Suppr超能文献

剖宫产术前口服补液对胃容量超声评估和术中血流动力学变化的影响:一项随机对照试验。

Effect of preoperative oral rehydration before cesarean section on ultrasound assessment of gastric volume and intraoperative hemodynamic changes: a randomized controlled trial.

机构信息

Department of Anesthesiology and Critical Care Medicine, Asahikawa Medical University, Asahikawa, Japan.

Department of Anesthesiology, Tokyo Women's Medical University, 8-1, Kawada-cho, Shinjyuku-ku, Tokyo, 162-8666, Japan.

出版信息

BMC Anesthesiol. 2023 Aug 30;23(1):293. doi: 10.1186/s12871-023-02250-6.

Abstract

BACKGROUND

Cesarean section often requires an urgent transfusion load due to decreased blood pressure after spinal anesthesia. This prospective randomized study aimed to investigate whether a preoperative oral rehydration solution (ORS) stabilized perioperative circulatory dynamics.

METHODS

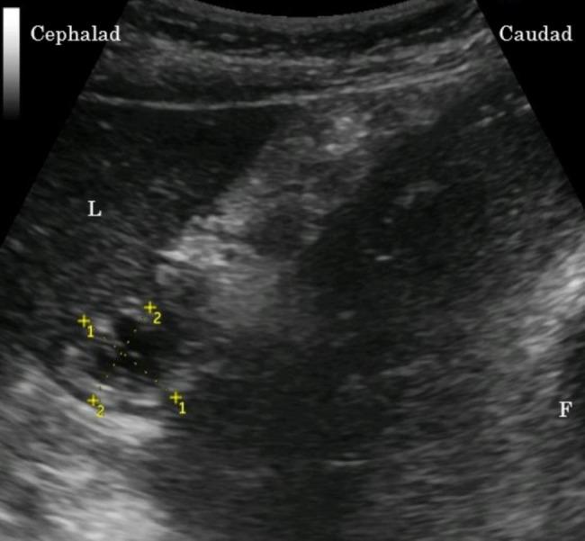
Sixty-three parturients scheduled for cesarean section under combined spinal epidural anesthesia (CSEA) were randomly allocated to one of three groups: Group O received 500 mL ORS before bedtime and 500 mL 2 h before CSEA; Group M received mineral water instead of ORS; and Group C had no fluid intake (controls). After entering the operating room, stomach size was measured using ultrasound. Blood samples were obtained, and CSEA was induced. Vasopressors were administered when systolic blood pressure was < 90 mmHg or decreased by > 20%. As a vasopressor, phenylephrine (0.1 mg) was administered at ≥ 60 beats/min heart rate or ephedrine (5 mg) at < 60 beats/min heart rate. The primary outcome was the total number of vasopressor boluses administered. Secondary outcomes were the cross-sectional area of the stomach antrum, maternal plasma glucose levels, serum sodium levels, total intravenous fluid, bleeding volume, urine volume, operative time, and cord blood gas values after delivery.

RESULTS

The total number of vasopressor boluses was lower in Group O than in Group C (P < 0.05). Group O had lower total dose of phenylephrine than Group C (P < 0.05). There were no significant differences between Group M and other groups. No differences were detected regarding secondary outcomes.

CONCLUSIONS

In women scheduled for cesarean section, preoperative ORS stabilized perioperative circulatory dynamics. Neither ORS nor mineral water consumption increased the stomach content volume.

TRIAL REGISTRATION

This trial is registered in the University Hospital Medical Information Network Clinical Trials Registry (UMIN000019825: Date of registration 17/11/2015).

摘要

背景

椎管内麻醉后血压下降,剖宫产常需紧急输血负荷。本前瞻性随机研究旨在探讨术前口服补液溶液(ORS)是否稳定围手术期循环动力学。

方法

63 例行椎管内-硬膜外联合麻醉(CSEA)剖宫产的产妇随机分为三组:O 组于睡前和 CSEA 前 2 小时分别口服 500ml ORS;M 组给予矿泉水代替 ORS;C 组(对照组)无液体摄入。进入手术室后,使用超声测量胃的大小。采集血样,并进行 CSEA。当收缩压<90mmHg 或下降>20%时给予血管加压药。当心率≥60 次/分时给予去氧肾上腺素(0.1mg),当心率<60 次/分时给予麻黄碱(5mg)作为血管加压药。主要结局为血管加压药的总推注次数。次要结局为胃窦横截面积、产妇血浆葡萄糖水平、血清钠水平、总静脉输液量、出血量、尿量、手术时间和分娩后脐血血气值。

结果

O 组的血管加压药总推注次数少于 C 组(P<0.05)。O 组的去氧肾上腺素总剂量低于 C 组(P<0.05)。M 组与其他组之间无显著差异。次要结局无差异。

结论

在择期剖宫产的妇女中,术前口服 ORS 可稳定围手术期循环动力学。口服 ORS 或矿泉水均不会增加胃内容物量。

试验注册

本试验在大学医院医疗信息网络临床试验注册中心(UMIN000019825:注册日期 2015 年 11 月 17 日)注册。

https://cdn.ncbi.nlm.nih.gov/pmc/blobs/34b5/10466736/32e555e78f34/12871_2023_2250_Figa_HTML.jpg

文献AI研究员

20分钟写一篇综述,助力文献阅读效率提升50倍。

立即体验

用中文搜PubMed

大模型驱动的PubMed中文搜索引擎

马上搜索

文档翻译

学术文献翻译模型,支持多种主流文档格式。

立即体验