Suppr超能文献

原发性脐尿管平滑肌肉瘤:一例病例报告及临床、病理和医学影像特征的文献综述

Primary urachal leiomyosarcoma: a case report and literature review of clinical, pathological, and medical imaging features.

作者信息

Yan Jing, Li Hongwei, Yan Gaowu, Duan Qing, Tang Chunyan, McClure Morgan A, Bhetuwal Anup, Li Yong, Yang Ling, Li Ruyi, Tan Gangcheng, Feng Bo

机构信息

Department of Radiology, Suining Central Hospital, Suining, China.

Department of Radiology, The Third Hospital of Mianyang, Sichuan Mental Health Center, Mianyang, China.

出版信息

Front Oncol. 2023 Aug 17;13:1228178. doi: 10.3389/fonc.2023.1228178. eCollection 2023.

Abstract

BACKGROUND

Urachal tumors are exceedingly rare, and adenocarcinoma is the most common malignant urachal neoplasm. Here, an especially rare patient of primary urachal leiomyosarcoma from our hospital was reported, and only five patients have been reported thus far since 1981.

CASE DESCRIPTION

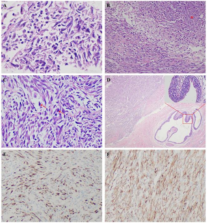
A 24-year-old man was admitted due to urinary tract symptoms. Both urogenital ultrasonography and contrast-enhanced computed tomography showed a mass at the dome of the urinary bladder. Laparoscopic surgical resection was performed, and histopathologic examination of the mass confirmed the diagnosis of urachal leiomyosarcoma. No recurrence was noted after one and a half years.

CONCLUSIONS

Because the leiomyosarcoma located in the extraperitoneal space of Retzius and may manifest with nonspecific abdominal or urinary symptoms, early and definitive preoperative diagnosis is challenging. Partial cystectomy with complete excision of the urachus is recommended. Because only a few patients have been recorded, clinical outcomes and recurrence risks are difficult to assess.

摘要

背景

脐尿管肿瘤极为罕见,腺癌是最常见的脐尿管恶性肿瘤。本文报道了我院一例特别罕见的原发性脐尿管平滑肌肉瘤患者,自1981年以来至今仅报道过5例。

病例描述

一名24岁男性因尿路症状入院。泌尿生殖系统超声和增强计算机断层扫描均显示膀胱顶部有一肿块。进行了腹腔镜手术切除,肿块的组织病理学检查确诊为脐尿管平滑肌肉瘤。一年半后未发现复发。

结论

由于平滑肌肉瘤位于Retzius腹膜外间隙,可能表现为非特异性腹部或泌尿系统症状,术前早期明确诊断具有挑战性。建议行部分膀胱切除术并完整切除脐尿管。由于记录的病例较少,临床结果和复发风险难以评估。

https://cdn.ncbi.nlm.nih.gov/pmc/blobs/a786/10470618/e98c39cfbaf3/fonc-13-1228178-g001.jpg

文献AI研究员

20分钟写一篇综述,助力文献阅读效率提升50倍。

立即体验

用中文搜PubMed

大模型驱动的PubMed中文搜索引擎

马上搜索

文档翻译

学术文献翻译模型,支持多种主流文档格式。

立即体验