Suppr超能文献

胎儿高回声肾队列研究及荟萃分析。

Fetal hyperechoic kidney cohort study and a meta-analysis.

作者信息

Yang Wei, Zu Shujing, Jin Qiu, Liu Yu, Wang Chao, Shen Huimin, Wang Ruijing, Zhang Hui, Liu Meimei

机构信息

Department of Obstetrics and Gynecology, The Second Affliliated Hospital of Harbin Medical University, Harbin, China.

Department of Prenatal Diagnosis, Harbin Red Cross Central Hospital, Harbin, China.

出版信息

Front Genet. 2023 Aug 17;14:1237912. doi: 10.3389/fgene.2023.1237912. eCollection 2023.

Abstract

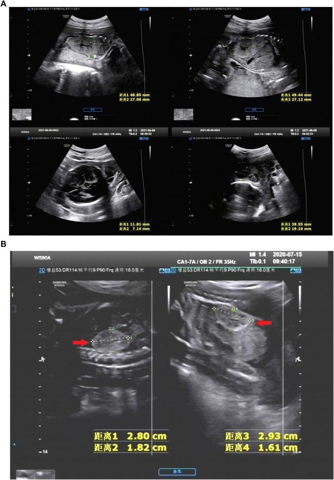
To investigate the positive rate of chromosomal and monogenic etiologies and pregnancy outcomes in fetuses with hyperechoic kidney, and to provide more information for genetic counseling and prognosis evaluation. We performed a retrospective analysis of 25 cases of hyperechoic kidney diagnosed prenatal in the Second Affiliated Hospital of Harbin Medical University and Harbin Red Cross Central Hospital (January 2017-December 2022). Furthermore, we conducted a meta-analysis of a series of hyperechoic kidneys (HEK) in the literature to assess the incidence of chromosomal and monogenic etiologies, mortality, and pooled odds ratio (OR) estimates of the association between the incidence of these outcomes and other associated ultrasound abnormalities. 25 fetuses of HEK were enrolled in the cohort study, including 14 with isolated hyperechoic kidney (IHK) and 11 with non-isolated hyperechoic kidney (NIHK). Chromosomal aneuploidies were detected in 4 of 20 patients (20%). The detection rate of pathogenic or suspected pathogenic copy number variations (CNVs) was 29% (4/14) for IHK and 37% (4/11) for NIHK. Whole exome sequencing (WES) was performed in 5 fetuses, and pathogenic genes were detected in all of them. The rate of termination of pregnancy was 56% in HEK. 21 studies including 1,178 fetuses were included in the meta-analysis. No case of abnormal chromosome karyotype or (intrauterine death)IUD was reported in fetuses with IHK. In contrast, the positive rate of karyotype in NIHK was 22% and that in HEK was 20%, with the ORs of 0.28 (95% CI 0.16-0.51) and 0.25, (95% CI 0.14-0.44), respectively. The positive rate of (chromosome microarray analysis) CMA in IHK was 59% and that in NIHK was 32%, with the ORs of 1.46 (95% CI 1.33-1.62) and 0.48 (95% CI, 0.28-0.85), respectively. The positive rate of monogenic etiologies in IHK was 31%, with the OR of 0.80 (95% CI 0.25-2.63). In IHK, the termination rate was 21% and neonatal mortality was 13%, with the ORs of 0.26 (95% CI, 0.17-0.40), 1.72 (95% CI, 1.59-1.86), and that in NIHK was 63%, 0.15 (95% CI, 0.10-0.24); 11%, 0.12 (95% CI, 0.06-0.26), respectively. The intrauterine mortality in NIHK group was 2%, with the OR of 0.02 (95% CI, 0.01-0.05). variant has the highest incidence (26%) in IHK. The positive rate of karyotype was 20% in HEK and 22% in NIHK. The positive rate of CMA was 32% in NIHK and 59% in IHK. The positive rate of IHK monogenic etiologies was 31%. gene variation is the most common cause of IHK. The overall fetal mortality rate of NIHK is significantly higher than that of IHK. The amount of amniotic fluid, kidney size and the degree of corticomedullary differentiation have a great impact on the prognosis, these indicators should be taken into consideration to guide clinical consultation and decision-making.

摘要

为研究高回声肾胎儿的染色体和单基因病因阳性率及妊娠结局,为遗传咨询和预后评估提供更多信息。我们对哈尔滨医科大学附属第二医院和哈尔滨红十字中心医院2017年1月至2022年12月期间产前诊断为高回声肾的25例病例进行了回顾性分析。此外,我们对文献中一系列高回声肾(HEK)进行了荟萃分析,以评估染色体和单基因病因的发生率、死亡率以及这些结局发生率与其他相关超声异常之间关联的合并比值比(OR)估计值。25例高回声肾胎儿纳入队列研究,其中14例为孤立性高回声肾(IHK),11例为非孤立性高回声肾(NIHK)。20例患者中有4例(20%)检测到染色体非整倍体。IHK的致病性或疑似致病性拷贝数变异(CNV)检出率为29%(4/14),NIHK为37%(4/11)。对5例胎儿进行了全外显子组测序(WES),均检测到致病基因。高回声肾胎儿的妊娠终止率为56%。荟萃分析纳入了21项研究,共1178例胎儿。IHK胎儿未报告染色体核型异常或宫内死亡(IUD)病例。相比之下,NIHK的核型阳性率为22%,HEK为20%,OR分别为0.28(95%CI 0.16 - 0.51)和0.25(95%CI 0.14 - 0.44)。IHK的染色体微阵列分析(CMA)阳性率为59%,NIHK为32%,OR分别为1.46(95%CI 1.33 - 1.62)和0.48(95%CI 0.28 - 0.85)。IHK单基因病因的阳性率为31%,OR为0.80(95%CI 0.25 - 2.63)。在IHK中,终止妊娠率为21%,新生儿死亡率为13%,OR分别为0.26(95%CI 0.17 - 0.40)、1.72(95%CI 1.59 - 1.86),NIHK的分别为63%、0.15(95%CI 0.10 - 0.24);11%、0.12(95%CI 0.06 - 0.26)。NIHK组的宫内死亡率为2%,OR为0.02(95%CI 0.01 - 0.05)。变异在IHK中的发生率最高(26%)。HEK的核型阳性率为20%,NIHK为22%。NIHK的CMA阳性率为32%,IHK为59%。IHK单基因病因的阳性率为31%。基因变异是IHK最常见的原因。NIHK的总体胎儿死亡率显著高于IHK。羊水量、肾脏大小和皮质髓质分化程度对预后有很大影响,这些指标应在指导临床咨询和决策时予以考虑。

https://cdn.ncbi.nlm.nih.gov/pmc/blobs/d4de/10469696/05867a1664dc/fgene-14-1237912-g001.jpg

文献AI研究员

20分钟写一篇综述,助力文献阅读效率提升50倍。

立即体验

用中文搜PubMed

大模型驱动的PubMed中文搜索引擎

马上搜索

文档翻译

学术文献翻译模型,支持多种主流文档格式。

立即体验