• 文献检索
  • 文档翻译
  • 深度研究
  • 学术资讯
  • Suppr Zotero 插件Zotero 插件
  • 邀请有礼
  • 套餐&价格
  • 历史记录
应用&插件
Suppr Zotero 插件Zotero 插件浏览器插件Mac 客户端Windows 客户端微信小程序
定价
高级版会员购买积分包购买API积分包
服务
文献检索文档翻译深度研究API 文档MCP 服务
关于我们
关于 Suppr公司介绍联系我们用户协议隐私条款
关注我们

Suppr 超能文献

核心技术专利:CN118964589B侵权必究
粤ICP备2023148730 号-1Suppr @ 2026

文献检索

告别复杂PubMed语法,用中文像聊天一样搜索,搜遍4000万医学文献。AI智能推荐,让科研检索更轻松。

立即免费搜索

文件翻译

保留排版,准确专业,支持PDF/Word/PPT等文件格式,支持 12+语言互译。

免费翻译文档

深度研究

AI帮你快速写综述,25分钟生成高质量综述,智能提取关键信息,辅助科研写作。

立即免费体验

免疫相关性腹泻和结肠炎在非小细胞肺癌中的表现:多学科管理在真实世界环境中的影响。

Immune-Related Diarrhea and Colitis in Non-small Cell Lung Cancers: Impact of Multidisciplinary Management in a Real-World Setting.

机构信息

Oncology 2, Istituto Oncologico Veneto IOV IRCCS, Padova, Italy.

Department of Surgery, Oncology and Gastroenterology, University of Padova, Padova, Italy.

出版信息

Oncologist. 2024 Jan 5;29(1):e118-e130. doi: 10.1093/oncolo/oyad238.

DOI:10.1093/oncolo/oyad238
PMID:37603442
原文链接:https://pmc.ncbi.nlm.nih.gov/articles/PMC10769780/
Abstract

INTRODUCTION

Immune-related adverse events (irAEs) constitute a challenge in the clinical management of solid tumors. This study aims to collect real-world data on the occurrence of immune-mediated diarrhea and colitis (IMDC) in advanced non-small cell lung cancer (aNSCLC) treated with immune checkpoint inhibitors (ICIs) and to assess the clinical impact of a multidisciplinary approach (MDA) on IMDC management.

METHODS

We retrospectively collected data on patients with aNSCLC consecutively treated with ICIs, either as single agent or in combination with chemotherapy, between September 2013 and July 2022. Among patients developing IMDC, we conducted blinded revision of colonic biopsies and evaluated the clinical impact of the introduction of MDA through predefined indicators.

RESULTS

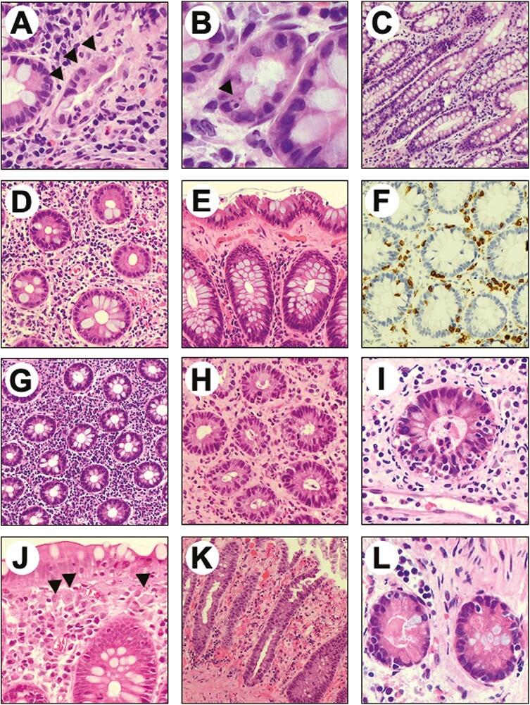
Among the 607 patients included, 84 (13.8%) experienced IMDC. Pathological review highlighted a high prevalence of microscopic colitis (28%), with a collagenous pattern linked to longer symptoms duration (P = .01). IMDC occurred more frequently in females (P = .05) and PD-L1 expressors (P = .014) and was correlated with longer progression-free survival (17.0 vs 5.8, P < .001) and overall survival (28.3 vs 9.5, P < .001). The introduction of MDA was associated with increased employment of diagnostical tools such as fecal calprotectin test (P < .001), colonoscopy (P < .001), and gastroenterological evaluation (P = .017) and a significant decrease in both grade 3 conversion rate (P = .046) and recurrence after rechallenge (P = .016). Hospitalization rate dropped from 17.2% to 3.8% (P: ns).

CONCLUSION

These findings highlight the clinical relevance of IMDC and support the incorporation of a MDA to optimize the clinical management of this irAE to improve patient care. Prospective validation has been planned.

摘要

简介

免疫相关不良事件(irAEs)是实体瘤临床管理中的一个挑战。本研究旨在收集免疫检查点抑制剂(ICI)治疗晚期非小细胞肺癌(aNSCLC)中发生免疫介导性腹泻和结肠炎(IMDC)的真实世界数据,并评估多学科方法(MDA)对 IMDC 管理的临床影响。

方法

我们回顾性地收集了 2013 年 9 月至 2022 年 7 月间连续接受 ICI 治疗的 aNSCLC 患者的数据,ICI 单药或联合化疗。在发生 IMDC 的患者中,我们对结肠活检进行了盲法复查,并通过预设指标评估 MDA 引入的临床影响。

结果

在 607 例患者中,84 例(13.8%)发生 IMDC。病理复查显示显微镜下结肠炎的患病率较高(28%),胶原模式与更长的症状持续时间相关(P=0.01)。IMDC 更常见于女性(P=0.05)和 PD-L1 表达者(P=0.014),与更长的无进展生存期(17.0 与 5.8,P<0.001)和总生存期(28.3 与 9.5,P<0.001)相关。MDA 的引入与更多地使用诊断工具相关,如粪便钙卫蛋白检测(P<0.001)、结肠镜检查(P<0.001)和胃肠病学评估(P=0.017),以及 3 级转化率(P=0.046)和再挑战后复发率(P=0.016)显著降低。住院率从 17.2%降至 3.8%(P:无统计学意义)。

结论

这些发现强调了 IMDC 的临床相关性,并支持采用 MDA 来优化该 irAE 的临床管理,以改善患者的护理。已经计划了前瞻性验证。

https://cdn.ncbi.nlm.nih.gov/pmc/blobs/4eeb/10769780/5a726a54ffa9/oyad238_fig3.jpg
https://cdn.ncbi.nlm.nih.gov/pmc/blobs/4eeb/10769780/bb39234c37d3/oyad238_fig1.jpg
https://cdn.ncbi.nlm.nih.gov/pmc/blobs/4eeb/10769780/f5b6633850b9/oyad238_fig2.jpg
https://cdn.ncbi.nlm.nih.gov/pmc/blobs/4eeb/10769780/5a726a54ffa9/oyad238_fig3.jpg
https://cdn.ncbi.nlm.nih.gov/pmc/blobs/4eeb/10769780/bb39234c37d3/oyad238_fig1.jpg
https://cdn.ncbi.nlm.nih.gov/pmc/blobs/4eeb/10769780/f5b6633850b9/oyad238_fig2.jpg
https://cdn.ncbi.nlm.nih.gov/pmc/blobs/4eeb/10769780/5a726a54ffa9/oyad238_fig3.jpg

相似文献

1
Immune-Related Diarrhea and Colitis in Non-small Cell Lung Cancers: Impact of Multidisciplinary Management in a Real-World Setting.免疫相关性腹泻和结肠炎在非小细胞肺癌中的表现:多学科管理在真实世界环境中的影响。
Oncologist. 2024 Jan 5;29(1):e118-e130. doi: 10.1093/oncolo/oyad238.
2
Impact of antibiotic therapy on the development and response to treatment of immune checkpoint inhibitor-mediated diarrhea and colitis.抗生素治疗对免疫检查点抑制剂相关性腹泻和结肠炎的发生发展及治疗反应的影响。
J Immunother Cancer. 2019 Sep 5;7(1):242. doi: 10.1186/s40425-019-0714-x.
3
Incidence of immune checkpoint inhibitor-mediated diarrhea and colitis (imDC) in patients with cancer and preexisting inflammatory bowel disease: a propensity score-matched retrospective study.癌症合并炎症性肠病患者中免疫检查点抑制剂相关腹泻和结肠炎(imDC)的发生率:一项倾向评分匹配的回顾性研究。
J Immunother Cancer. 2021 Jun;9(6). doi: 10.1136/jitc-2021-002567.
4
Outcomes of Immune Checkpoint Inhibitor-related Diarrhea or Colitis in Cancer Patients With Superimposed Gastrointestinal Infections.免疫检查点抑制剂相关腹泻或结肠炎在合并胃肠道感染的癌症患者中的结局。
Am J Clin Oncol. 2021 Aug 1;44(8):402-408. doi: 10.1097/COC.0000000000000841.
5
Fecal calprotectin concentration to assess endoscopic and histologic remission in patients with cancer with immune-mediated diarrhea and colitis.检测粪便钙卫蛋白浓度评估免疫介导性腹泻和结肠炎相关癌症患者的内镜和组织学缓解情况。
J Immunother Cancer. 2021 Jan;9(1). doi: 10.1136/jitc-2020-002058.
6
Peripheral Blood Markers Identify Risk of Immune-Related Toxicity in Advanced Non-Small Cell Lung Cancer Treated with Immune-Checkpoint Inhibitors.外周血标志物可识别免疫检查点抑制剂治疗晚期非小细胞肺癌相关免疫毒性的风险。
Oncologist. 2019 Aug;24(8):1128-1136. doi: 10.1634/theoncologist.2018-0563. Epub 2019 Apr 23.
7
Immune Checkpoint Inhibitor-Mediated Diarrhea and Colitis: A Clinical Review.免疫检查点抑制剂介导的腹泻和结肠炎:一项临床综述。
JCO Oncol Pract. 2020 Aug;16(8):453-461. doi: 10.1200/OP.20.00002. Epub 2020 Jun 25.
8
Implementing an immunotherapy toxicity (IOTOX) GI service improves outcomes in patients with immune-mediated diarrhea and colitis.实施免疫治疗毒性(IOTOX)GI 服务可改善免疫介导性腹泻和结肠炎患者的结局。
J Cancer Res Clin Oncol. 2023 Aug;149(9):5841-5852. doi: 10.1007/s00432-022-04504-1. Epub 2022 Dec 31.
9
Multisystem Immune-Related Adverse Events Associated With Immune Checkpoint Inhibitors for Treatment of Non-Small Cell Lung Cancer.与免疫检查点抑制剂治疗非小细胞肺癌相关的多系统免疫相关不良事件。
JAMA Oncol. 2020 Dec 1;6(12):1952-1956. doi: 10.1001/jamaoncol.2020.5012.
10
Clinical characteristics of gastrointestinal immune-related adverse events of immune checkpoint inhibitors and their association with survival.免疫检查点抑制剂相关胃肠道免疫相关不良事件的临床特征及其与生存的关系。
World J Gastroenterol. 2021 Nov 7;27(41):7190-7206. doi: 10.3748/wjg.v27.i41.7190.

引用本文的文献

1
Immune checkpoint inhibitor-induced anti-Hu antibody-associated gastrointestinal pseudo-obstruction: a case report and literature review.免疫检查点抑制剂诱导的抗Hu抗体相关胃肠道假性梗阻:一例报告及文献综述。
Front Immunol. 2025 Apr 1;16:1555790. doi: 10.3389/fimmu.2025.1555790. eCollection 2025.
2
CD8+ cell dominance in immune checkpoint inhibitor-induced colitis and its heterogeneity across endoscopic features.免疫检查点抑制剂诱导的结肠炎中CD8 +细胞优势及其在内镜特征中的异质性。
Therap Adv Gastroenterol. 2024 Dec 23;17:17562848241309445. doi: 10.1177/17562848241309445. eCollection 2024.
3
A Multidisciplinary Approach in the Management of Infectious Diarrhea in the Emergency Department.

本文引用的文献

1
Clinical Course and Impact of Immune Checkpoint Inhibitor Colitis Resembling Microscopic Colitis.类似显微镜下结肠炎的免疫检查点抑制剂结肠炎的临床病程及影响
Crohns Colitis 360. 2022 Mar 15;4(2):otac008. doi: 10.1093/crocol/otac008. eCollection 2022 Apr.
2
Immune checkpoint inhibitor-mediated colitis is associated with cancer overall survival.免疫检查点抑制剂相关结肠炎与癌症总生存期相关。
World J Gastroenterol. 2022 Oct 21;28(39):5750-5763. doi: 10.3748/wjg.v28.i39.5750.
3
Management of toxicities from immunotherapy: ESMO Clinical Practice Guideline for diagnosis, treatment and follow-up.
急诊科感染性腹泻管理的多学科方法
Cureus. 2024 Aug 26;16(8):e67788. doi: 10.7759/cureus.67788. eCollection 2024 Aug.
4
Endoscopic findings of immune checkpoint inhibitor-related gastrointestinal adverse events.免疫检查点抑制剂相关胃肠道不良事件的内镜检查结果
Clin Endosc. 2024 Nov;57(6):725-734. doi: 10.5946/ce.2024.003. Epub 2024 Aug 29.
5
Immune-related adverse events requiring hospitalization in patients with lung cancer: implications and insights.肺癌患者需要住院治疗的免疫相关不良事件:意义与见解。
Oncologist. 2024 Nov 4;29(11):e1615-e1620. doi: 10.1093/oncolo/oyae189.
免疫疗法毒性的管理:ESMO诊断、治疗及随访临床实践指南
Ann Oncol. 2022 Dec;33(12):1217-1238. doi: 10.1016/j.annonc.2022.10.001. Epub 2022 Oct 18.
4
Clinic, Endoscopic and Histological Features in Patients Treated with ICI Developing GI Toxicity: Some News and Reappraisal from a Mono-Institutional Experience.接受免疫检查点抑制剂(ICI)治疗并出现胃肠道毒性的患者的临床、内镜及组织学特征:来自单中心经验的一些新情况和重新评估
Diagnostics (Basel). 2022 Mar 11;12(3):685. doi: 10.3390/diagnostics12030685.
5
Association between immune-related adverse event timing and treatment outcomes.免疫相关不良事件发生时间与治疗结局的相关性。
Oncoimmunology. 2022 Jan 5;11(1):2017162. doi: 10.1080/2162402X.2021.2017162. eCollection 2022.
6
Management of Immune-Related Adverse Events in Patients Treated With Immune Checkpoint Inhibitor Therapy: ASCO Guideline Update.免疫检查点抑制剂治疗患者免疫相关不良反应的管理:ASCO 指南更新。
J Clin Oncol. 2021 Dec 20;39(36):4073-4126. doi: 10.1200/JCO.21.01440. Epub 2021 Nov 1.
7
Society for Immunotherapy of Cancer (SITC) clinical practice guideline on immune checkpoint inhibitor-related adverse events.癌症免疫治疗学会(SITC)免疫检查点抑制剂相关不良反应临床实践指南。
J Immunother Cancer. 2021 Jun;9(6). doi: 10.1136/jitc-2021-002435.
8
Four-Year Survival With Durvalumab After Chemoradiotherapy in Stage III NSCLC-an Update From the PACIFIC Trial.PACIFIC 试验的更新:放化疗后 durvalumab 治疗 III 期非小细胞肺癌的 4 年生存结果
J Thorac Oncol. 2021 May;16(5):860-867. doi: 10.1016/j.jtho.2020.12.015. Epub 2021 Jan 19.
9
Fecal calprotectin concentration to assess endoscopic and histologic remission in patients with cancer with immune-mediated diarrhea and colitis.检测粪便钙卫蛋白浓度评估免疫介导性腹泻和结肠炎相关癌症患者的内镜和组织学缓解情况。
J Immunother Cancer. 2021 Jan;9(1). doi: 10.1136/jitc-2020-002058.
10
Colonoscopic evaluation of diarrhea/colitis occurring as an immune-related adverse event.结肠镜评估作为免疫相关不良事件发生的腹泻/结肠炎。
Jpn J Clin Oncol. 2021 Mar 3;51(3):363-370. doi: 10.1093/jjco/hyaa203.