Suppr超能文献

目标病变测量中的观察者内和观察者间变异性:根据 RECIST 1.1 评估反应的影响。

Intra- and inter-observer variability in measurement of target lesions: implication on response evaluation according to RECIST 1.1.

机构信息

Department of Radiology, Technische Universität München; Munich, Germany.

出版信息

Radiol Oncol. 2012 Mar;46(1):8-18. doi: 10.2478/v10019-012-0009-z. Epub 2012 Jan 2.

Abstract

BACKGROUND

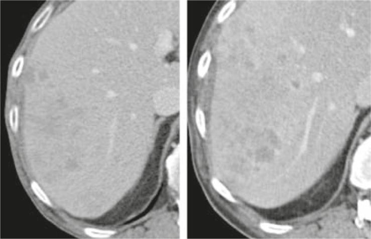
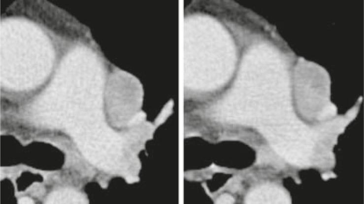
The assessment of cancer treatment in oncological clinical trials is usually based on serial measurements of tumours' size according to the Response Evaluation Criteria in Solid Tumours (RECIST) guidelines. The aim of our study was to evaluate the variability of measurements of target lesions by readers as well as the impact on response evaluation, workflow and reporting.

PATIENTS AND METHODS

Twenty oncologic patients were included to the study with CT examinations from thorax to pelvis performed at a 64 slices CT scanner. Four readers defined and measured the size of target lesions independently at baseline and follow-up with PACS (Picture Archiving and Communication System) and LMS (Lesion Management Solutions, Median technologies, Valbonne Sophia Antipolis, France), according to the RECIST 1.1 criteria. Variability in measurements using PACS or LMS software was established with the Bland and Altman approach. The inter- and intra-observer variabilities were calculated for identical lesions and the overall response per case was determined. In addition, time required for evaluation and reporting in each case was recorded.

RESULTS

For single lesions, the median intra-observer variability ranged from 4.9-9.6% (mean 5.9%) and the median inter-observer variability from 4.3-11.4% (mean 7.1%), respecting different evaluation time points, image systems and observers. Nevertheless, the variability in change of Δ sum longest diameter (LD), mandatory for classification of the overall response, was 24%. The overall response evaluation assessed by a single respectively different observer was discrepant in 6.3% respectively 12% of the cases compared with the mean results of multiple observers. The mean case evaluation time was 286s vs. 228s at baseline and 267s vs. 196s at follow-up for PACS and LMS, respectively.

CONCLUSIONS

Uni-dimensional measurements of target lesions show low intra- and inter-observer variabilities, but the high variability in change of Δ sum LD shows the potential for misclassification of the overall response according to the RECIST 1.1 guidelines. Nevertheless, the reproducibility of RECIST reporting can be improved for the case assessment by a single observer and by mean results of multiple observers. Case-based evaluation time was shortened up to 27% using custom software.

摘要

背景

肿瘤临床研究中癌症治疗的评估通常基于根据实体瘤反应评估标准(RECIST)指南对肿瘤大小进行的连续测量。我们研究的目的是评估读者对目标病变测量的变异性及其对反应评估、工作流程和报告的影响。

患者和方法

本研究纳入 20 名肿瘤患者,在 64 层 CT 扫描仪上进行胸部至骨盆的 CT 检查。四位读者使用 PACS(影像归档和通信系统)和 LMS(病灶管理解决方案,中位数技术,法国瓦尔布勒索菲亚安提波利斯)独立定义和测量基线和随访时的目标病变大小,根据 RECIST 1.1 标准。使用 Bland 和 Altman 方法确定 PACS 或 LMS 软件测量中的变异性。计算相同病变的观察者内和观察者间变异性,并确定每个病例的总体反应。此外,还记录了每个病例评估和报告所需的时间。

结果

对于单个病变,观察者内变异性中位数范围为 4.9-9.6%(平均 5.9%),观察者间变异性中位数范围为 4.3-11.4%(平均 7.1%),考虑到不同的评估时间点、影像系统和观察者。然而,对于分类总体反应必需的Δ总和最长直径(LD)的变化的变异性为 24%。与多位观察者的平均结果相比,单个观察者或不同观察者评估的总体反应评估结果不一致的病例分别占 6.3%和 12%。使用 PACS 和 LMS 的平均病例评估时间分别为 286s 与 228s(基线)和 267s 与 196s(随访)。

结论

目标病变的一维测量显示出低的观察者内和观察者间变异性,但Δ总和 LD 的变化的高变异性显示出根据 RECIST 1.1 指南对总体反应进行分类的潜在错误。然而,通过单个观察者和多位观察者的平均值可以提高 RECIST 报告的可重复性。使用定制软件,病例评估时间缩短了 27%。

https://cdn.ncbi.nlm.nih.gov/pmc/blobs/be48/3423763/632b8fceb7f7/rado-46-01-08f1.jpg

文献检索

告别复杂PubMed语法,用中文像聊天一样搜索,搜遍4000万医学文献。AI智能推荐,让科研检索更轻松。

立即免费搜索

文件翻译

保留排版,准确专业,支持PDF/Word/PPT等文件格式,支持 12+语言互译。

免费翻译文档

深度研究

AI帮你快速写综述,25分钟生成高质量综述,智能提取关键信息,辅助科研写作。

立即免费体验