Suppr超能文献

在一项II期临床试验中,对接受伏立诺他治疗的ACC患者进行肿瘤体积和密度分析的初步研究。

A pilot study of volumetric and density tumor analysis of ACC patients treated with vorinostat in a phase II clinical trial.

作者信息

Malarkey Molly, Toscano Alex P, Bagheri Mohammad Hadi, Solomon Jeffrey, Machado Laura B, LoRusso Patricia, Chen Alice, Folio Les R, Goncalves Priscila H

机构信息

National Institutes of Health, 10 Center Drive, Building 10, Room 1C 340, Bethesda, MD, 20892, USA.

Radiology and Imaging Sciences Clinical Center, National Institutes of Health, 10 Center Drive, Bldg. 10, Room 1C342, Bethesda, MD, 20892, USA.

出版信息

Heliyon. 2023 Jul 31;9(8):e18680. doi: 10.1016/j.heliyon.2023.e18680. eCollection 2023 Aug.

Abstract

RATIONALE AND OBJECTIVES

Adenoid cystic carcinoma (ACC) is a rare salivary gland cancer. The vast majority of clinical trials evaluating systemic therapy efficacy in solid tumors use the Response Evaluation Criteria in Solid Tumors (RECIST) to measure response that is limited to 2 dimensional only evaluations, not taking volume or density into account. The indolent behavior ACC represents a challenge toward an appropriate evaluation of therapy response. Objectives: 1) To describe and contrast volumetric and density changes at each time-point, including changes noted from baseline to best response, to currently used 2 dimensional-only criteria (RECIST) and 2) To report the coefficient of variation in volume measurement among three reviewers on a subset of ACC patients.

MATERIALS AND METHODS

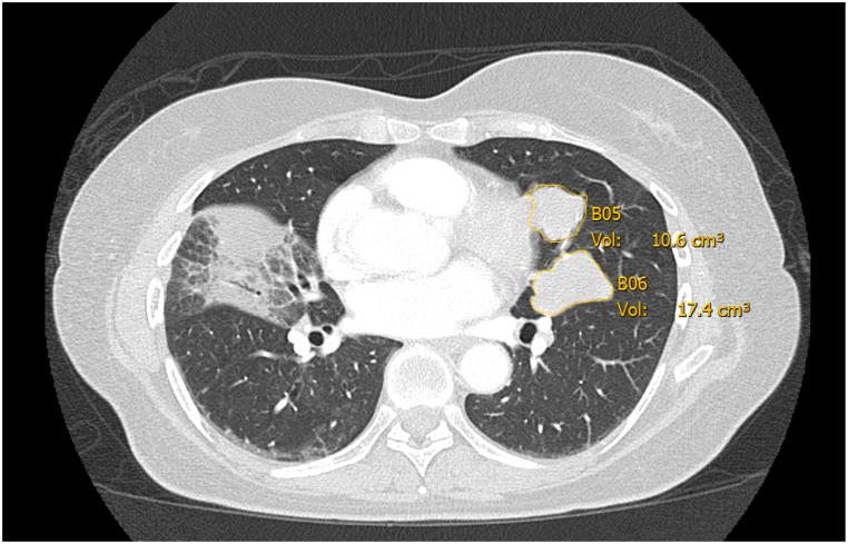
We retrospectively assessed a cohort of 18 prospectively treated patients with ACC in a phase 2 trial with vorinostat using a volumetric (viable tumor volume, VTV) and density criteria. Three independent and blinded observers segmented target lesions across a sample of randomly selected computed tomography (CT) exams to examine inter-observer variation.

RESULTS

We found that the average coefficient of variation among observers for all target lesions was 16.1%, with lung lesions displaying a smaller variation at 14.0% (p-value >0.17). We describe examples of decrease in volume and density in several lesions despite stable disease by RECIST.

CONCLUSION

This pilot study demonstrates that two-dimensional criteria such as RECIST may not be the best criteria to assess response to therapy, especially with evolving tools within picture archiving and communication system (PACS) that can assess volumetric size, density and texture, however, this should be prospectively studied.

摘要

原理与目的

腺样囊性癌(ACC)是一种罕见的唾液腺癌。绝大多数评估实体瘤全身治疗疗效的临床试验使用实体瘤疗效评价标准(RECIST)来衡量反应,该标准仅限于二维评估,未考虑体积或密度。ACC的惰性行为对治疗反应的恰当评估构成挑战。目的:1)描述并对比每个时间点的体积和密度变化,包括从基线到最佳反应的变化,与目前仅使用的二维标准(RECIST)进行对比;2)报告在一部分ACC患者中,三位评估者对体积测量的变异系数。

材料与方法

我们回顾性评估了一项在2期试验中使用伏立诺他对18例前瞻性治疗的ACC患者的队列,采用体积(存活肿瘤体积,VTV)和密度标准。三位独立且不知情的观察者在随机选择的计算机断层扫描(CT)检查样本中对靶病变进行分割,以检查观察者间的差异。

结果

我们发现,所有靶病变观察者间的平均变异系数为16.1%,肺部病变的变异较小,为14.0%(p值>0.17)。我们描述了几个病变尽管按RECIST标准疾病稳定,但体积和密度却减小的例子。

结论

这项初步研究表明,像RECIST这样的二维标准可能不是评估治疗反应的最佳标准,尤其是随着图像存档与通信系统(PACS)中能够评估体积大小、密度和纹理的不断发展的工具出现,但这一点应进行前瞻性研究。

https://cdn.ncbi.nlm.nih.gov/pmc/blobs/69d7/10428039/b24653c6bb0b/gr1.jpg

文献检索

告别复杂PubMed语法,用中文像聊天一样搜索,搜遍4000万医学文献。AI智能推荐,让科研检索更轻松。

立即免费搜索

文件翻译

保留排版,准确专业,支持PDF/Word/PPT等文件格式,支持 12+语言互译。

免费翻译文档

深度研究

AI帮你快速写综述,25分钟生成高质量综述,智能提取关键信息,辅助科研写作。

立即免费体验