Suppr超能文献

坏血病导致可逆性重度肺动脉高压、右心衰竭伴心源性休克:一例报告

Reversible severe pulmonary hypertension and right heart failure with cardiogenic shock due to scurvy: a case report.

作者信息

Kurnick Adam, Zaveri Sahil, Tadayoni Ashkan, Chandrakumar Harshith P, John Sabu

机构信息

Department of Internal Medicine, SUNY Downstate Health Sciences University, 450 Clarkson Avenue, Brooklyn, NY 11203, USA.

Division of Cardiology, Kings County Hospital, 451 Clarkson Avenue, Brooklyn, NY 11203, USA.

出版信息

Eur Heart J Case Rep. 2023 Aug 17;7(8):ytad404. doi: 10.1093/ehjcr/ytad404. eCollection 2023 Aug.

Abstract

BACKGROUND

The systemic complications of vitamin C deficiency, otherwise known as scurvy, have been well-documented in history. Few case reports have documented severe cardiopulmonary complications such as right heart failure (RHF) and pulmonary hypertension (PH).

CASE SUMMARY

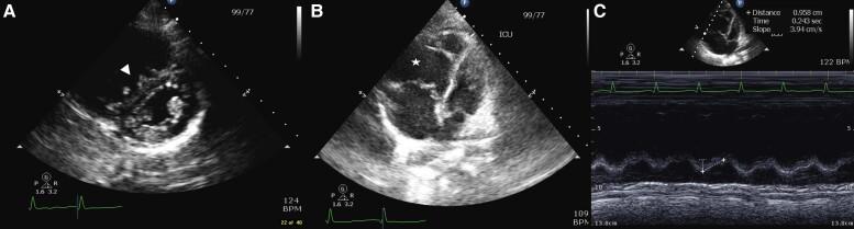
A 25-year-old female presented to the hospital with two weeks of progressive fatigue, dyspnoea, myalgias, and arthralgias. She was admitted for symptomatic anaemia requiring transfusion. Her symptoms persisted and she developed severe PH and RHF, complicated by cardiogenic shock and multiple episodes of cardiac arrest. She was found to have severe vitamin C deficiency secondary to a severely self-restricted diet. After repletion of vitamin C, the patient had complete resolution of RHF and PH.

DISCUSSION

This case adds to the sparse literature documenting severe cardiopulmonary complications of vitamin C deficiency. We believe that this is the first adult case of scurvy causing RHF and PH leading to cardiogenic shock and episodes of cardiac arrest. There are multiple hypotheses on the pathogenesis of scurvy-associated PH and RHF, including overactivation of hypoxia-inducible transcription factors and deficiency of vitamin C's vasodilatory effect that acts through increased nitric oxide production in endothelial cells. When recognized, early vitamin C repletion may prevent severe cardiopulmonary complications of scurvy.

摘要

背景

维生素C缺乏的全身并发症,即坏血病,在历史上已有充分记载。很少有病例报告记录了严重的心肺并发症,如右心衰竭(RHF)和肺动脉高压(PH)。

病例摘要

一名25岁女性因进行性疲劳、呼吸困难、肌痛和关节痛两周前来就诊。她因症状性贫血需要输血而入院。她的症状持续存在,并发展为严重的肺动脉高压和右心衰竭,并发心源性休克和多次心脏骤停。发现她因严重的自我限制饮食继发严重维生素C缺乏。补充维生素C后,患者的右心衰竭和肺动脉高压完全缓解。

讨论

该病例补充了关于维生素C缺乏严重心肺并发症的稀少文献。我们认为这是第一例坏血病导致右心衰竭和肺动脉高压并引发心源性休克和心脏骤停的成人病例。关于坏血病相关肺动脉高压和右心衰竭的发病机制有多种假说,包括缺氧诱导转录因子的过度激活以及维生素C通过增加内皮细胞一氧化氮生成而起的血管舒张作用的缺乏。一旦确诊,早期补充维生素C可预防坏血病的严重心肺并发症。

https://cdn.ncbi.nlm.nih.gov/pmc/blobs/cc2c/10464571/fddf68bdbc34/ytad404f1.jpg

文献检索

告别复杂PubMed语法,用中文像聊天一样搜索,搜遍4000万医学文献。AI智能推荐,让科研检索更轻松。

立即免费搜索

文件翻译

保留排版,准确专业,支持PDF/Word/PPT等文件格式,支持 12+语言互译。

免费翻译文档

深度研究

AI帮你快速写综述,25分钟生成高质量综述,智能提取关键信息,辅助科研写作。

立即免费体验