Suppr超能文献

腹腔镜胆囊切除术后胆管树创伤性神经瘤:一例报告及文献复习

Biliary tree traumatic neuroma following laparoscopic cholecystectomy: A case report and literature review.

作者信息

Kaka Ali Hemn H, Gharib Dana T, Hassan Marwan N, Abdullah Ari M, Ismaeil Deari A, Ghalib Hawramy Omar H, Ahmed Dlshad H, Hiwa Dilan S, Abdalla Berun A, Kakamad Fahmi H

机构信息

Department of Scientific Affairs, Smart Health Tower, Sulaimani, Kurdistan 46000, Iraq.

Kurdistan Center for Gastroenterology and Hepatology, Sulaimani, Kurdistan 46000, Iraq.

出版信息

Med Int (Lond). 2023 Jul 7;3(4):37. doi: 10.3892/mi.2023.97. eCollection 2023 Jul-Aug.

Abstract

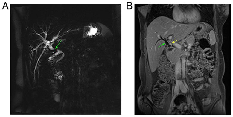
Laparoscopic cholecystectomy has been found to be associated with the development of traumatic neuromas on rare occasions. The present study reports a rare case of post-cholecystectomy biliary tree traumatic neuroma. Herein, a 47-year-old female with a history of laparoscopic cholecystectomy presented with upper abdominal pain and anorexia. Upon an examination, a yellow discoloration of the sclera was observed. Magnetic resonance cholangiopancreatography revealed a dilated proximal bile duct and mild dilatation of the intrahepatic biliary tree due to a stricture. Intraoperatively, a hard bile duct mass was observed with multiple enlarged lymph nodes in the peri-hepatic region. The patient was initially suspected to have bile duct cancer; however, a histopathological analysis of the resected mass revealed a bile duct traumatic neuroma. Biliary traumatic neuromas may be underestimated since they often remain asymptomatic. It is unfortunate that, as traumatic neuromas often lack distinguishing characteristics, no particular radiological findings for traumatic neuromas of the bile duct have been described to date, at least to the best of our knowledge. The rarity of this condition, combined with the absence of a standardized diagnostic modality, renders its diagnosis difficult and can even lead to misdiagnosis as biliary cancer.

摘要

腹腔镜胆囊切除术偶尔被发现与创伤性神经瘤的发生有关。本研究报告了一例罕见的胆囊切除术后胆管创伤性神经瘤病例。在此,一名有腹腔镜胆囊切除术病史的47岁女性出现上腹部疼痛和厌食。检查时,发现巩膜黄染。磁共振胰胆管造影显示近端胆管扩张,肝内胆管树因狭窄而轻度扩张。术中观察到胆管有一硬性肿物,肝周区域有多个肿大淋巴结。患者最初被怀疑患有胆管癌;然而,对切除肿物的组织病理学分析显示为胆管创伤性神经瘤。胆管创伤性神经瘤可能未得到充分重视,因为它们通常无症状。遗憾的是,由于创伤性神经瘤往往缺乏特征性表现,至少据我们所知,目前尚未描述胆管创伤性神经瘤的特定影像学表现。这种情况的罕见性,加上缺乏标准化的诊断方法,使得其诊断困难,甚至可能导致误诊为胆管癌。

https://cdn.ncbi.nlm.nih.gov/pmc/blobs/3005/10391593/4308fba41e6f/mi-03-04-00097-g00.jpg

文献检索

告别复杂PubMed语法,用中文像聊天一样搜索,搜遍4000万医学文献。AI智能推荐,让科研检索更轻松。

立即免费搜索

文件翻译

保留排版,准确专业,支持PDF/Word/PPT等文件格式,支持 12+语言互译。

免费翻译文档

深度研究

AI帮你快速写综述,25分钟生成高质量综述,智能提取关键信息,辅助科研写作。

立即免费体验