Suppr超能文献

喉膨出:两例罕见病例报告及文献综述

Laryngocele: Report of two rare cases and review of the literature.

作者信息

Zhang Jin, Ma Xu, Li Xiaoyu, Song Panpan, Wu Yungang

机构信息

Clinical Medical College of Jining Medical University, Jining, Shandong 272067, P.R. China.

Department of Otolaryngology-Head and Neck Surgery, Affiliated Hospital of Jining Medical University, Jining, Shandong 272007, P.R. China.

出版信息

Exp Ther Med. 2023 Jul 17;26(3):424. doi: 10.3892/etm.2023.12123. eCollection 2023 Sep.

Abstract

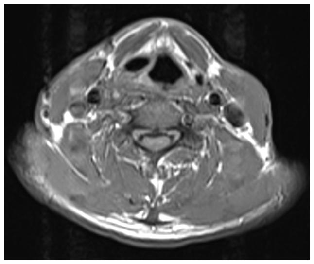
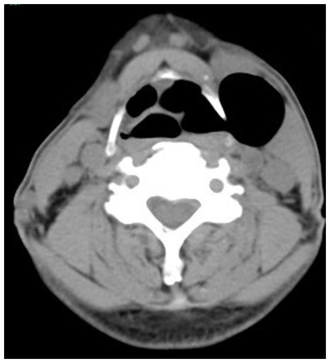
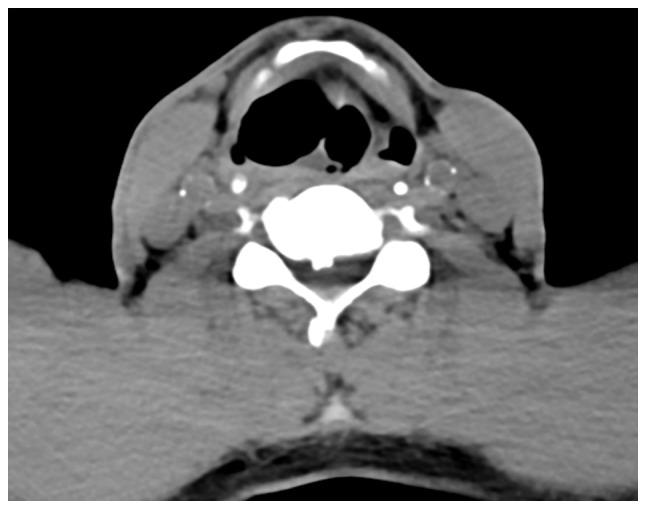
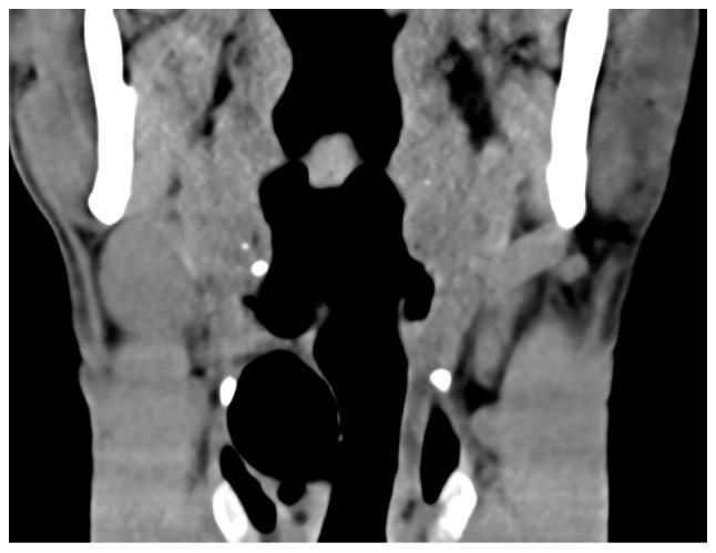
Laryngocele is a rare clinical condition characterized by an abnormal dilation of the laryngeal saccule. The present study focused on two separate cases of diagnosed patients. The first patient suffered from internal laryngocele and complained of hoarseness for almost 1 year. Plasma was used to treat the internal laryngocele and the outcomes were satisfying. The patient did not undergo any tracheostomy due to previous endoscopic surgery. The second patient included in the present study was diagnosed with mixed laryngocele and complained of swelling on the left side of the upper aspect of the neck with considerable pain for >1 month. The patient was prepped for excision by an external transcervical technique under general anesthesia. None of the two patients had any recurrence or other changes during follow-up. The purpose of reporting these two cases of laryngocele was to increase awareness of this condition. Surgery is still the first-line treatment for diagnosed cases, but with the advent of new microscopic techniques, the use of plasma in an inter-pharynx setting has become more common. The results observed after using plasma to treat one internal laryngocele may be relevant to better understanding the application of this method and confirm that it may be a new suitable approach to treat this condition.

摘要

喉膨出是一种罕见的临床病症,其特征为喉囊异常扩张。本研究聚焦于两例确诊患者。首例患者患有内喉膨出,主诉声音嘶哑近1年。采用等离子体治疗内喉膨出,效果令人满意。由于先前的内镜手术,该患者未进行任何气管切开术。本研究纳入的第二例患者被诊断为混合型喉膨出,主诉颈部上方左侧肿胀并伴有明显疼痛超过1个月。该患者在全身麻醉下通过外部经颈技术准备进行切除术。两名患者在随访期间均未出现任何复发或其他变化。报告这两例喉膨出病例的目的是提高对该病症的认识。手术仍然是确诊病例的一线治疗方法,但随着新的显微技术的出现,等离子体在咽内环境中的应用变得更加普遍。使用等离子体治疗一例内喉膨出后观察到的结果可能有助于更好地理解该方法的应用,并证实它可能是治疗这种病症的一种新的合适方法。

https://cdn.ncbi.nlm.nih.gov/pmc/blobs/9f47/10433409/843f4f938e81/etm-26-03-12123-g00.jpg

文献AI研究员

20分钟写一篇综述,助力文献阅读效率提升50倍。

立即体验

用中文搜PubMed

大模型驱动的PubMed中文搜索引擎

马上搜索

文档翻译

学术文献翻译模型,支持多种主流文档格式。

立即体验