Department of Orthopedics, Southwest Hospital, Third Military Medical University (Army Medical University), Chongqing 400038, China.
Department of Orthopedics, Southwest Hospital, Third Military Medical University (Army Medical University), Chongqing 400038, China.
Cell Rep Med. 2023 Sep 19;4(9):101165. doi: 10.1016/j.xcrm.2023.101165. Epub 2023 Aug 21.
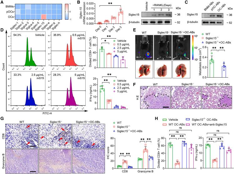
The bone microenvironment promotes cancer cell proliferation and dissemination. During periodic bone remodeling, osteoclasts undergo apoptosis, producing large numbers of apoptotic bodies (ABs). However, the biological role of osteoclast-derived ABs, which are residents of the bone-tumor niche, remains largely unknown. Here, we discover that AB-null MRL/lpr mice show resistance to breast cancer cell implantation, with more CD8 T cell infiltrations and a higher survival rate. We uncover that the membranous Siglec15 on osteoclast-derived ABs binds with sialylated Toll-like receptor 2 (TLR2) and blocks downstream co-stimulatory signaling, leading to the inhibition of naive CD8 T cell activation. In addition, our study shows that treatment with Siglec15 neutralizing antibodies significantly reduces the incidence of secondary metastases and improves the survival rate of mice with advanced breast cancer bone metastasis. Our findings reveal the immunosuppressive function of osteoclast-derived ABs in the bone-tumor niche and demonstrate the potential of Siglec15 as a common target for anti-resorption and immunotherapy.
骨微环境促进癌细胞的增殖和扩散。在周期性的骨重塑过程中,破骨细胞会发生凋亡,产生大量的凋亡小体 (ABs)。然而,破骨细胞衍生的 ABs 的生物学作用,即骨肿瘤微环境中的居民,在很大程度上仍然未知。在这里,我们发现 AB 缺失的 MRL/lpr 小鼠对乳腺癌细胞植入具有抗性,具有更多的 CD8 T 细胞浸润和更高的存活率。我们发现破骨细胞衍生的 AB 上的膜 Siglec15 与唾液酸化 Toll 样受体 2 (TLR2) 结合,并阻断下游共刺激信号,导致幼稚 CD8 T 细胞的激活受到抑制。此外,我们的研究表明,用 Siglec15 中和抗体治疗可显著降低继发性转移的发生率,并提高患有晚期乳腺癌骨转移的小鼠的存活率。我们的研究结果揭示了破骨细胞衍生的 ABs 在骨肿瘤微环境中的免疫抑制功能,并证明了 Siglec15 作为抗吸收和免疫治疗的共同靶点的潜力。