Suppr超能文献

恒河猴腮腺的急性和晚期放射性损伤。间期细胞死亡的证据。

Acute and late radiation injury in rhesus monkey parotid glands. Evidence of interphase cell death.

作者信息

Stephens L C, King G K, Peters L J, Ang K K, Schultheiss T E, Jardine J H

出版信息

Am J Pathol. 1986 Sep;124(3):469-78.

Abstract

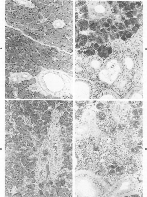
Acute and chronic salivary gland dysfunction are common sequelae of radiotherapy for head and neck cancer; but the associated morphologic changes, especially of the acute damage, have received relatively little study. For investigation of the morphologic characteristics of acute radiation injury to parotid glands, rhesus monkeys were studied 1-72 hours after parotid irradiation with single doses of 2.5-15.0 Gy. The acute damage from all doses was clearly expressed by 24 hours. Histologically, parotid glands irradiated with 2.5 or 5.0 Gy had random degeneration and necrosis of the serous acinar cells. Doses of 7.5-15.0 Gy produced widespread degeneration along with necrosis of whole acini. Serous cell damage was accompanied by neutrophilic inflammation that subsided after 24 hours to become replaced by plasma cell and lymphocytic infiltrates. Parotid glands receiving 7.5-15.0 Gy were atrophic at 16-22 weeks after irradiation and showed no recovery by 40 weeks. Although parotid acinar cells are well-differentiated nondividing cells, these observations show that they express lethal radiation injury in interphase within hours of receiving a radiation dose as low as 2.5 Gy. This is unlike most mammalian cells that express radiation injury during mitosis. Chronic atrophy is a consequence of this direct, irreversible, and early injury, rather than the result of radiation-induced changes in the vasculature.

摘要

急性和慢性唾液腺功能障碍是头颈癌放疗常见的后遗症;但相关的形态学变化,尤其是急性损伤的变化,研究相对较少。为了研究腮腺急性放射性损伤的形态学特征,对恒河猴单次腮腺照射2.5 - 15.0 Gy后1 - 72小时进行了研究。所有剂量的急性损伤在24小时时均明显表现出来。组织学上,接受2.5或5.0 Gy照射的腮腺浆液性腺泡细胞出现随机变性和坏死。7.5 - 15.0 Gy的剂量导致广泛变性以及整个腺泡坏死。浆液细胞损伤伴有中性粒细胞炎症,24小时后消退,继而被浆细胞和淋巴细胞浸润取代。接受7.5 - 15.0 Gy照射的腮腺在照射后16 - 22周出现萎缩,至40周仍未恢复。尽管腮腺腺泡细胞是分化良好的非分裂细胞,但这些观察结果表明,它们在接受低至2.5 Gy的辐射剂量后数小时内的间期就表现出致死性辐射损伤。这与大多数在有丝分裂期间表现出辐射损伤的哺乳动物细胞不同。慢性萎缩是这种直接、不可逆和早期损伤的结果,而非辐射诱导血管变化的结果。

https://cdn.ncbi.nlm.nih.gov/pmc/blobs/1d95/1888342/ee2c9dab4a2e/amjpathol00156-0118-a.jpg

文献检索

告别复杂PubMed语法,用中文像聊天一样搜索,搜遍4000万医学文献。AI智能推荐,让科研检索更轻松。

立即免费搜索

文件翻译

保留排版,准确专业,支持PDF/Word/PPT等文件格式,支持 12+语言互译。

免费翻译文档

深度研究

AI帮你快速写综述,25分钟生成高质量综述,智能提取关键信息,辅助科研写作。

立即免费体验