• 文献检索
  • 文档翻译
  • 深度研究
  • 学术资讯
  • Suppr Zotero 插件Zotero 插件
  • 邀请有礼
  • 套餐&价格
  • 历史记录
应用&插件
Suppr Zotero 插件Zotero 插件浏览器插件Mac 客户端Windows 客户端微信小程序
定价
高级版会员购买积分包购买API积分包
服务
文献检索文档翻译深度研究API 文档MCP 服务
关于我们
关于 Suppr公司介绍联系我们用户协议隐私条款
关注我们

Suppr 超能文献

核心技术专利:CN118964589B侵权必究
粤ICP备2023148730 号-1Suppr @ 2026

文献检索

告别复杂PubMed语法,用中文像聊天一样搜索,搜遍4000万医学文献。AI智能推荐,让科研检索更轻松。

立即免费搜索

文件翻译

保留排版,准确专业,支持PDF/Word/PPT等文件格式,支持 12+语言互译。

免费翻译文档

深度研究

AI帮你快速写综述,25分钟生成高质量综述,智能提取关键信息,辅助科研写作。

立即免费体验

半月板突出指数是不同半月板损伤模式的可靠间接征象:一种基于半月板突出百分比的分类。

The meniscal extrusion index is a reliable indirect sign of different meniscal lesion patterns: a classification based on percentage of meniscal extrusion.

机构信息

Department of Biomedical, Surgical and Dental Sciences, Università degli Studi di Milano, Via della Commenda, 10, 20122, Milan, Italy.

U.O.C. 1° Clinica Ortopedica, ASST Gaetano Pini-CTO, Piazza Cardinal Ferrari 1, 20122, Milan, Italy.

出版信息

Knee Surg Sports Traumatol Arthrosc. 2023 Nov;31(11):5005-5011. doi: 10.1007/s00167-023-07525-6. Epub 2023 Aug 31.

DOI:10.1007/s00167-023-07525-6
PMID:37653144
原文链接:https://pmc.ncbi.nlm.nih.gov/articles/PMC10598112/
Abstract

PURPOSE

This study's goal is to propose a straightforward classification system based on the MEI (Meniscal Extrusion Index), a measure of meniscal extrusion, that relates to various meniscal lesion patterns and has clinical and biomechanical significance. The study's secondary goal is to determine whether the standard 3 mm meniscal extrusion parameter still has value by correlating the MEI with it.

METHODS

1350 knee MRIs that were performed over the course of 2 years made up the study cohort. Following the application of inclusion and exclusion criteria, 200 of those patients were qualified to participate in the study. All the measurements examined for this study underwent an interobserver reliability test.

RESULTS

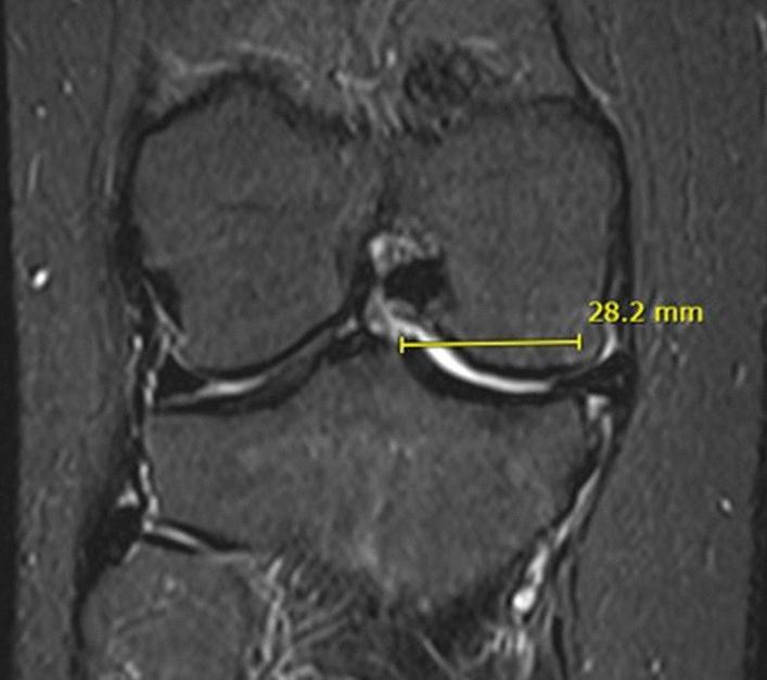
In the 1350 MRIs that were examined for this study, meniscal extrusion of any grade was present 18.9% of the time. The use of the MEI revealed three groups of patients: those with a MEI < 20%, who are likely para-physiological; those with a MEY between 20% and 40%, who are in a grey area; and those with a MEY > 40%, who have lesions that are impairing the proper meniscal function. According to the authors' findings, the percentage of meniscal extrusion did not correlate with the finite number (3 mm), making the 3 mm parameter an unreliable evaluation method.

CONCLUSIONS

This study is clinically relevant, because it proposes a simple and reproducible classification of meniscal extrusion that may aid in evaluating the severity of an extrusion and help in the diagnosis of lesions that might be difficult to identify on MRI.

LEVEL OF EVIDENCE

Level IV.

摘要

目的

本研究旨在提出一种基于半月板挤出指数(MEI)的简单分类系统,该指数与各种半月板病变模式相关,具有临床和生物力学意义。本研究的次要目的是通过将 MEI 与标准 3mm 半月板挤出参数相关联,确定该参数是否仍具有价值。

方法

该研究队列由 2 年内进行的 1350 次膝关节 MRI 组成。在应用纳入和排除标准后,有 200 名符合条件的患者参与了本研究。本研究中检查的所有测量均进行了观察者间可靠性测试。

结果

在本研究中检查的 1350 份 MRI 中,任何等级的半月板挤出的发生率为 18.9%。使用 MEI 显示了三组患者:MEI<20%的患者可能处于生理边缘;MEI 在 20%至 40%之间的患者处于灰色区域;MEI>40%的患者有损伤,会影响半月板的正常功能。根据作者的发现,半月板挤出的百分比与有限的数值(3mm)不相关,这使得 3mm 参数成为一种不可靠的评估方法。

结论

本研究具有临床相关性,因为它提出了一种简单且可重复的半月板挤出分类方法,可能有助于评估挤出的严重程度,并有助于诊断在 MRI 上难以识别的病变。

证据水平

IV 级。

https://cdn.ncbi.nlm.nih.gov/pmc/blobs/4ed1/10598112/4e0214e766e1/167_2023_7525_Fig4_HTML.jpg
https://cdn.ncbi.nlm.nih.gov/pmc/blobs/4ed1/10598112/6b550fcd7e89/167_2023_7525_Fig1_HTML.jpg
https://cdn.ncbi.nlm.nih.gov/pmc/blobs/4ed1/10598112/65ffbcc7c100/167_2023_7525_Fig2_HTML.jpg
https://cdn.ncbi.nlm.nih.gov/pmc/blobs/4ed1/10598112/07f794fe9251/167_2023_7525_Fig3_HTML.jpg
https://cdn.ncbi.nlm.nih.gov/pmc/blobs/4ed1/10598112/4e0214e766e1/167_2023_7525_Fig4_HTML.jpg
https://cdn.ncbi.nlm.nih.gov/pmc/blobs/4ed1/10598112/6b550fcd7e89/167_2023_7525_Fig1_HTML.jpg
https://cdn.ncbi.nlm.nih.gov/pmc/blobs/4ed1/10598112/65ffbcc7c100/167_2023_7525_Fig2_HTML.jpg
https://cdn.ncbi.nlm.nih.gov/pmc/blobs/4ed1/10598112/07f794fe9251/167_2023_7525_Fig3_HTML.jpg
https://cdn.ncbi.nlm.nih.gov/pmc/blobs/4ed1/10598112/4e0214e766e1/167_2023_7525_Fig4_HTML.jpg

相似文献

1
The meniscal extrusion index is a reliable indirect sign of different meniscal lesion patterns: a classification based on percentage of meniscal extrusion.半月板突出指数是不同半月板损伤模式的可靠间接征象:一种基于半月板突出百分比的分类。
Knee Surg Sports Traumatol Arthrosc. 2023 Nov;31(11):5005-5011. doi: 10.1007/s00167-023-07525-6. Epub 2023 Aug 31.
2
No dynamic extrusion of the medial meniscus in ultrasound examination in patients with confirmed root tear lesion.在确诊根撕裂病变的患者的超声检查中,未见内侧半月板的动态外突。
Knee Surg Sports Traumatol Arthrosc. 2019 Oct;27(10):3311-3317. doi: 10.1007/s00167-018-5341-4. Epub 2019 Jan 3.
3
Tear gap and severity of osteoarthritis are associated with meniscal extrusion in degenerative medial meniscus posterior root tears.半月板后根撕裂中,撕裂间隙和骨关节炎严重程度与半月板外突有关。
Orthop Traumatol Surg Res. 2019 Nov;105(7):1395-1399. doi: 10.1016/j.otsr.2019.09.015. Epub 2019 Sep 28.
4
Magnetic resonance imaging evidence of meniscal extrusion in medial meniscus posterior root tear.内侧半月板后根撕裂的半月板挤压的磁共振成像证据。
Arthroscopy. 2010 Dec;26(12):1602-6. doi: 10.1016/j.arthro.2010.05.004.
5
A new arthroscopic classification of degenerative medial meniscus root tear that correlates with meniscus extrusion on magnetic resonance imaging.一种与磁共振成像上半月板挤出相关的退行性内侧半月板根部撕裂的新关节镜分类。
Knee. 2016 Mar;23(2):246-50. doi: 10.1016/j.knee.2015.07.003. Epub 2015 Aug 1.
6
Torn discoid lateral meniscus is associated with increased medial meniscal extrusion and worse articular cartilage status in older patients.盘状撕裂的外侧半月板与老年患者内侧半月板外突增加和关节软骨状态恶化有关。
Knee Surg Sports Traumatol Arthrosc. 2019 Aug;27(8):2624-2631. doi: 10.1007/s00167-018-5287-6. Epub 2018 Dec 3.
7
Morphological changes in the superficial medial collateral ligament on knee MR imaging: association with medial meniscal extrusion and posterior root medial meniscus abnormality.膝关节磁共振成像上内侧副韧带浅层的形态学改变:与内侧半月板挤出及内侧半月板后根异常的关联
Skeletal Radiol. 2022 Jul;51(7):1399-1405. doi: 10.1007/s00256-021-03978-3. Epub 2021 Dec 16.
8
Meniscal extrusion under increasing varus in stress patients with a medial meniscus posterior root-tear.在有内侧半月板后根撕裂的内侧半月板挤压征患者中,于内翻应力下观察到半月板突出。
Acta Orthop Belg. 2022 Sep;88(3):505-512. doi: 10.52628/88.3.9371.
9
Medial meniscal extrusion: Detection, evaluation and clinical implications.内侧半月板挤压:检测、评估与临床意义。
Eur J Radiol. 2018 May;102:115-124. doi: 10.1016/j.ejrad.2018.03.007. Epub 2018 Mar 6.
10
The effect of a longitudinal tear of the medial meniscus on medial meniscal extrusion in anterior cruciate ligament injury patients.内侧半月板纵向撕裂对前交叉韧带损伤患者内侧半月板挤出的影响。
Knee. 2019 Dec;26(6):1292-1298. doi: 10.1016/j.knee.2019.07.019. Epub 2019 Sep 10.

引用本文的文献

1
Meniscal extrusion: Proposal for a novel qualitative classification.半月板挤压:一种新型定性分类的建议
J Exp Orthop. 2024 Dec 31;12(1):e70126. doi: 10.1002/jeo2.70126. eCollection 2025 Jan.
2
Centralization reduces meniscal extrusion, improves joint mechanics and functional outcomes in patients undergoing meniscus surgery: A systematic review and meta-analysis.集中化减少半月板挤出,改善半月板手术患者的关节力学和功能结果:一项系统评价和荟萃分析。
Knee Surg Sports Traumatol Arthrosc. 2025 Mar;33(3):888-906. doi: 10.1002/ksa.12410. Epub 2024 Aug 9.
3
Arthroscopic Repair of Extruded Meniscus Tears: Impact on Symptom Relief and Functional Improvement - A 2-Year Follow-Up Study.

本文引用的文献

1
Medial Meniscal Extrusion in Patients With Medial Meniscus Root Tears: A Systematic Review and Meta-analysis.内侧半月板根部撕裂患者的内侧半月板挤出:一项系统评价和荟萃分析。
Orthop J Sports Med. 2023 Mar 6;11(3):23259671231151698. doi: 10.1177/23259671231151698. eCollection 2023 Mar.
2
Association between baseline meniscal extrusion and long-term incident knee osteoarthritis in two different cohorts.基线半月板挤出与两个不同队列中长期膝关节骨关节炎发病的相关性。
Semin Arthritis Rheum. 2023 Apr;59:152170. doi: 10.1016/j.semarthrit.2023.152170. Epub 2023 Jan 29.
3
Meniscal Extrusion Measurements After Posterior Medial Meniscus Root Tears: A Systematic Review and Meta-analysis.
关节镜下半月板挤出撕裂的修复:对症状缓解和功能改善的影响-2 年随访研究。
Med Sci Monit. 2024 Aug 7;30:e945003. doi: 10.12659/MSM.945003.
后内侧半月板后根部撕裂后半月板挤出测量:系统评价和荟萃分析。
Am J Sports Med. 2023 Oct;51(12):3325-3334. doi: 10.1177/03635465221131005. Epub 2022 Dec 21.
4
Bone marrow lesions in the knee are associated with meniscal lesions and cartilage pathologies according to the six-letter system.根据六字母系统,膝关节骨髓损伤与半月板损伤和软骨病变相关。
Knee Surg Sports Traumatol Arthrosc. 2023 Jan;31(1):286-291. doi: 10.1007/s00167-022-07089-x. Epub 2022 Aug 22.
5
The relationship between meniscal pathologies, cartilage loss, joint replacement and pain in knee osteoarthritis: a systematic review.膝关节骨关节炎中半月板病变、软骨丢失、关节置换和疼痛之间的关系:系统评价。
Osteoarthritis Cartilage. 2022 Oct;30(10):1287-1327. doi: 10.1016/j.joca.2022.08.002. Epub 2022 Aug 11.
6
Meniscal Extrusion: A Critical Analysis Review.半月板突出:批判性分析综述。
JBJS Rev. 2022 Aug 4;10(7). doi: e22.00019. eCollection 2022 Jul 1.
7
Clinical significance and management of meniscal extrusion in different knee pathologies: a comprehensive review of the literature and treatment algorithm.不同膝关节病变中半月板挤压的临床意义及处理:文献综述与治疗方案
Knee Surg Relat Res. 2022 Jul 18;34(1):35. doi: 10.1186/s43019-022-00163-1.
8
Meniscal Root Tears: A Decade of Research on their Relevant Anatomy, Biomechanics, Diagnosis, and Treatment.半月板根部撕裂:十年相关解剖学、生物力学、诊断与治疗研究
Arch Bone Jt Surg. 2022 May;10(5):366-380. doi: 10.22038/ABJS.2021.60054.2958.
9
Meniscus Root Tears: A Clinical Review.半月板根撕裂:临床综述。
Curr Sports Med Rep. 2022 May 1;21(5):155-158. doi: 10.1249/JSR.0000000000000959.
10
Degenerative Meniscus in Knee Osteoarthritis: From Pathology to Treatment.膝关节骨关节炎中的半月板退变:从病理到治疗
Life (Basel). 2022 Apr 18;12(4):603. doi: 10.3390/life12040603.