Suppr超能文献

在β-缺陷小鼠的软骨中耗尽转化生长因子β受体2信号可减轻自发性膝骨关节炎。

Depleting transforming growth factor beta receptor 2 signalling in the cartilage of -null mice attenuates spontaneous knee osteoarthritis.

作者信息

St Amant Jennifer, Michaud Jana, Hinds Daniel, Coyle Madison, Pozzi Ambra, Clark Andrea L

机构信息

Human Health and Nutritional Sciences, College of Biological Science, University of Guelph, Guelph, ON, Canada.

Division of Nephrology and Hypertension, Department of Medicine, Vanderbilt University Medical Center, Nashville, TN, USA.

出版信息

Osteoarthr Cartil Open. 2023 Aug 12;5(4):100399. doi: 10.1016/j.ocarto.2023.100399. eCollection 2023 Dec.

Abstract

OBJECTIVES

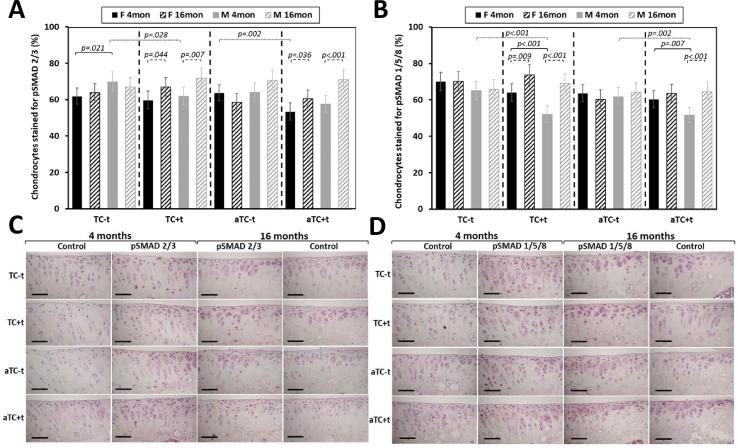
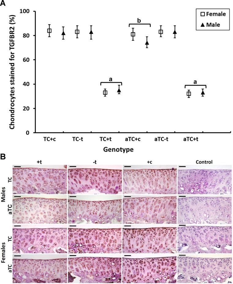
Integrin α1β1 protects against osteoarthritis (OA) when it is upregulated in the superficial zone of cartilage in the early stages of disease. However, the mechanism behind this protection is unknown. Integrin α1β1 moderates transforming growth factor β receptor II (TGFBR2) signalling, a critical regulator of chondrocyte anabolic activity. To this end, mice lacking integrin α1β1 have increased baseline activation of TGFBR2 signalling and overall fibrosis. The purpose of this study was to evaluate the interplay between integrin α1β1 and TGFBR2 in the development of spontaneous OA. We hypothesized that dampening TGFBR2 signalling in the cartilage of -null mice would attenuate OA.

METHODS

Behavioural and histological manifestations of spontaneous knee OA were measured at 4, 8, 12 and 16 months in mice with and without a ubiquitous deletion and with and without a tamoxifen-induced cartilage specific TGFBR2 depletion.

RESULTS

Knee cartilage degeneration, collateral ligament ossification and pain responses increased with age. -null mice with intact TGFBR2 signalling developed earlier and more severe OA compared to controls. In agreement with our hypothesis, depleting TGFBR2 signalling in the cartilage of -null mice attenuated OA progression.

CONCLUSION

Intact TGFBR2 signalling drives early and worse knee OA in -null mice. This result supports the hypothesis that the increased expression of integrin α1β1 by superficial zone chondrocytes early in OA development dampens TGFBR2 signalling and thus protects against degeneration.

摘要

目的

整合素α1β1在疾病早期软骨表层上调时可预防骨关节炎(OA)。然而,这种保护作用背后的机制尚不清楚。整合素α1β1可调节转化生长因子β受体II(TGFBR2)信号传导,而TGFBR2信号传导是软骨细胞合成代谢活性的关键调节因子。为此,缺乏整合素α1β1的小鼠TGFBR2信号传导的基础激活增加且整体纤维化程度加重。本研究的目的是评估整合素α1β1与TGFBR2在自发性OA发展过程中的相互作用。我们假设抑制α1β1基因敲除小鼠软骨中的TGFBR2信号传导会减轻OA。

方法

在4、8、12和16个月时,对有无全身性α1β1基因敲除以及有无他莫昔芬诱导的软骨特异性TGFBR2缺失的小鼠,测量自发性膝OA的行为和组织学表现。

结果

膝软骨退变、侧副韧带骨化和疼痛反应随年龄增加。与对照组相比,TGFBR2信号传导完整的α1β1基因敲除小鼠发生OA更早且更严重。与我们的假设一致,抑制α1β1基因敲除小鼠软骨中的TGFBR2信号传导可减轻OA进展。

结论

完整的TGFBR2信号传导会促使α1β1基因敲除小鼠早期发生更严重的膝OA。这一结果支持了以下假设:OA发展早期表层软骨细胞中整合素α1β1表达增加会抑制TGFBR2信号传导,从而预防退变。

https://cdn.ncbi.nlm.nih.gov/pmc/blobs/f92e/10462827/893a3f840567/gr1.jpg

文献检索

告别复杂PubMed语法,用中文像聊天一样搜索,搜遍4000万医学文献。AI智能推荐,让科研检索更轻松。

立即免费搜索

文件翻译

保留排版,准确专业,支持PDF/Word/PPT等文件格式,支持 12+语言互译。

免费翻译文档

深度研究

AI帮你快速写综述,25分钟生成高质量综述,智能提取关键信息,辅助科研写作。

立即免费体验