• 文献检索
  • 文档翻译
  • 深度研究
  • 学术资讯
  • Suppr Zotero 插件Zotero 插件
  • 邀请有礼
  • 套餐&价格
  • 历史记录
应用&插件
Suppr Zotero 插件Zotero 插件浏览器插件Mac 客户端Windows 客户端微信小程序
定价
高级版会员购买积分包购买API积分包
服务
文献检索文档翻译深度研究API 文档MCP 服务
关于我们
关于 Suppr公司介绍联系我们用户协议隐私条款
关注我们

Suppr 超能文献

核心技术专利:CN118964589B侵权必究
粤ICP备2023148730 号-1Suppr @ 2026

文献检索

告别复杂PubMed语法,用中文像聊天一样搜索,搜遍4000万医学文献。AI智能推荐,让科研检索更轻松。

立即免费搜索

文件翻译

保留排版,准确专业,支持PDF/Word/PPT等文件格式,支持 12+语言互译。

免费翻译文档

深度研究

AI帮你快速写综述,25分钟生成高质量综述,智能提取关键信息,辅助科研写作。

立即免费体验

软组织来源的骨外间叶性软骨肉瘤:罕见病例报告。

Extraskeletal mesenchymal chondrosarcoma arising from soft tissues: A rare case report.

机构信息

Radiology Department of Iran University of Medical Sciences (IUMS), Tehran, Iran.

Firoozabadi Clinical Research Development Unit (FACRDU), Iran University of Medical Sciences (IUMS), Tehran, Iran.

出版信息

Cancer Rep (Hoboken). 2023 Oct;6(10):e1883. doi: 10.1002/cnr2.1883. Epub 2023 Aug 9.

DOI:10.1002/cnr2.1883
PMID:37559178
原文链接:https://pmc.ncbi.nlm.nih.gov/articles/PMC10598256/
Abstract

BACKGROUND

Chondrosarcomas are an exceedingly rare form of cancer, impacting only a few individuals per million. Among chondrosarcomas, a small fraction belongs to the mesenchymal sub-type. Furthermore, only one-third of mesenchymal chondrosarcomas manifest in extraskeletal locations.

CASE

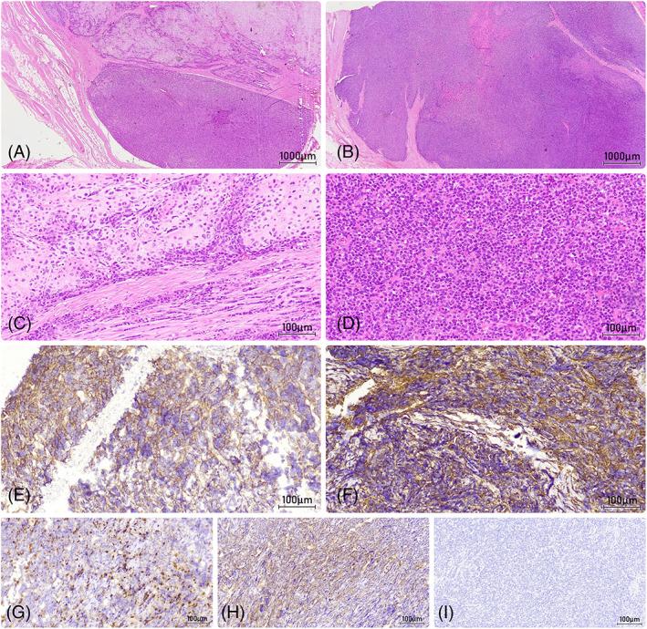
A 38-year-old woman was referred by a midwife after experiencing pain in the right upper quadrant of her right breast for 2 months. The mass had been palpable for 1 week before the initial assessment. According to radiological evaluations, the tumor is outside breast tissue and not connected to the bones. Hence, a biopsy of the mass is done. The biphasic morphology of the tumor during pathological evaluation, in addition to immunohistochemistry testing, confirms the diagnosis of extraskeletal mesenchymal chondrosarcoma (EMCS). Finally, the mass was surgically removed, and 6 months of chemotherapy were administered to the patient.

CONCLUSION

Given the tumor's rarity and the lack of established guidelines, diagnosing EMCS can be challenging and prone to errors. As such, meticulous sampling, along with precise pathological and imaging investigations, is imperative to accurately establish the diagnosis of these tumors.

摘要

背景

软骨肉瘤是一种极其罕见的癌症,每百万人中只有少数几个人会受到影响。在软骨肉瘤中,一小部分属于间充质亚型。此外,只有三分之一的间充质软骨肉瘤出现在骨骼外部位。

病例

一位 38 岁的女性因右乳房右上象限疼痛 2 个月,由助产士转介。肿块在首次评估前 1 周可触及。根据影像学评估,肿瘤位于乳腺组织外,与骨骼无关。因此,对肿块进行了活检。病理评估时肿瘤的双相形态,加上免疫组织化学检测,证实了 extraskeletal 间充质软骨肉瘤(EMCS)的诊断。最后,对肿块进行了手术切除,并对患者进行了 6 个月的化疗。

结论

鉴于肿瘤的罕见性和缺乏既定的指南,诊断 EMCS 可能具有挑战性且容易出错。因此,精细的取样,以及精确的病理和影像学检查,对于准确诊断这些肿瘤至关重要。

https://cdn.ncbi.nlm.nih.gov/pmc/blobs/ff5b/10598256/445e517d1c6e/CNR2-6-e1883-g003.jpg
https://cdn.ncbi.nlm.nih.gov/pmc/blobs/ff5b/10598256/0e04d0a38d3f/CNR2-6-e1883-g001.jpg
https://cdn.ncbi.nlm.nih.gov/pmc/blobs/ff5b/10598256/6b44be8979a5/CNR2-6-e1883-g002.jpg
https://cdn.ncbi.nlm.nih.gov/pmc/blobs/ff5b/10598256/445e517d1c6e/CNR2-6-e1883-g003.jpg
https://cdn.ncbi.nlm.nih.gov/pmc/blobs/ff5b/10598256/0e04d0a38d3f/CNR2-6-e1883-g001.jpg
https://cdn.ncbi.nlm.nih.gov/pmc/blobs/ff5b/10598256/6b44be8979a5/CNR2-6-e1883-g002.jpg
https://cdn.ncbi.nlm.nih.gov/pmc/blobs/ff5b/10598256/445e517d1c6e/CNR2-6-e1883-g003.jpg

相似文献

1
Extraskeletal mesenchymal chondrosarcoma arising from soft tissues: A rare case report.软组织来源的骨外间叶性软骨肉瘤:罕见病例报告。
Cancer Rep (Hoboken). 2023 Oct;6(10):e1883. doi: 10.1002/cnr2.1883. Epub 2023 Aug 9.
2
Mesenchymal chondrosarcoma of the chest wall in an adolescent patient: A case report and brief review of the literature.青少年患者胸壁间叶性软骨肉瘤 1 例报告并文献复习
Cancer Rep (Hoboken). 2022 Jan;5(1):e1453. doi: 10.1002/cnr2.1453. Epub 2021 Jun 16.
3
Extraskeletal mesenchymal chondrosarcoma: case report.骨外间叶性软骨肉瘤:病例报告
Clin Imaging. 2003 May-Jun;27(3):187-90. doi: 10.1016/s0899-7071(02)00538-7.
4
Extraskeletal mesenchymal chondrosarcoma of the forearm: a case report.前臂骨外间叶性软骨肉瘤:一例报告
J Hand Surg Am. 2007 Mar;32(3):389-92. doi: 10.1016/j.jhsa.2007.01.003.
5
[Intracranial extraskeletal mesenchymal chondrosarcoma arising from falx: a case report and literature review].[源于大脑镰的颅内骨外间叶性软骨肉瘤:1例报告及文献复习]
No Shinkei Geka. 2010 May;38(5):441-8.
6
Radiological features and pathology of extraskeletal mesenchymal chondrosarcoma.骨外间叶性软骨肉瘤的放射学特征和病理学。
Clin Imaging. 2012 Jul-Aug;36(4):365-70. doi: 10.1016/j.clinimag.2011.11.001. Epub 2012 Jun 8.
7
Extraskeletal myxoid chondrosarcoma of the chest wall masquerading as a breast tumor. A case report.伪装成乳腺肿瘤的胸壁骨外黏液样软骨肉瘤。病例报告。
Acta Cytol. 2002 Mar-Apr;46(2):417-21. doi: 10.1159/000326743.
8
Primary intraspinal mesenchymal chondrosarcoma: a case report and literature review.原发性脊髓内间叶性软骨肉瘤:一例报告及文献复习
Chang Gung Med J. 2003 May;26(5):370-6.
9
Extraskeletal mesenchymal chondrosarcoma of the rectus sheath.腹直肌鞘的骨外间叶性软骨肉瘤
Skeletal Radiol. 1997 Aug;26(8):501-4. doi: 10.1007/s002560050274.
10
Diagnostic pitfall in the diagnosis of mesenchymal chondrosarcoma arising in the central nervous system.中枢神经系统中发生的间叶性软骨肉瘤的诊断陷阱。
Neuropathology. 2012 Feb;32(1):82-90. doi: 10.1111/j.1440-1789.2011.01224.x. Epub 2011 May 25.

引用本文的文献

1
Esoteric Diagnostic Considerations for Small Round Cell Tumors in Biopsy Specimens With Extensive Negative Immunohistochemical Profiles: Utilizing Subtle Histopathological Features Prior to Molecular Testing.活检标本中具有广泛阴性免疫组化特征的小圆形细胞肿瘤的深奥诊断考量:在分子检测之前利用细微的组织病理学特征
Case Rep Oncol Med. 2025 Aug 4;2025:5186729. doi: 10.1155/crom/5186729. eCollection 2025.
2
Mesenchymal Chondrosarcoma of the Mandible: A Diagnostic Dilemma.下颌骨间叶性软骨肉瘤:诊断难题
Cureus. 2025 May 30;17(5):e85079. doi: 10.7759/cureus.85079. eCollection 2025 May.

本文引用的文献

1
Mesenchymal chondrosarcoma: imaging features and clinical findings.间叶性软骨肉瘤:影像学表现与临床特征。
Skeletal Radiol. 2021 Feb;50(2):333-341. doi: 10.1007/s00256-020-03558-x. Epub 2020 Jul 30.
2
Ultrasound for Breast Cancer Detection Globally: A Systematic Review and Meta-Analysis.全球乳腺癌检测的超声检查:系统评价与荟萃分析
J Glob Oncol. 2019 Aug;5:1-17. doi: 10.1200/JGO.19.00127.
3
Chondrosarcoma: biology, genetics, and epigenetics.软骨肉瘤:生物学、遗传学与表观遗传学
F1000Res. 2018 Nov 20;7. doi: 10.12688/f1000research.15953.1. eCollection 2018.
4
Extraskeletal Mesenchymal Chondrosarcoma.骨外间叶性软骨肉瘤。
Arch Pathol Lab Med. 2018 Nov;142(11):1421-1424. doi: 10.5858/arpa.2017-0109-RS.
5
Soft tissue and visceral sarcomas: ESMO-EURACAN Clinical Practice Guidelines for diagnosis, treatment and follow-up.软组织和内脏肉瘤:ESMO-EURACAN诊断、治疗及随访临床实践指南
Ann Oncol. 2018 Oct 1;29(Suppl 4):iv51-iv67. doi: 10.1093/annonc/mdy096.
6
Mesenchymal chondrosarcomas showing immunohistochemical evidence of rhabdomyoblastic differentiation: a potential diagnostic pitfall.具有横纹肌母细胞分化免疫组织化学证据的间叶性软骨肉瘤:一个潜在的诊断陷阱。
Hum Pathol. 2018 Jul;77:28-34. doi: 10.1016/j.humpath.2018.03.012. Epub 2018 Mar 17.
7
Clinical outcomes for patients after surgery and radiation therapy for mesenchymal chondrosarcomas.间叶性软骨肉瘤患者手术及放疗后的临床结局。
J Surg Oncol. 2016 Dec;114(8):982-986. doi: 10.1002/jso.24435. Epub 2016 Oct 28.
8
Survival in Mesenchymal Chondrosarcoma Varies Based on Age and Tumor Location: A Survival Analysis of the SEER Database.间叶性软骨肉瘤的生存率因年龄和肿瘤位置而异:基于监测、流行病学和最终结果(SEER)数据库的生存分析
Clin Orthop Relat Res. 2017 Mar;475(3):799-805. doi: 10.1007/s11999-016-4779-2.
9
Mesenchymal chondrosarcoma of bone and soft tissue: a systematic review of 107 patients in the past 20 years.骨与软组织间叶性软骨肉瘤:对过去20年107例患者的系统评价
PLoS One. 2015 Apr 7;10(4):e0122216. doi: 10.1371/journal.pone.0122216. eCollection 2015.
10
Screening breast ultrasound: past, present, and future.乳腺超声筛查:过去、现在与未来。
AJR Am J Roentgenol. 2015 Feb;204(2):234-40. doi: 10.2214/AJR.13.12072.