Suppr超能文献

结节性硬化症患者视网膜星形细胞错构瘤合并视网膜分支静脉阻塞

Retinal astrocytic hamartoma complicated by branch retinal vein occlusion in a patient with tuberous sclerosis complex.

作者信息

Afshar Pedram, Zeidabadinejad Haniyeh, Ghassemi Fariba, Riazi-Esfahani Hamid, Khalili Pour Elias

机构信息

Retina Ward, Farabi Eye Hospital, Tehran University of Medical Sciences, Tehran, Iran.

出版信息

Am J Ophthalmol Case Rep. 2023 Aug 24;32:101920. doi: 10.1016/j.ajoc.2023.101920. eCollection 2023 Dec.

Abstract

PURPOSE

To report a case with branch retinal vein occlusion secondary to a retinal astrocytic hamartoma in a patient with tuberous sclerosis complex.

OBSERVATIONS

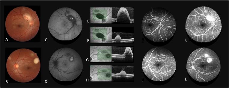
A fourteen-year-old boy, a known case of tuberous sclerosis complex, with multiple bilateral retinal astrocytic hamartomas was followed by 6 months intervals. In his last follow-up, 6 months after initial presentation, the patient developed angiographic signs of branch retinal vein occlusion (BRVO) in the superotemporal arcade of the right eye distal to one of the retinal astrocytic hamartomas. He underwent targeted retinal laser photocoagulation. No secondary complication related to BRVO was observed during the next six-month follow-up.

CONCLUSION

And Importance: Although the co-occurrence of branch retinal vein occlusion and astrocytic hamartoma may represent an incidental finding, awareness of BRVO as a possible complication associated with retinal astrocytic hamartoma helps timely diagnosis and prompt treatment of this complication, improving the visual prognosis of these patients.

摘要

目的

报告1例结节性硬化症患者发生继发于视网膜星形细胞瘤的视网膜分支静脉阻塞病例。

观察结果

一名14岁男孩,已知患有结节性硬化症,双眼有多个视网膜星形细胞瘤,每隔6个月进行一次随访。在初次就诊6个月后的最后一次随访中,患者右眼颞上弓形区距其中一个视网膜星形细胞瘤远端出现视网膜分支静脉阻塞(BRVO)的血管造影征象。他接受了靶向视网膜激光光凝治疗。在接下来的6个月随访中未观察到与BRVO相关的继发并发症。

结论及重要性

尽管视网膜分支静脉阻塞和星形细胞瘤同时出现可能是偶然发现,但认识到BRVO是与视网膜星形细胞瘤相关的一种可能并发症有助于及时诊断和迅速治疗该并发症,改善这些患者的视力预后。

https://cdn.ncbi.nlm.nih.gov/pmc/blobs/fd29/10470416/9cb875efb134/gr1.jpg

文献AI研究员

20分钟写一篇综述,助力文献阅读效率提升50倍。

立即体验

用中文搜PubMed

大模型驱动的PubMed中文搜索引擎

马上搜索

文档翻译

学术文献翻译模型,支持多种主流文档格式。

立即体验