 infection and vaccination increase the risk of retinal vascular events. The purpose of this article is to present a set of clinical cases with various manifestations of vascular changes in the retina associated with COVID-19 infection and COVID-19 vaccination observed in the Department of Ophthalmology of Centro Hospitalar Universitário de Santo António, in Porto, Portugal.

摘要

背景

严重急性呼吸综合征冠状病毒2(SARS-CoV-2)疾病于2019年首次报告,最初与呼吸道病理学相关。随着对该疾病认识的提高,人们注意到,在其他症状中,一些患者出现了与视网膜血管变化相关的视力变化,主要与血栓形成现象有关。后来,随着针对SARS-CoV-2疾病疫苗的研发,也报告了血栓形成现象继发的视力改变病例。

病例报告

本文描述了一系列新冠病毒感染和接种疫苗后出现视网膜血管改变的临床病例。

结论

新冠病毒感染和接种疫苗会增加视网膜血管事件的风险。本文的目的是展示一组在葡萄牙波尔图圣安东尼奥大学中心医院眼科观察到的与新冠病毒感染和新冠病毒疫苗接种相关的视网膜血管变化各种表现的临床病例。

https://cdn.ncbi.nlm.nih.gov/pmc/blobs/aa75/10377553/71ae81f558d5/IMCRJ-16-433-g0005.jpg
https://cdn.ncbi.nlm.nih.gov/pmc/blobs/aa75/10377553/18ecf7d3628d/IMCRJ-16-433-g0001.jpg
https://cdn.ncbi.nlm.nih.gov/pmc/blobs/aa75/10377553/bedcfe5e65f9/IMCRJ-16-433-g0002.jpg
https://cdn.ncbi.nlm.nih.gov/pmc/blobs/aa75/10377553/2e02c4bd777f/IMCRJ-16-433-g0003.jpg
https://cdn.ncbi.nlm.nih.gov/pmc/blobs/aa75/10377553/41473fa1346f/IMCRJ-16-433-g0004.jpg
https://cdn.ncbi.nlm.nih.gov/pmc/blobs/aa75/10377553/71ae81f558d5/IMCRJ-16-433-g0005.jpg
https://cdn.ncbi.nlm.nih.gov/pmc/blobs/aa75/10377553/18ecf7d3628d/IMCRJ-16-433-g0001.jpg
https://cdn.ncbi.nlm.nih.gov/pmc/blobs/aa75/10377553/bedcfe5e65f9/IMCRJ-16-433-g0002.jpg
https://cdn.ncbi.nlm.nih.gov/pmc/blobs/aa75/10377553/2e02c4bd777f/IMCRJ-16-433-g0003.jpg
https://cdn.ncbi.nlm.nih.gov/pmc/blobs/aa75/10377553/41473fa1346f/IMCRJ-16-433-g0004.jpg
https://cdn.ncbi.nlm.nih.gov/pmc/blobs/aa75/10377553/71ae81f558d5/IMCRJ-16-433-g0005.jpg

相似文献

1
Retinal Changes After COVID-19 Infection and COVID-19 Vaccination.新冠病毒感染及新冠疫苗接种后的视网膜变化
Int Med Case Rep J. 2023 Jul 24;16:433-442. doi: 10.2147/IMCRJ.S408306. eCollection 2023.
2
Retinal vascular occlusions in COVID-19 infection and vaccination: a literature review.COVID-19 感染和接种疫苗后的视网膜血管阻塞:文献综述。
Graefes Arch Clin Exp Ophthalmol. 2023 Jul;261(7):1793-1808. doi: 10.1007/s00417-022-05953-7. Epub 2023 Jan 4.
3
Retinal Vascular Events after mRNA and Adenoviral-Vectored COVID-19 Vaccines-A Case Series.mRNA和腺病毒载体新冠疫苗接种后的视网膜血管事件——病例系列
Vaccines (Basel). 2021 Nov 17;9(11):1349. doi: 10.3390/vaccines9111349.
4
Retinal manifestations in patients with SARS-CoV-2 infection and pathogenetic implications: a systematic review.新型冠状病毒感染患者的视网膜表现及发病机制意义:系统综述。
Int Ophthalmol. 2022 Jan;42(1):323-336. doi: 10.1007/s10792-021-01996-7. Epub 2021 Aug 11.
5
Retinal vascular occlusion in patients with the Covid-19 virus.感染新冠病毒患者的视网膜血管阻塞
Int J Retina Vitreous. 2022 Jun 23;8(1):45. doi: 10.1186/s40942-022-00371-7.
6
Retinal vascular occlusion and SARS-CoV-2 vaccination.视网膜血管阻塞与 SARS-CoV-2 疫苗接种。
Graefes Arch Clin Exp Ophthalmol. 2022 Nov;260(11):3455-3464. doi: 10.1007/s00417-022-05707-5. Epub 2022 May 25.
7
New-onset autoimmune phenomena post-COVID-19 vaccination.接种 COVID-19 疫苗后出现的新自身免疫现象。
Immunology. 2022 Apr;165(4):386-401. doi: 10.1111/imm.13443. Epub 2022 Jan 7.
8
[Vaccination Against COVID-19 in a Network of Hemodialysis Units in Portugal: A Promising Experience].[葡萄牙血液透析单位网络中的新冠疫苗接种:一次有前景的经验]
Acta Med Port. 2022 May 2;35(5):336-342. doi: 10.20344/amp.16250. Epub 2021 Nov 5.
9
The assesment of retina and optic disc vascular structures in people who received CoronaVac vaccine.评估接种科兴疫苗人群的视网膜和视盘血管结构。
Photodiagnosis Photodyn Ther. 2022 Jun;38:102742. doi: 10.1016/j.pdpdt.2022.102742. Epub 2022 Jan 31.
10
Vaccine-induced immune thrombotic thrombocytopenia after vaccination against Covid-19: A clinical dilemma for clinicians and patients.疫苗接种后 COVID-19 疫苗诱导的免疫性血栓性血小板减少症:临床医生和患者面临的临床难题。
Rev Med Virol. 2022 Mar;32(2):e2273. doi: 10.1002/rmv.2273. Epub 2021 Jul 1.

本文引用的文献

1
ACUTE MACULAR NEURORETINOPATHY FOLLOWING SARS-CoV-2 VACCINATION.接种 SARS-CoV-2 疫苗后发生急性黄斑神经视网膜病变。
Retin Cases Brief Rep. 2023 Jul 1;17(4):438-440. doi: 10.1097/ICB.0000000000001222.
2
Case Report: Retinal Vasculitis in Two Adolescents After COVID-19 Vaccination.病例报告:两名青少年接种 COVID-19 疫苗后发生视网膜血管炎。
Ocul Immunol Inflamm. 2023 Aug;31(6):1245-1249. doi: 10.1080/09273948.2022.2129694. Epub 2022 Oct 13.
3
Central retinal artery occlusion after vaccination with whole virion inactivated SARSCoV- 2 vaccine Covaxin.
接种全病毒灭活 SARS-CoV-2 疫苗 Covaxin 后发生视网膜中央动脉阻塞。
Indian J Ophthalmol. 2022 Oct;70(10):3716-3718. doi: 10.4103/ijo.IJO_1148_22.
4
PARACENTRAL ACUTE MIDDLE MACULOPATHY AFTER COVID-19: MULTIMODAL EVALUATION.新冠病毒感染后中央旁急性黄斑病变:多模态评估
Retin Cases Brief Rep. 2023 Nov 1;17(6):791-796. doi: 10.1097/ICB.0000000000001301.
5
Global impact of the first year of COVID-19 vaccination: a mathematical modelling study.全球首例 COVID-19 疫苗接种一年的影响:一项数学建模研究。
Lancet Infect Dis. 2022 Sep;22(9):1293-1302. doi: 10.1016/S1473-3099(22)00320-6. Epub 2022 Jun 23.
6
Retinal vascular occlusion in patients with the Covid-19 virus.感染新冠病毒患者的视网膜血管阻塞
Int J Retina Vitreous. 2022 Jun 23;8(1):45. doi: 10.1186/s40942-022-00371-7.
7
Branch Retinal Artery Occlusions, Paracentral Acute Middle Maculopathy and Acute Macular Neuroretinopathy After COVID-19 Vaccinations.新冠疫苗接种后出现的视网膜分支动脉阻塞、旁中心急性中黄斑病变和急性黄斑神经视网膜病变
Clin Ophthalmol. 2022 Mar 31;16:987-992. doi: 10.2147/OPTH.S357359. eCollection 2022.
8
Paracentral acute middle maculopathy and COVID-19 vaccination: Causation versus coincidence finding.中心旁急性黄斑中病变与新冠病毒疫苗接种:因果关系与偶合发现
Clin Case Rep. 2022 Mar 13;10(3):e05578. doi: 10.1002/ccr3.5578. eCollection 2022 Mar.
9
Hemi- and Central Retinal Vein Occlusion Associated with COVID-19 Infection in Young Patients without Known Risk Factors.无已知危险因素的年轻患者中与新冠病毒感染相关的半侧及中央视网膜静脉阻塞
Ophthalmol Retina. 2022 Jun;6(6):520-530. doi: 10.1016/j.oret.2022.02.004. Epub 2022 Mar 10.
10
Retinal hemorrhage of late post-COVID-19 and post-vaccine-related pathogenic mechanisms: A new challenge for ophthalmologist in COVID era.新冠疫情后期及疫苗接种后视网膜出血的致病机制:新冠疫情时代眼科医生面临的新挑战
Clin Case Rep. 2022 Feb 17;10(2):e05471. doi: 10.1002/ccr3.5471. eCollection 2022 Feb.