• 文献检索
  • 文档翻译
  • 深度研究
  • 学术资讯
  • Suppr Zotero 插件Zotero 插件
  • 邀请有礼
  • 套餐&价格
  • 历史记录
应用&插件
Suppr Zotero 插件Zotero 插件浏览器插件Mac 客户端Windows 客户端微信小程序
定价
高级版会员购买积分包购买API积分包
服务
文献检索文档翻译深度研究API 文档MCP 服务
关于我们
关于 Suppr公司介绍联系我们用户协议隐私条款
关注我们

Suppr 超能文献

核心技术专利:CN118964589B侵权必究
粤ICP备2023148730 号-1Suppr @ 2026

文献检索

告别复杂PubMed语法,用中文像聊天一样搜索,搜遍4000万医学文献。AI智能推荐,让科研检索更轻松。

立即免费搜索

文件翻译

保留排版,准确专业,支持PDF/Word/PPT等文件格式,支持 12+语言互译。

免费翻译文档

深度研究

AI帮你快速写综述,25分钟生成高质量综述,智能提取关键信息,辅助科研写作。

立即免费体验

罗萨达-多夫曼病的脑部表现和诊断困境。

Cerebral manifestation and diagnostic dilemma of Rosai-Dorfman disease.

机构信息

Department of Pathology, Albert Szent-Györgyi Medical Centre, University of Szeged, Szeged, 6725, Hungary.

出版信息

CNS Oncol. 2023 Dec 1;12(4):CNS103. doi: 10.2217/cns-2023-0006. Epub 2023 Aug 8.

DOI:10.2217/cns-2023-0006
PMID:37551608
原文链接:https://pmc.ncbi.nlm.nih.gov/articles/PMC10701702/
Abstract

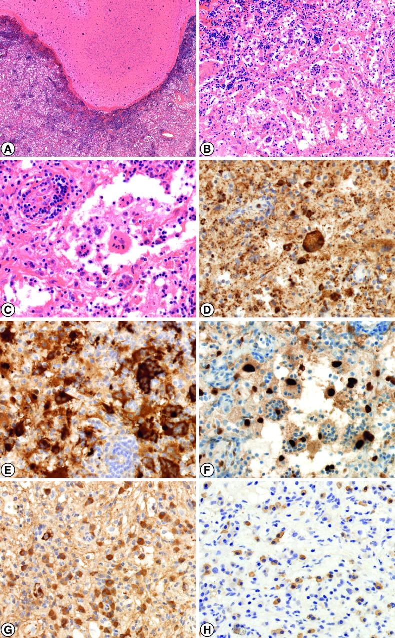
Rosai-Dorfman disease (RDD) is a rare, S100-positive histiocytic proliferation, that can cause both nodal and extranodal illness. We present a case of a 53-year-old male patient. Magnetic resonance imaging described a plaque-like meningeal lesion, and the preoperative diagnosis was meningioma. Histologically, dense infiltration of lymphocytes, plasma cells, and histiocytes was seen, furthermore, the presence of emperipolesis in the sample was pronounced. In the histiocytes nuclear and cytoplasmic positivity with S100 protein, and nuclear positivity with Cyclin D1 was observed. The case was concluded as RDD. Morphological appearance of intracranial RDD with imaging procedures can present a differential diagnostic challenge. The correct diagnosis is based on the presence of histiocytes with emperipolesis, and properly defined immunohistochemical characteristics.

摘要

罗-道氏病(RDD)是一种罕见的 S100 阳性组织细胞增生症,可引起结内和结外疾病。我们报告一例 53 岁男性患者。磁共振成像描述了一种斑块样脑膜病变,术前诊断为脑膜瘤。组织学上,可见淋巴细胞、浆细胞和组织细胞密集浸润,此外,标本中存在明显的胞饮现象。在组织细胞中观察到 S100 蛋白核和细胞质阳性,以及 Cyclin D1 核阳性。该病例被诊断为 RDD。颅内 RDD 的形态学表现与影像学检查可能会带来鉴别诊断的挑战。正确的诊断基于存在具有胞饮现象的组织细胞,以及适当定义的免疫组织化学特征。

https://cdn.ncbi.nlm.nih.gov/pmc/blobs/b3df/10701702/0b95cf7aab94/cns-12-103-g1.jpg
https://cdn.ncbi.nlm.nih.gov/pmc/blobs/b3df/10701702/0b95cf7aab94/cns-12-103-g1.jpg
https://cdn.ncbi.nlm.nih.gov/pmc/blobs/b3df/10701702/0b95cf7aab94/cns-12-103-g1.jpg

相似文献

1
Cerebral manifestation and diagnostic dilemma of Rosai-Dorfman disease.罗萨达-多夫曼病的脑部表现和诊断困境。
CNS Oncol. 2023 Dec 1;12(4):CNS103. doi: 10.2217/cns-2023-0006. Epub 2023 Aug 8.
2
Isolated intracranial rosai-dorfman disease involving the meninges: report of a rare case.孤立性颅内Rosai-Dorfman病累及脑膜:1例罕见病例报告
Turk Neurosurg. 2015;25(1):186-9. doi: 10.5137/1019-5149.JTN.10051-13.0.
3
Dural-based Rosai-Dorfman disease: differential diagnostic considerations.基于硬脑膜的罗萨伊-多夫曼病:鉴别诊断要点
J Clin Neurosci. 2014 Nov;21(11):1872-3. doi: 10.1016/j.jocn.2014.07.011. Epub 2014 Sep 30.
4
Meningeal Rosai-Dorfman disease mimicking meningioma.脑膜 Rosai-Dorfman 病酷似脑膜瘤。
Ann Hematol. 2014 Jun;93(6):937-40. doi: 10.1007/s00277-013-1994-8. Epub 2013 Dec 24.
5
Isolated intracranial Rosai-Dorfman disease: report of two cases and a review of the literature.孤立性颅内罗萨伊-多夫曼病:两例报告并文献复习
Turk Neurosurg. 2013;23(4):509-13. doi: 10.5137/1019-5149.JTN.4275-11.2.
6
Strong Coexpression of Transcription Factors PU.1 and Oct-2 in Rosai-Dorfman Disease.转录因子PU.1和Oct-2在罗萨伊-多夫曼病中的强共表达
Am J Clin Pathol. 2022 Dec 1;158(6):672-677. doi: 10.1093/ajcp/aqac119.
7
Fine-needle aspiration specimens of 3 cases of intra-abdominal Rosai-Dorfman disease with comprehensive review of the literature.3例腹腔内罗萨伊-多夫曼病的细针穿刺标本及文献综述
J Am Soc Cytopathol. 2019 Jul-Aug;8(4):190-205. doi: 10.1016/j.jasc.2019.01.008. Epub 2019 Feb 5.
8
Craniocervical Rosai-Dorfman Disease Involving the Vertebral Artery: Case Report and Literature Review.颅颈交界区 Rosai-Dorfman 病累及椎动脉:病例报告及文献复习。
World Neurosurg. 2020 Jan;133:69-73. doi: 10.1016/j.wneu.2019.09.072. Epub 2019 Sep 21.
9
Extranodal Rosai-Dorfman Disease: Clinicopathologic Series of 10 Patients With Radiologic Correlation and Review of the Literature.结外Rosai-Dorfman病:10例患者的临床病理系列研究及影像学相关性分析并文献复习
Am J Clin Pathol. 2016 Feb;145(2):211-21. doi: 10.1093/ajcp/aqv029. Epub 2016 Jan 23.
10
Sphenoid wing lymphoplasmacyte-rich meningioma with occasional emperipolesis closely simulating an intracranial Rosai-Dorfman disease: a diagnostic dilemma.蝶骨嵴富含淋巴细胞浆细胞的脑膜瘤伴偶尔的血细胞吞噬现象,酷似颅内Rosai-Dorfman病:诊断难题。
Clin Neuropathol. 2013 Mar-Apr;32(2):122-7. doi: 10.5414/NP300517.

本文引用的文献

1
Rosai-Dorfman disease. .罗萨伊-多夫曼病
Pathologica. 2021 Oct;113(5):388-395. doi: 10.32074/1591-951X-548.
2
Extranodal Rosai-Dorfman Disease: Clinicopathologic Series of 10 Patients With Radiologic Correlation and Review of the Literature.结外Rosai-Dorfman病:10例患者的临床病理系列研究及影像学相关性分析并文献复习
Am J Clin Pathol. 2016 Feb;145(2):211-21. doi: 10.1093/ajcp/aqv029. Epub 2016 Jan 23.
3
Rosai-Dorfman disease: tumor biology, clinical features, pathology, and treatment.罗萨伊-多夫曼病:肿瘤生物学、临床特征、病理学及治疗
Cancer Control. 2014 Oct;21(4):322-7. doi: 10.1177/107327481402100408.
4
A subset of Rosai-Dorfman disease cases show increased IgG4-positive plasma cells: another red herring or a true association with IgG4-related disease?一小部分罗萨伊-多夫曼病病例显示IgG4阳性浆细胞增多:这是另一个干扰因素还是与IgG4相关疾病的真正关联?
Histopathology. 2014 Feb;64(3):455-9. doi: 10.1111/his.12274. Epub 2013 Nov 12.
5
Intracranial Rosai Dorfman Disease: report of three cases and literature review.颅内罗萨伊-多尔夫曼病:三例报告及文献复习
Asian J Neurosurg. 2010 Jul;5(2):19-30.
6
Cutaneous Rosai-Dorfman disease: comprehensive review of cases reported in the medical literature since 1990 and presentation of an illustrative case.皮肤型罗萨伊-多夫曼病:1990年以来医学文献报道病例的综合回顾及1例典型病例展示
J Cutan Med Surg. 2006 Nov-Dec;10(6):281-90. doi: 10.2310/7750.2006.00067.