Suppr超能文献

关节镜下半月板挤出撕裂的修复:对症状缓解和功能改善的影响-2 年随访研究。

Arthroscopic Repair of Extruded Meniscus Tears: Impact on Symptom Relief and Functional Improvement - A 2-Year Follow-Up Study.

机构信息

Department of Orthopedics and Traumatology, Ankara Training and Research Hospital, Ankara, Turkey.

出版信息

Med Sci Monit. 2024 Aug 7;30:e945003. doi: 10.12659/MSM.945003.

Abstract

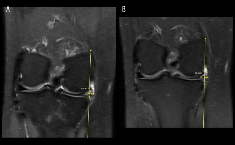
BACKGROUND This retrospective study from a single center in Turkey aimed to evaluate 2-year outcomes of 21 patients undergoing knee arthroscopic repair of extruded meniscus tears without root tear. MATERIAL AND METHODS The retrospective study comprised 21 individuals who underwent arthroscopic extruded meniscus repair and were followed up for at least 2 years. The study analyzed the meniscus extrusion amounts in preoperative and postoperative MRI scans, the Kellgren-Lawrence stages in knee radiographs, and the Lsyhom and The International Knee Documentation Committee (IKDC) scores of the included patients. RESULTS In this study, the repair operation extrusion levels were 3.30 mm from 4.01 mm preoperatively (P<0.001). After the repair, there was a significant increase in the Lsyhom and IKDC scores (P<0.001). According to the Kellgren-Lawrence scale, 12 patients were evaluated as stage 0, 6 patients as stage 1, and 3 patients as stage 2. According to the radiographs taken at the last follow-up, 2 patients progressed from stage 0 to stage 1, 2 patients progressed from stage 1 to stage 2, and 1 patient progressed from stage 2 to stage 3. CONCLUSIONS Arthroscopic treatment of extruded meniscus tears can enhance functional status and increase patients' functional status. Nevertheless, the absence of successful centralization extruded meniscus tears. This study discovered that radiological extrusion did not diminish beyond the critical threshold of 3 mm, which is associated with the development of osteoarthritis. This highlights the necessity of taking these elements into account when devising a treatment plan.

摘要

背景

本研究回顾性分析了土耳其某单中心 21 例无半月板根撕裂的半月板挤压撕裂患者的 2 年随访结果。

材料和方法

该回顾性研究纳入了 21 例接受关节镜下半月板挤压撕裂修复术的患者,随访时间至少 2 年。研究分析了术前和术后 MRI 扫描的半月板挤出量、膝关节 X 线的 Kellgren-Lawrence 分期以及纳入患者的 Lysholm 和国际膝关节文献委员会(IKDC)评分。

结果

本研究中,修复术后的挤出水平从术前的 4.01mm 下降至 3.30mm(P<0.001)。修复后,Lysholm 和 IKDC 评分显著提高(P<0.001)。根据 Kellgren-Lawrence 分级,12 例患者为 0 级,6 例为 1 级,3 例为 2 级。根据末次随访时的 X 线片,2 例从 0 级进展至 1 级,2 例从 1 级进展至 2 级,1 例从 2 级进展至 3 级。

结论

关节镜治疗半月板挤压撕裂可以改善膝关节功能状态,但无法使半月板完全复位。本研究发现,半月板的影像学挤出量并未减少至 3mm 这一与骨关节炎发生相关的临界阈值以下,这提示在制定治疗方案时需要考虑这些因素。

https://cdn.ncbi.nlm.nih.gov/pmc/blobs/36b4/11318362/c811580b444e/medscimonit-30-e945003-g001.jpg

文献检索

告别复杂PubMed语法,用中文像聊天一样搜索,搜遍4000万医学文献。AI智能推荐,让科研检索更轻松。

立即免费搜索

文件翻译

保留排版,准确专业,支持PDF/Word/PPT等文件格式,支持 12+语言互译。

免费翻译文档

深度研究

AI帮你快速写综述,25分钟生成高质量综述,智能提取关键信息,辅助科研写作。

立即免费体验