Suppr超能文献

扩大膀胱内的巨大膀胱结石——解决一个重大问题的开放手术方法。

Large bladder stones in an augmented bladder - An open approach to a big problem.

作者信息

Ong Katherine, Murtagh Kevin

机构信息

Department of Urology, Fiona Stanley Hospital, Murdoch, Western Australia, Australia.

出版信息

Urol Case Rep. 2023 Aug 17;50:102536. doi: 10.1016/j.eucr.2023.102536. eCollection 2023 Sep.

Abstract

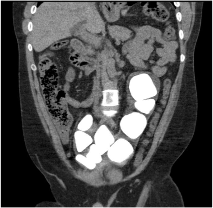
Bladder augmentation can be a valuable life-changing operation for patients with bladder dysfunction, however, are associated with several complications that require long-term management. One of the most common complications seen in these patients are bladder calculi. If bladder stones are left untreated, they can become extremely large and cause pain, urinary tract infections, or difficulty emptying the bladder. We present the case of a patient with an augmented bladder who had numerous large bladder stones and his management.

摘要

膀胱扩大术对于膀胱功能障碍患者而言可能是一项改变生活的重要手术,然而,该手术会引发一些需要长期管理的并发症。这些患者中最常见的并发症之一是膀胱结石。如果膀胱结石不进行治疗,它们可能会变得极大,并导致疼痛、尿路感染或膀胱排空困难。我们在此呈现一例膀胱扩大术后出现大量膀胱结石患者的病例及其治疗情况。

https://cdn.ncbi.nlm.nih.gov/pmc/blobs/10d9/10445452/13c5826ebea9/gr1.jpg

文献AI研究员

20分钟写一篇综述,助力文献阅读效率提升50倍。

立即体验

用中文搜PubMed

大模型驱动的PubMed中文搜索引擎

马上搜索

文档翻译

学术文献翻译模型,支持多种主流文档格式。

立即体验