Suppr超能文献

一例通过多期CT血管造影和数字减影血管造影诊断的小肠动静脉畸形病例

A Case of Small Bowel Arteriovenous Malformation Diagnosed Using Multiphase CT Angiography and Digital Subtraction Angiography.

作者信息

Okamoto Soichiro, Matsui Yusuke, Sakae Hiroyuki, Oshima Keiichiro, Hiraki Takao

机构信息

Radiology, Tsuyama Chuo Hospital, Okayama, JPN.

Radiology, Faculty of Medicine, Dentistry and Pharmaceutical Sciences, Okayama University, Okayama, JPN.

出版信息

Cureus. 2023 Jul 29;15(7):e42644. doi: 10.7759/cureus.42644. eCollection 2023 Jul.

Abstract

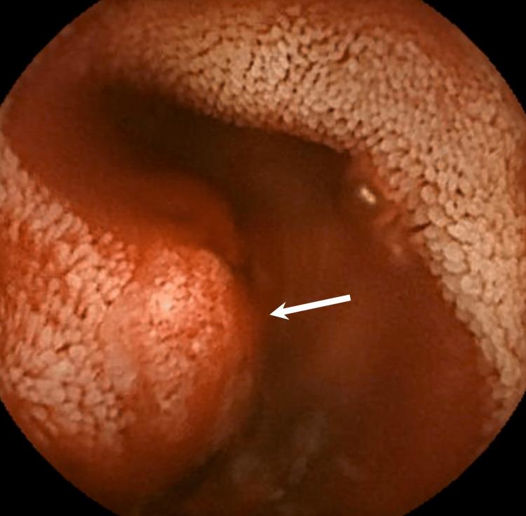
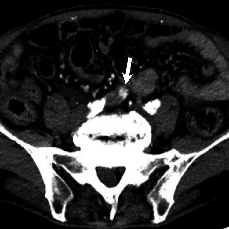
Small bowel arteriovenous malformation (AVM) is a rare vascular lesion, which should be considered in patients presenting with gastrointestinal bleeding, as it is a high-flow arterial lesion that can cause life-threatening bleeding. Although a primary endoscopic examination is performed in cases of suspected small bowel bleeding, the diagnosis of the causal lesion is sometimes difficult. We are presenting a case of small bowel AVM that could not be diagnosed endoscopically but was successfully detected using multiphase CT images with an appropriate protocol. The AVM diagnosis was confirmed using digital subtraction angiography. An endovascular coil is placed in the draining vein as a surgical resection marker. The AVM was resected successfully without any complications.

摘要

小肠动静脉畸形(AVM)是一种罕见的血管病变,对于出现胃肠道出血的患者应考虑到这种病变,因为它是一种高流量动脉病变,可导致危及生命的出血。尽管在疑似小肠出血的病例中会进行初步内镜检查,但有时很难诊断出病因性病变。我们现报告一例小肠AVM,内镜检查未能诊断出来,但通过采用适当方案的多期CT图像成功检测到了该病变。通过数字减影血管造影术确诊为AVM。在引流静脉中放置了一个血管内线圈作为手术切除标记物。成功切除了AVM,未出现任何并发症。

https://cdn.ncbi.nlm.nih.gov/pmc/blobs/d513/10461457/e8f59bbf363b/cureus-0015-00000042644-i01.jpg

文献AI研究员

20分钟写一篇综述,助力文献阅读效率提升50倍。

立即体验

用中文搜PubMed

大模型驱动的PubMed中文搜索引擎

马上搜索

文档翻译

学术文献翻译模型,支持多种主流文档格式。

立即体验