Suppr超能文献

椎动脉介入术后皮质盲的视觉刺激康复:一例报告及文献综述

Visual stimulation rehabilitation for cortical blindness after vertebral artery interventional surgery: A case report and literature review.

作者信息

Wang Juehan, Zou Liliang, Jiang Xiaorui, Wang Daming, Mao Lin, Yang Xiaofeng

机构信息

Department of Rehabilitation Medicine, The First Affiliated Hospital, Zhejiang University School of Medicine, Hangzhou, China.

Department of Rehabilitation Medicine, The First People's Hospital of Yuhang District, Hangzhou, China.

出版信息

Int J Surg Case Rep. 2023 Sep;110:108753. doi: 10.1016/j.ijscr.2023.108753. Epub 2023 Aug 28.

Abstract

INTRODUCTION AND IMPORTANCE

Cortical blindness (CB) after vertebral artery interventional surgery is not a frequently reported complication. In this study, the efficacy of visual stimulation rehabilitation consisting of visual recovery training and repetitive transcranial magnetic stimulation (rTMS) for cortical blindness was investigated by clinical evaluation, ophthalmologic examination, and electroencephalography (EEG).

CASE PRESENTATION

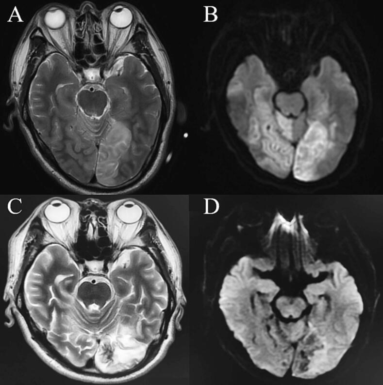
This study reports on a 55-year-old male who showed partial bilateral posterior cerebral artery cortical branch occlusion after timely embolectomy due to thrombus dislodgement during right vertebral artery opening, stenting resulting in basilar artery tip occlusion. The lesions were mainly located in the right cerebellar hemisphere and bilateral occipital lobes, and the patient suffered from bilateral loss of vision, with only light perception preserved. The patient began to receive visual recovery training and 15 sessions of right occipital high-frequency transcranial magnetic stimulation 5 days after the onset.

CLINICAL DISCUSSION

After treatment, the patient's capacity to identify things improved, allowing him to watch television, as did the precision and fluency of random hand movements, walking, and self-care.

CONCLUSION

Visual stimulation rehabilitation composed of visual recovery training and rTMS is a promising therapy option for cortical blindness, and our case report provides clinical experience with vision recovery for patients with cortical blindness.

摘要

引言与重要性

椎动脉介入手术后的皮质盲(CB)并非常见并发症。在本研究中,通过临床评估、眼科检查和脑电图(EEG),对由视觉恢复训练和重复经颅磁刺激(rTMS)组成的视觉刺激康复治疗皮质盲的疗效进行了研究。

病例介绍

本研究报告了一名55岁男性,其在右椎动脉开通时因血栓移位进行及时取栓术后出现双侧大脑后动脉皮质支部分闭塞,支架置入导致基底动脉尖闭塞。病变主要位于右小脑半球和双侧枕叶,患者出现双侧视力丧失,仅保留光感。患者在发病5天后开始接受视觉恢复训练和右侧枕叶高频经颅磁刺激15次。

临床讨论

治疗后,患者识别事物的能力有所改善,能够看电视,随机手部动作、行走和自我护理的准确性和流畅性也有所提高。

结论

由视觉恢复训练和rTMS组成的视觉刺激康复是治疗皮质盲的一种有前景的治疗选择,我们的病例报告为皮质盲患者的视力恢复提供了临床经验。

https://cdn.ncbi.nlm.nih.gov/pmc/blobs/aa83/10509878/53f7f6173857/gr1.jpg

相似文献

1
2
Bilateral gradual cortical blindness due to hemodynamic stroke: A case report.
Radiol Case Rep. 2023 Feb 26;18(5):1657-1661. doi: 10.1016/j.radcr.2023.01.098. eCollection 2023 May.
3
Visual and Motor Recovery After "Cognitive Therapeutic Exercises" in Cortical Blindness: A Case Study.
J Neurol Phys Ther. 2017 Jul;41(3):164-172. doi: 10.1097/NPT.0000000000000189.
6
Rehabilitation of visual perception in cortical blindness.
Handb Clin Neurol. 2022;184:357-373. doi: 10.1016/B978-0-12-819410-2.00030-8.
7
Delayed-onset hypoxic cortical blindness: coming back from the abyss.
Doc Ophthalmol. 2022 Apr;144(2):147-152. doi: 10.1007/s10633-021-09860-w. Epub 2022 Jan 3.
8
Multi-modal fMRI and TMS follow-up study of motor cortical stroke caused by hyaluronic acid filler: A case report.
Front Neurol. 2022 Sep 8;13:903648. doi: 10.3389/fneur.2022.903648. eCollection 2022.
9
Cortical Blindness after Cervical Spine Surgery in Supine Position - A Rare Case Report and Review of the Literature.
Asian J Neurosurg. 2021 May 28;16(2):406-411. doi: 10.4103/ajns.AJNS_473_20. eCollection 2021 Apr-Jun.

本文引用的文献

1
Rehabilitation Outcomes of Cortical Blindness and Characteristics Secondary to Cardiac Arrest: A Review.
Cureus. 2022 Dec 25;14(12):e32927. doi: 10.7759/cureus.32927. eCollection 2022 Dec.
2
Multi-modal fMRI and TMS follow-up study of motor cortical stroke caused by hyaluronic acid filler: A case report.
Front Neurol. 2022 Sep 8;13:903648. doi: 10.3389/fneur.2022.903648. eCollection 2022.
4
Rehabilitation of visual perception in cortical blindness.
Handb Clin Neurol. 2022;184:357-373. doi: 10.1016/B978-0-12-819410-2.00030-8.
5
Delayed-onset hypoxic cortical blindness: coming back from the abyss.
Doc Ophthalmol. 2022 Apr;144(2):147-152. doi: 10.1007/s10633-021-09860-w. Epub 2022 Jan 3.
6
Resting-state Functional Connectivity After Occipital Stroke.
Neurorehabil Neural Repair. 2022 Feb;36(2):151-163. doi: 10.1177/15459683211062897. Epub 2021 Dec 23.
9
Rehabilitation of cortically induced visual field loss.
Curr Opin Neurol. 2021 Feb 1;34(1):67-74. doi: 10.1097/WCO.0000000000000884.
10
The SCARE 2020 Guideline: Updating Consensus Surgical CAse REport (SCARE) Guidelines.
Int J Surg. 2020 Dec;84:226-230. doi: 10.1016/j.ijsu.2020.10.034. Epub 2020 Nov 9.

文献AI研究员

20分钟写一篇综述,助力文献阅读效率提升50倍。

立即体验

用中文搜PubMed

大模型驱动的PubMed中文搜索引擎

马上搜索

文档翻译

学术文献翻译模型,支持多种主流文档格式。

立即体验