Suppr超能文献

病例报告:一只患有埃勒斯-当洛综合征的犬的寰枢椎不稳和半脱位。

Case report: Atlantoaxial instability and subluxation in a dog with Ehlers-Danlos syndrome.

作者信息

Choi Simon, Sullivan Louise, Long Sam

机构信息

Department of Neurology and Neurosurgery, Veterinary Referral Hospital, Dandenong, VIC, Australia.

Department of Veterinary Pathology, Queensland Medical Laboratory, Murarrie, QLD, Australia.

出版信息

Front Vet Sci. 2023 Aug 4;10:1234995. doi: 10.3389/fvets.2023.1234995. eCollection 2023.

Abstract

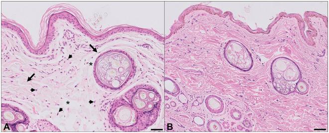
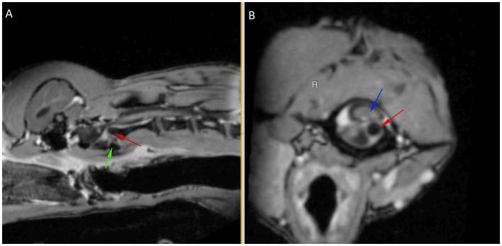
Ehlers-Danlos syndrome is a rare, heritable connective tissue disorder characterized by soft, hyperextensible skin, joint hypermobility, and tissue fragility, the severity of which can range from mild to severe. A 9-month-old male entire miniature Dachshund was presented following peracute tetraparesis. Neurological examination was suggestive of intracranial vestibular disease or high cervical myelopathy. MRI revealed atlantoaxial instability and subluxation, resulting in marked spinal cord compression at C1-C2, which was surgically stabilized. On discharge from the hospital, skin fragility was noted as the result of skin tearing during tape removal. A piece of full-thickness antebrachial skin was submitted for histopathology which showed changes consistent with Ehlers-Danlos syndrome. This case report describes the first case of atlantoaxial instability and subluxation in a dog as the result of a confirmed underlying collagenopathy.

摘要

埃勒斯-当洛综合征是一种罕见的遗传性结缔组织疾病,其特征为皮肤柔软、过度伸展,关节活动过度,以及组织脆弱,其严重程度可从轻度到重度。一只9个月大的雄性纯种迷你腊肠犬因急性四肢轻瘫前来就诊。神经学检查提示颅内前庭疾病或高位颈髓病。磁共振成像显示寰枢椎不稳和半脱位,导致C1-C2水平脊髓明显受压,遂进行手术固定。出院时,发现因去除胶带时皮肤撕裂而出现皮肤脆弱。取一块全层前臂皮肤进行组织病理学检查,结果显示与埃勒斯-当洛综合征相符的变化。本病例报告描述了首例因确诊潜在的胶原病导致犬寰枢椎不稳和半脱位的病例。

https://cdn.ncbi.nlm.nih.gov/pmc/blobs/a0f5/10436340/d72fbc1a011b/fvets-10-1234995-g0001.jpg

文献AI研究员

20分钟写一篇综述,助力文献阅读效率提升50倍。

立即体验

用中文搜PubMed

大模型驱动的PubMed中文搜索引擎

马上搜索

文档翻译

学术文献翻译模型,支持多种主流文档格式。

立即体验