Suppr超能文献

胎盘巨大绒毛膜血管瘤作为孕产妇、胎儿及新生儿并发症的一个病因

Giant Chorioangioma of the Placenta as a Cause of Maternal, Foetal, and Neonatal Complications.

作者信息

Mestha Akshata, Dhanaliwala Arva, Frangieh Antoine, Mestha Suvarna M, Ramaiah Sridhar M

机构信息

General Practice, Dubai Academic Health Corporation, Dubai, ARE.

Obstetrics and Gynaecology, American Hospital, Dubai, ARE.

出版信息

Cureus. 2023 Jul 25;15(7):e42430. doi: 10.7759/cureus.42430. eCollection 2023 Jul.

Abstract

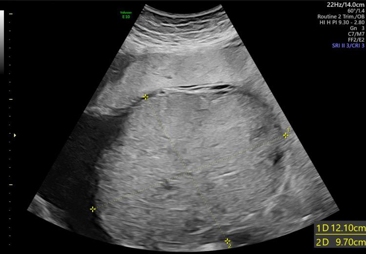
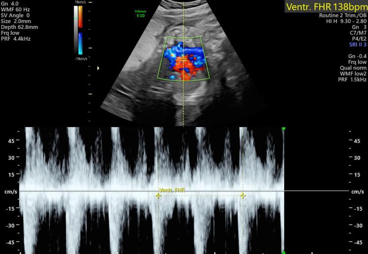
Chorioangioma is a benign placental neoplasm seen in about one percent of all pregnancies. The larger neoplasms generally cause severe foeto-maternal complications. We are reporting a case of a 33-year-old gravida three para two female who was incidentally diagnosed with chorioangioma at her routine 28-week antenatal follow-up. She delivered a preterm small-for-gestational-age female baby at 34 weeks with complications. Therefore, an early diagnosis warrants a close follow-up and timely intervention for a better outcome of the pregnancy.

摘要

绒毛膜血管瘤是一种良性胎盘肿瘤,在所有妊娠中约占1%。较大的肿瘤通常会导致严重的母婴并发症。我们报告一例33岁、孕3产2的女性病例,她在28周常规产前检查时被意外诊断为绒毛膜血管瘤。她在34周时早产了一名小于胎龄的女婴,并伴有并发症。因此,早期诊断需要密切随访并及时干预,以获得更好的妊娠结局。

https://cdn.ncbi.nlm.nih.gov/pmc/blobs/0cbf/10448837/78f118e4146e/cureus-0015-00000042430-i01.jpg

文献AI研究员

20分钟写一篇综述,助力文献阅读效率提升50倍。

立即体验

用中文搜PubMed

大模型驱动的PubMed中文搜索引擎

马上搜索

文档翻译

学术文献翻译模型,支持多种主流文档格式。

立即体验