Suppr超能文献

1982 - 1983年加利福尼亚州北部的鹅膏毒素中毒事件

Amatoxin poisoning in northern California, 1982-1983.

作者信息

Pond S M, Olson K R, Woo O F, Osterloh J D, Ward R E, Kaufman D A, Moody R R

出版信息

West J Med. 1986 Aug;145(2):204-9.

Abstract

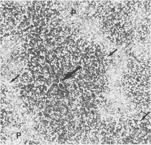
Twenty-two patients who ate mushrooms containing hepatotoxic amatoxins were treated during the fall and winter seasons of 1982 and 1983. All patients were treated with intensive supportive care and repeated oral doses of activated charcoal. In two patients fulminant hepatic failure developed and they died. One patient in whom encephalopathy developed had an orthotopic liver transplant and survived. Liver biopsy specimens obtained from five patients during the acute illness showed centrilobular hemorrhagic necrosis. The hepatic histopathology in a biopsy specimen from a 5-year-old boy eight weeks after mushrooms were eaten showed bands of fibrosis and islands of hepatocytes suggestive of early cirrhosis. Radioimmunoassay for amanitins, done on the serum from all patients, detected the toxins in only three, probably because most of the specimens were obtained 24 hours or more after the ingestion. This series, with a mortality rate of 9%, illustrates the outcome in patients who receive intensive supportive care and provides a background on which success of specific treatments should be judged.

摘要

1982年和1983年秋冬季节,对22名食用了含肝毒性鹅膏毒素蘑菇的患者进行了治疗。所有患者均接受了强化支持治疗,并多次口服活性炭。两名患者发生暴发性肝衰竭并死亡。一名发生脑病的患者接受了原位肝移植并存活。在急性病期间从5名患者身上获取的肝活检标本显示小叶中心出血性坏死。一名5岁男孩在食用蘑菇8周后的活检标本中的肝脏组织病理学显示有纤维化带和肝细胞岛,提示早期肝硬化。对所有患者的血清进行鹅膏毒素放射免疫测定,仅在3名患者中检测到毒素,可能是因为大多数标本是在摄入后24小时或更长时间获得的。该系列患者死亡率为9%,说明了接受强化支持治疗的患者的治疗结果,并为判断特定治疗的成功提供了背景。

https://cdn.ncbi.nlm.nih.gov/pmc/blobs/74c2/1306876/076bb1bd9117/westjmed00156-0066-a.jpg

相似文献

2
Amatoxin-containing mushroom (Lepiota brunneoincarnata) familial poisoning.
Pediatr Emerg Care. 2015 Apr;31(4):277-8. doi: 10.1097/PEC.0000000000000399.
3
Poisoning by amatoxin-containing mushrooms in suburban New York--report of four cases.
J Toxicol Clin Toxicol. 1994;32(6):715-21. doi: 10.3109/15563659409017978.
4
Amatoxin-Containing Mushroom Poisonings: Species, Toxidromes, Treatments, and Outcomes.
Wilderness Environ Med. 2018 Mar;29(1):111-118. doi: 10.1016/j.wem.2017.10.002. Epub 2018 Jan 8.
5
Clinical features and outcome of patients with amatoxin-containing mushroom poisoning.
Clin Toxicol (Phila). 2011 Apr;49(4):303-10. doi: 10.3109/15563650.2011.565772.
6
Liver transplantation after severe poisoning due to amatoxin-containing Lepiota--report of three cases.
J Toxicol Clin Toxicol. 1995;33(2):165-71. doi: 10.3109/15563659509000468.
7
[Mushroom poisoning. New possibilities for treatment].
Fortschr Med. 1976 Apr 8;94(10):539-44.
8
Mushroom poisoning in Hong Kong: a ten-year review.
Hong Kong Med J. 2016 Apr;22(2):124-30. doi: 10.12809/hkmj154706. Epub 2016 Mar 11.
9
Potential value of urinary amatoxin quantification in patients with hepatotoxic mushroom poisoning.
Liver Int. 2019 Jun;39(6):1128-1135. doi: 10.1111/liv.14028. Epub 2019 Feb 17.
10

引用本文的文献

1
Extensive proximal tubular necrosis without recovery following the ingestion of Amanita phalloides: a case report.
J Nephrol. 2021 Dec;34(6):2137-2140. doi: 10.1007/s40620-021-01018-w. Epub 2021 Jun 18.
3
Lepiota subincarnata J.E. Lange induced fulminant hepatic failure presenting with pancreatitis.
J Med Toxicol. 2010 Jun;6(2):155-7. doi: 10.1007/s13181-010-0062-1.
4
The optimal management of mushroom poisoning remains undetermined.
West J Med. 2000 Nov;173(5):317-8. doi: 10.1136/ewjm.173.5.317.
6
Intensive hemodialysis and hemoperfusion treatment of Amanita mushroom poisoning.
Mycopathologia. 1995 Aug;131(2):107-14. doi: 10.1007/BF01102888.
7
Treatment of mushroom amanitin poisoning.
West J Med. 1986 Oct;145(4):521.
8
Fulminant hepatic failure.
West J Med. 1988 Nov;149(5):586-91.
9
Fatal mushroom poisoning in Barcelona, 1986-1988.
Mycopathologia. 1989 Dec;108(3):207-9. doi: 10.1007/BF00436227.

本文引用的文献

1
Thioctic Acid and mushroom poisoning.
Science. 1975 Jan 24;187(4173):216. doi: 10.1126/science.187.4173.216.
4
Amanita phalloides-type mushroom poisoning.
West J Med. 1982 Oct;137(4):282-9.
5
A rapid radioimmunoassay, using a nylon support, for amatoxins from Amanita mushrooms.
Toxicon. 1982;20(5):913-24. doi: 10.1016/0041-0101(82)90079-4.
7
Clinical pharmacokinetics of oral activated charcoal in acute intoxications.
Clin Pharmacokinet. 1982 Nov-Dec;7(6):465-89. doi: 10.2165/00003088-198207060-00001.
8
Earlier charcoal haemoperfusion in fulminant hepatic failure.
Lancet. 1982 Sep 25;2(8300):681-3. doi: 10.1016/s0140-6736(82)90711-5.
9
Histologic changes in the liver biopsy in Amanita phalloides intoxication.
Hum Pathol. 1972 Jun;3(2):249-54. doi: 10.1016/s0046-8177(72)80078-9.

文献AI研究员

20分钟写一篇综述,助力文献阅读效率提升50倍。

立即体验

用中文搜PubMed

大模型驱动的PubMed中文搜索引擎

马上搜索

文档翻译

学术文献翻译模型,支持多种主流文档格式。

立即体验