• 文献检索
  • 文档翻译
  • 深度研究
  • 学术资讯
  • Suppr Zotero 插件Zotero 插件
  • 邀请有礼
  • 套餐&价格
  • 历史记录
应用&插件
Suppr Zotero 插件Zotero 插件浏览器插件Mac 客户端Windows 客户端微信小程序
定价
高级版会员购买积分包购买API积分包
服务
文献检索文档翻译深度研究API 文档MCP 服务
关于我们
关于 Suppr公司介绍联系我们用户协议隐私条款
关注我们

Suppr 超能文献

核心技术专利:CN118964589B侵权必究
粤ICP备2023148730 号-1Suppr @ 2026

文献检索

告别复杂PubMed语法,用中文像聊天一样搜索,搜遍4000万医学文献。AI智能推荐,让科研检索更轻松。

立即免费搜索

文件翻译

保留排版,准确专业,支持PDF/Word/PPT等文件格式,支持 12+语言互译。

免费翻译文档

深度研究

AI帮你快速写综述,25分钟生成高质量综述,智能提取关键信息,辅助科研写作。

立即免费体验

曼氏血吸虫病实验研究中童虫肺抗原制剂和可溶性虫卵抗原疫苗的评价。

Evaluation of schistosomula lung antigen preparation and soluble egg antigen vaccines on experimental schistosomiasis mansoni.

机构信息

Department of Parasitology, Benha Faculty of Medicine, Benha University, Egypt.

Division of International Infectious Diseases Control, Faculty of Pharmaceutical Sciences, Okayama University, Tsushima-Naka, Kita-Ku, Okayama 700-8530, Japan.

出版信息

Parasites Hosts Dis. 2023 Aug;61(3):251-262. doi: 10.3347/PHD.22154. Epub 2023 Aug 21.

DOI:10.3347/PHD.22154
PMID:37648230
原文链接:https://pmc.ncbi.nlm.nih.gov/articles/PMC10471471/
Abstract

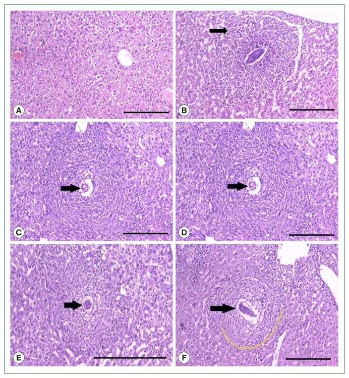
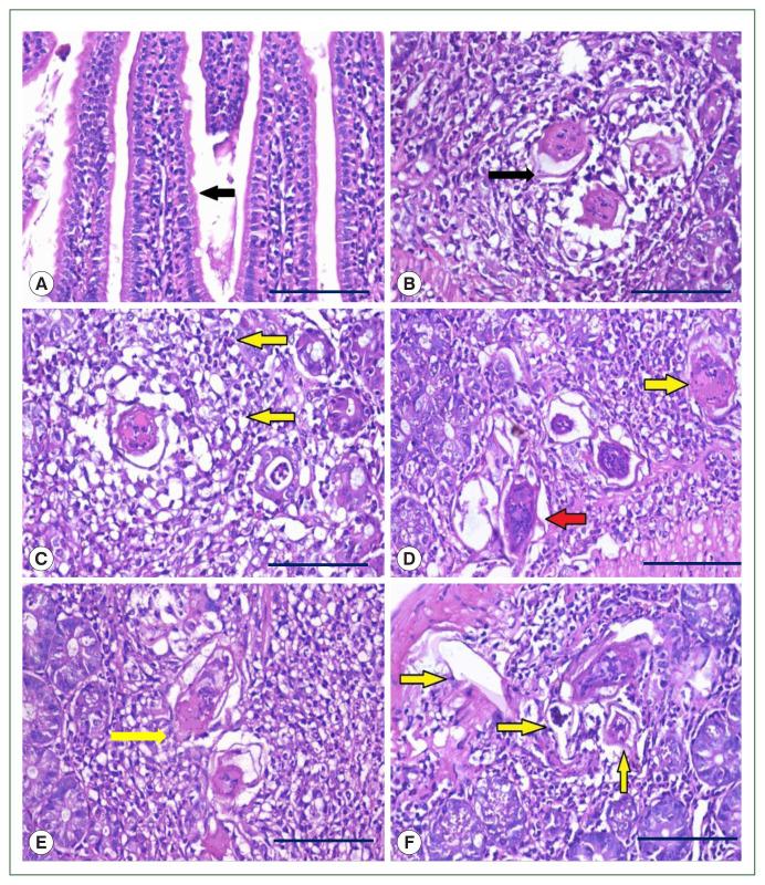
Schistosomiasis causes significant morbidity and mortality worldwide. This study aimed to assess the effect of schistosomula lung antigen preparation (SLAP) and soluble egg antigen (SEA) on a murine schistosomiasis mansoni model. Ninety laboratory-bred male Swiss albino mice were divided into 6 groups. Two doses of the vaccine were given at 2-week intervals. All mice were subcutaneously infected with 80±10 Schistosoma mansoni cercariae 2 weeks after the last vaccination dose. They were sacrificed 7 weeks post-infection. Parasitological and histopathological studies were conducted to assess the effect of inoculated antigens (single or combined). The results showed that the combination of SLAP and SEA (combination group) led to a significant reduction in worm burden (65.56%), and liver and intestine egg count (59% and 60.59%, respectively). The oogram pattern revealed a reduction in immature and mature eggs (15±0.4 and 10±0.8, respectively) and an increased number of dead eggs in the combination group (P<0.001). In terms of histopathological changes, the combination group showed notably small compact fibrocellular egg granuloma and moderate fibrosis in the liver. A high percentage of destroyed ova was observed in the intestine of the combination group. This study demonstrates for the first time the prophylactic effect of combined SLAP and SEA vaccine. The vaccine induced a significant reduction in the parasitological and pathological impacts of schistosomiasis mansoni in hepatic and intestinal tissues, making it a promising vaccine candidate for controlling schistosomiasis.

摘要

血吸虫病在全球范围内造成了重大的发病率和死亡率。本研究旨在评估曼氏血吸虫尾蚴肺抗原制剂(SLAP)和可溶性虫卵抗原(SEA)对曼氏血吸虫病小鼠模型的影响。90 只实验室饲养的雄性瑞士白化病小鼠被分为 6 组。疫苗分两剂,每两周接种一次。所有小鼠在最后一次接种后 2 周经皮下感染 80±10 条曼氏血吸虫尾蚴。感染后 7 周处死它们。进行寄生虫学和组织病理学研究以评估接种抗原(单一或组合)的效果。结果表明,SLAP 和 SEA 的组合(组合组)导致虫荷(65.56%)和肝、肠卵计数(分别为 59%和 60.59%)显著减少。卵图模式显示未成熟和成熟卵的数量减少(分别为 15±0.4 和 10±0.8),组合组的死亡卵数量增加(P<0.001)。就组织病理学变化而言,组合组显示肝中纤维细胞致密的小纤维细胞性卵肉芽肿和中度纤维化明显。组合组肠中观察到大量卵破坏。本研究首次证明了联合 SLAP 和 SEA 疫苗的预防效果。该疫苗显著降低了曼氏血吸虫在肝和肠道组织中的寄生虫学和病理学影响,使其成为控制血吸虫病的有前途的候选疫苗。

https://cdn.ncbi.nlm.nih.gov/pmc/blobs/706e/10471471/0c8a8f7f8ac1/phd-22154f5.jpg
https://cdn.ncbi.nlm.nih.gov/pmc/blobs/706e/10471471/ae45c04a299b/phd-22154f1.jpg
https://cdn.ncbi.nlm.nih.gov/pmc/blobs/706e/10471471/6d81e531612c/phd-22154f2.jpg
https://cdn.ncbi.nlm.nih.gov/pmc/blobs/706e/10471471/4c2a7d94292d/phd-22154f3.jpg
https://cdn.ncbi.nlm.nih.gov/pmc/blobs/706e/10471471/fce70d5fe495/phd-22154f4.jpg
https://cdn.ncbi.nlm.nih.gov/pmc/blobs/706e/10471471/0c8a8f7f8ac1/phd-22154f5.jpg
https://cdn.ncbi.nlm.nih.gov/pmc/blobs/706e/10471471/ae45c04a299b/phd-22154f1.jpg
https://cdn.ncbi.nlm.nih.gov/pmc/blobs/706e/10471471/6d81e531612c/phd-22154f2.jpg
https://cdn.ncbi.nlm.nih.gov/pmc/blobs/706e/10471471/4c2a7d94292d/phd-22154f3.jpg
https://cdn.ncbi.nlm.nih.gov/pmc/blobs/706e/10471471/fce70d5fe495/phd-22154f4.jpg
https://cdn.ncbi.nlm.nih.gov/pmc/blobs/706e/10471471/0c8a8f7f8ac1/phd-22154f5.jpg

相似文献

1
Evaluation of schistosomula lung antigen preparation and soluble egg antigen vaccines on experimental schistosomiasis mansoni.曼氏血吸虫病实验研究中童虫肺抗原制剂和可溶性虫卵抗原疫苗的评价。
Parasites Hosts Dis. 2023 Aug;61(3):251-262. doi: 10.3347/PHD.22154. Epub 2023 Aug 21.
2
Efficacy of an antipathology vaccine in murine schistosomiasis administered with and without chemotherapy.抗病理学疫苗在接受和未接受化疗的小鼠血吸虫病中的疗效
Int J Immunopharmacol. 1996 Dec;18(12):707-18. doi: 10.1016/s0192-0561(97)85553-1.
3
Protective and anti-pathology effects of Sm fructose-1,6-bisphosphate aldolase-based DNA vaccine against schistosoma mansoni by changing route of injection.基于果糖-1,6-二磷酸醛缩酶的DNA疫苗通过改变注射途径对曼氏血吸虫的保护和抗病理作用
Korean J Parasitol. 2013 Apr;51(2):155-63. doi: 10.3347/kjp.2013.51.2.155. Epub 2013 Apr 25.
4
Combination of the two schistosomal antigens Sm14 and Sm29 elicits significant protection against experimental Schistosoma mansoni infection.两种血吸虫抗原 Sm14 和 Sm29 的联合使用可显著预防实验性曼氏血吸虫感染。
Exp Parasitol. 2014 Oct;145:51-60. doi: 10.1016/j.exppara.2014.07.010. Epub 2014 Aug 1.
5
IMMUNOPROTECTION OF SOLUBLE EGG ANTIGENS AND PRAZIQUANTEL IN CHALLENGED MURINE SCHISTOSOMIASIS MANSONI.可溶性虫卵抗原和吡喹酮对感染曼氏血吸虫的小鼠的免疫保护作用
J Egypt Soc Parasitol. 2017 Apr;47(1):1-12.
6
Schistosoma mansoni egg-derived extracellular vesicles: A promising vaccine candidate against murine schistosomiasis.曼氏血吸虫卵来源的细胞外囊泡:一种针对小鼠血吸虫病有前景的疫苗候选物。
PLoS Negl Trop Dis. 2021 Oct 13;15(10):e0009866. doi: 10.1371/journal.pntd.0009866. eCollection 2021 Oct.
7
The Protective Role of Toll-Like Receptor Agonist Monophosphoryl Lipid A Against Vaccinated Murine Schistosomiasis.TLR 激动剂单磷酰脂质 A 对免疫小鼠血吸虫病的保护作用。
Acta Parasitol. 2020 Sep;65(3):652-660. doi: 10.2478/s11686-020-00204-3. Epub 2020 Apr 2.
8
An Insight into the Potential Parasitological Effect of Antigens in Infected Mice: Prophylactic Role of Cercarial Antigen.感染鼠体内抗原的潜在寄生虫学效应分析:尾蚴抗原的预防作用
Microsc Microanal. 2020 Aug;26(4):708-716. doi: 10.1017/S1431927620001695.
9
Immunomodulation of pulmonary and hepatic granulomatous response in mice immunized with purified lung-stage schistosomulae antigen.用纯化的肺期血吸虫童虫抗原免疫的小鼠肺和肝肉芽肿反应的免疫调节
J Egypt Soc Parasitol. 2006 Apr;36(1):335-50, following 350.
10
THE EFFECT OF STEM CELLS AS AN ADJUVANT ON THE IMMUNOGENICITY OF A POTENTIAL ANTI-SCHISTOSOMAL VACCINE IN MICE.干细胞作为佐剂对小鼠潜在抗血吸虫疫苗免疫原性的影响
J Egypt Soc Parasitol. 2016 Dec;46(3):693-716.

引用本文的文献

1
The efficacy of cercarial antigen loaded on nanoparticles as a potential vaccine candidate in -infected mice.负载尾蚴抗原的纳米颗粒作为潜在疫苗候选物在感染小鼠中的功效。
J Parasit Dis. 2024 Jun;48(2):381-399. doi: 10.1007/s12639-024-01677-z. Epub 2024 May 14.

本文引用的文献

1
A comprehensive and critical overview of schistosomiasis vaccine candidates.血吸虫病候选疫苗的全面批判性综述。
J Parasit Dis. 2021 Jun;45(2):557-580. doi: 10.1007/s12639-021-01387-w. Epub 2021 Apr 25.
2
Schistosome Egg Migration: Mechanisms, Pathogenesis and Host Immune Responses.血吸虫卵迁移:机制、发病机制和宿主免疫反应。
Front Immunol. 2018 Dec 20;9:3042. doi: 10.3389/fimmu.2018.03042. eCollection 2018.
3
Schistosomiasis.血吸虫病。
Nat Rev Dis Primers. 2018 Aug 9;4(1):13. doi: 10.1038/s41572-018-0013-8.
4
Kunitz-type protease inhibitor as a vaccine candidate against schistosomiasis mansoni.Kunitz 型蛋白酶抑制剂作为抗曼氏血吸虫病疫苗的候选物。
Int J Infect Dis. 2018 Jan;66:26-32. doi: 10.1016/j.ijid.2017.10.024. Epub 2017 Nov 8.
5
Tailoring Water, Sanitation, and Hygiene (WASH) Targets for Soil-Transmitted Helminthiasis and Schistosomiasis Control.针对土壤传播性蠕虫病和血吸虫病控制调整水、环境卫生和个人卫生(WASH)目标。
Trends Parasitol. 2018 Jan;34(1):53-63. doi: 10.1016/j.pt.2017.09.004. Epub 2017 Oct 18.
6
Development of a schistosomiasis vaccine.血吸虫病疫苗的研发。
Expert Rev Vaccines. 2016 May;15(5):619-27. doi: 10.1586/14760584.2016.1131127. Epub 2016 Jan 13.
7
Inhibition of Granulomatous Inflammation and Prophylactic Treatment of Schistosomiasis with a Combination of Edelfosine and Praziquantel.依地福新与吡喹酮联合抑制肉芽肿性炎症及血吸虫病的预防性治疗
PLoS Negl Trop Dis. 2015 Jul 20;9(7):e0003893. doi: 10.1371/journal.pntd.0003893. eCollection 2015.
8
Eliminating Schistosomes through Vaccination: What are the Best Immune Weapons?通过疫苗接种消灭血吸虫:最佳免疫武器是什么?
Front Immunol. 2015 Mar 9;6:95. doi: 10.3389/fimmu.2015.00095. eCollection 2015.
9
Combination of the two schistosomal antigens Sm14 and Sm29 elicits significant protection against experimental Schistosoma mansoni infection.两种血吸虫抗原 Sm14 和 Sm29 的联合使用可显著预防实验性曼氏血吸虫感染。
Exp Parasitol. 2014 Oct;145:51-60. doi: 10.1016/j.exppara.2014.07.010. Epub 2014 Aug 1.
10
Gaining biological perspectives from schistosome genomes.从血吸虫基因组中获取生物学见解。
Mol Biochem Parasitol. 2014 Aug;196(1):21-8. doi: 10.1016/j.molbiopara.2014.07.007. Epub 2014 Jul 27.