• 文献检索
  • 文档翻译
  • 深度研究
  • 学术资讯
  • Suppr Zotero 插件Zotero 插件
  • 邀请有礼
  • 套餐&价格
  • 历史记录
应用&插件
Suppr Zotero 插件Zotero 插件浏览器插件Mac 客户端Windows 客户端微信小程序
定价
高级版会员购买积分包购买API积分包
服务
文献检索文档翻译深度研究API 文档MCP 服务
关于我们
关于 Suppr公司介绍联系我们用户协议隐私条款
关注我们

Suppr 超能文献

核心技术专利:CN118964589B侵权必究
粤ICP备2023148730 号-1Suppr @ 2026

文献检索

告别复杂PubMed语法,用中文像聊天一样搜索,搜遍4000万医学文献。AI智能推荐,让科研检索更轻松。

立即免费搜索

文件翻译

保留排版,准确专业,支持PDF/Word/PPT等文件格式,支持 12+语言互译。

免费翻译文档

深度研究

AI帮你快速写综述,25分钟生成高质量综述,智能提取关键信息,辅助科研写作。

立即免费体验

伊拉克杜胡克屠宰绵羊和山羊中形成大囊肿的物种的组织病理学和分子鉴定

Histopathology and molecular identification of species forming macrocysts in slaughtered sheep and goats of Duhok, Iraq.

作者信息

Hussein Shivan Nawzad, Ibrahim Assel Anwar, Shukur Mohammed Shukri

机构信息

Department of Veterinary Medicine and Surgery, College of Veterinary Medicine, Duhok University, Duhok, Iraq.

出版信息

Vet Res Forum. 2023;14(8):415-422. doi: 10.30466/vrf.2023.559514.3575. Epub 2023 Aug 15.

DOI:10.30466/vrf.2023.559514.3575
PMID:37667792
原文链接:https://pmc.ncbi.nlm.nih.gov/articles/PMC10475170/
Abstract

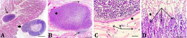
This study aimed to identify species isolated from macroscopic sarcocysts of naturally infected sheep and goats using histopathological and molecular studies. A total of 260 macrosarcocyst samples were randomly collected from 1,337 infected sheep and goats slaughtered at different abattoirs in Duhok province, Iraq, from May 2021 to June 2022. The macroscopic cysts, which were found in the esophagus, diaphragm, and abdominal muscles, were classified into fat and thin cysts. Histopathological examination of the observed fat and thin cysts showed a thick eosinophilic wall, several internal septa-forming compartments enclosing numerous bradyzoites, and mild mononuclear inflammatory cells infiltrating around the cysts. The and genes of spp. were amplified by polymerase chain reaction (PCR) from 200 macrosarcocysts samples. Molecularly, the DNA sequencing results obtained from fat macrocysts of sheep and goats were found to be identical to , and from thin cysts of sheep proved to be similar to , while from thin macrocysts of goats were found to be identical to . Alignment and phylogenetic analysis observed a very close relationship between identified species of and other DNA sequences of sheep and goats across the world. To our knowledge, this is the first histopathological and molecular study for identification of spp. isolated from different macroscopic forms of sarcocysts of sheep and goats in Iraq.

摘要

本研究旨在通过组织病理学和分子研究,鉴定从自然感染绵羊和山羊的宏观肉孢子虫囊中分离出的物种。2021年5月至2022年6月期间,从伊拉克杜胡克省不同屠宰场宰杀的1337只感染绵羊和山羊中随机收集了总共260个宏观肉孢子虫样本。在食管、膈肌和腹部肌肉中发现的宏观囊肿被分为脂肪囊肿和薄壁囊肿。对观察到的脂肪囊肿和薄壁囊肿进行组织病理学检查,结果显示囊壁嗜酸性增厚,有几个内部隔膜形成隔室,包绕着许多缓殖子,囊肿周围有轻度单核炎性细胞浸润。通过聚合酶链反应(PCR)从200个宏观肉孢子虫样本中扩增了 spp. 的 和 基因。在分子水平上,从绵羊和山羊的脂肪宏观囊肿中获得的DNA测序结果与 相同,从绵羊的薄壁囊肿中获得的结果与 相似,而从山羊的薄壁宏观囊肿中获得的结果与 相同。比对和系统发育分析发现,鉴定出的物种与世界各地绵羊和山羊的其他 DNA序列之间存在非常密切的关系。据我们所知,这是首次在伊拉克对从绵羊和山羊不同宏观形态的肉孢子虫囊中分离出的 spp. 进行组织病理学和分子研究。

https://cdn.ncbi.nlm.nih.gov/pmc/blobs/4234/10475170/0c5464e33258/vrf-14-415-g005.jpg
https://cdn.ncbi.nlm.nih.gov/pmc/blobs/4234/10475170/291bc12be1e3/vrf-14-415-g001.jpg
https://cdn.ncbi.nlm.nih.gov/pmc/blobs/4234/10475170/b824335478e5/vrf-14-415-g002.jpg
https://cdn.ncbi.nlm.nih.gov/pmc/blobs/4234/10475170/17dd12285e1f/vrf-14-415-g003.jpg
https://cdn.ncbi.nlm.nih.gov/pmc/blobs/4234/10475170/53b62712cc3f/vrf-14-415-g004.jpg
https://cdn.ncbi.nlm.nih.gov/pmc/blobs/4234/10475170/0c5464e33258/vrf-14-415-g005.jpg
https://cdn.ncbi.nlm.nih.gov/pmc/blobs/4234/10475170/291bc12be1e3/vrf-14-415-g001.jpg
https://cdn.ncbi.nlm.nih.gov/pmc/blobs/4234/10475170/b824335478e5/vrf-14-415-g002.jpg
https://cdn.ncbi.nlm.nih.gov/pmc/blobs/4234/10475170/17dd12285e1f/vrf-14-415-g003.jpg
https://cdn.ncbi.nlm.nih.gov/pmc/blobs/4234/10475170/53b62712cc3f/vrf-14-415-g004.jpg
https://cdn.ncbi.nlm.nih.gov/pmc/blobs/4234/10475170/0c5464e33258/vrf-14-415-g005.jpg

相似文献

1
Histopathology and molecular identification of species forming macrocysts in slaughtered sheep and goats of Duhok, Iraq.伊拉克杜胡克屠宰绵羊和山羊中形成大囊肿的物种的组织病理学和分子鉴定
Vet Res Forum. 2023;14(8):415-422. doi: 10.30466/vrf.2023.559514.3575. Epub 2023 Aug 15.
2
Morphological, ultrastructural, genetic characteristics and remarkably low prevalence of macroscopic species isolated from sheep and goats in Kurdistan region, Iraq.伊拉克库尔德斯坦地区从绵羊和山羊中分离出的宏观物种的形态学、超微结构、遗传特征及极低的流行率
Front Vet Sci. 2023 Sep 28;10:1225796. doi: 10.3389/fvets.2023.1225796. eCollection 2023.
3
Molecular characterisation of five Sarcocystis species in domestic sheep (Ovis aries) from Spain.五种在西班牙家养绵羊(Ovis aries)中的肉孢子虫(Sarcocystis)物种的分子特征。
Parasitol Res. 2020 Jan;119(1):215-231. doi: 10.1007/s00436-019-06504-6. Epub 2019 Nov 16.
4
Ultrastructural and Molecular Identification of the sarcocysts of Sarcocystis tenella and Sarcocystis arieticanis Infecting Domestic Sheep (Ovis aries) from Egypt.埃及感染家羊(绵羊)的柔嫩肉孢子虫和山羊肉孢子虫肉孢子囊的超微结构及分子鉴定
Acta Parasitol. 2019 Sep;64(3):501-513. doi: 10.2478/s11686-019-00070-8. Epub 2019 Jun 11.
5
Molecular determination of abundance of infection with Sarcocystis species in slaughtered sheep of Urmia, Iran.伊朗乌尔米耶屠宰绵羊中肉孢子虫属感染丰度的分子测定
Vet Res Forum. 2014 Summer;5(3):181-6.
6
Morphologic and molecular identification of three macroscopic Sarcocystis species infecting domestic sheep (Ovis aries) and cattle (Bos taurus) in Egypt.埃及感染绵羊(Ovis aries)和牛(Bos taurus)的三种宏观 Sarcocystis 种的形态学和分子鉴定。
Parasitol Res. 2021 Feb;120(2):637-654. doi: 10.1007/s00436-020-07002-w. Epub 2021 Jan 18.
7
Genetic variability within isolates of Sarcocystis species infecting sheep from Egypt.感染埃及绵羊的肉孢子虫物种分离株内的遗传变异性。
Vet Parasitol Reg Stud Reports. 2018 Aug;13:193-197. doi: 10.1016/j.vprsr.2018.07.002. Epub 2018 Jul 7.
8
Molecular identification of macroscopic and microscopic cysts of sarcocystis in sheep in north khorasan province, iran.伊朗霍拉桑省北部绵羊中肉孢子虫宏观和微观囊肿的分子鉴定
Int J Mol Cell Med. 2014 Winter;3(1):51-6.
9
Molecular Analysis of Sarcocystis Spp. Isolated from Sheep (Ovis aries) in Babol Area, Mazandaran Province, Northern Iran.从伊朗北部马赞德兰省巴博勒地区绵羊(绵羊属)分离出的肉孢子虫属的分子分析
Iran J Parasitol. 2016 Jan-Mar;11(1):73-80.
10
Sarcocystis spp. in sheep and goats: frequency of infection and species identification by morphological, ultrastructural, and molecular tests in Bahia, Brazil.巴西巴伊亚州绵羊和山羊体内的肉孢子虫:通过形态学、超微结构和分子检测确定感染频率及虫种鉴定
Parasitol Res. 2016 Apr;115(4):1683-9. doi: 10.1007/s00436-016-4909-5. Epub 2016 Jan 20.

引用本文的文献

1
Foodborne and neglected parasitic zoonoses in Ethiopian red meat animals: insights from a systematic review and meta-analysis.埃塞俄比亚红肉动物中食源性和被忽视的寄生虫人畜共患病:系统评价和荟萃分析的见解
Front Vet Sci. 2025 Jun 4;12:1501940. doi: 10.3389/fvets.2025.1501940. eCollection 2025.

本文引用的文献

1
Macroscopic, histological, and molecular aspects of Sarcocystis spp. infection in tissues of cattle and sheep.肉孢子虫属感染牛和羊组织的宏观、组织学和分子方面。
Rev Bras Parasitol Vet. 2021 Jun 14;30(3):e003621. doi: 10.1590/S1984-29612021050. eCollection 2021.
2
Molecular detection of cattle Sarcocystis spp. in North-West Italy highlights their association with bovine eosinophilic myositis.意大利西北部牛源 Sarcocystis spp. 的分子检测结果表明其与牛嗜酸性肌炎相关。
Parasit Vectors. 2021 Apr 23;14(1):223. doi: 10.1186/s13071-021-04722-5.
3
Neosporosis, Toxoplasmosis, and Sarcocystosis in Ruminants: An Update.
反刍动物中的新孢子虫病、弓形体病和肉孢子虫病:最新研究进展。
Vet Clin North Am Food Anim Pract. 2020 Mar;36(1):205-222. doi: 10.1016/j.cvfa.2019.11.004.
4
spp. in Romanian Slaughtered Cattle: Molecular Characterization and Epidemiological Significance of the Findings.罗马尼亚屠宰牛中的 spp.:研究结果的分子特征和流行病学意义。
Biomed Res Int. 2019 Oct 13;2019:4123154. doi: 10.1155/2019/4123154. eCollection 2019.
5
Molecular characterisation of five Sarcocystis species in domestic sheep (Ovis aries) from Spain.五种在西班牙家养绵羊(Ovis aries)中的肉孢子虫(Sarcocystis)物种的分子特征。
Parasitol Res. 2020 Jan;119(1):215-231. doi: 10.1007/s00436-019-06504-6. Epub 2019 Nov 16.
6
Ultrastructural and Molecular Identification of the sarcocysts of Sarcocystis tenella and Sarcocystis arieticanis Infecting Domestic Sheep (Ovis aries) from Egypt.埃及感染家羊(绵羊)的柔嫩肉孢子虫和山羊肉孢子虫肉孢子囊的超微结构及分子鉴定
Acta Parasitol. 2019 Sep;64(3):501-513. doi: 10.2478/s11686-019-00070-8. Epub 2019 Jun 11.
7
Molecular Characterization of Species Isolated from Sheep and Goats in Riyadh, Saudi Arabia.沙特阿拉伯利雅得从绵羊和山羊中分离出的物种的分子特征
Animals (Basel). 2019 May 21;9(5):256. doi: 10.3390/ani9050256.
8
Genetic variability within isolates of Sarcocystis species infecting sheep from Egypt.感染埃及绵羊的肉孢子虫物种分离株内的遗传变异性。
Vet Parasitol Reg Stud Reports. 2018 Aug;13:193-197. doi: 10.1016/j.vprsr.2018.07.002. Epub 2018 Jul 7.
9
MEGA X: Molecular Evolutionary Genetics Analysis across Computing Platforms.MEGA X:跨越计算平台的分子进化遗传学分析。
Mol Biol Evol. 2018 Jun 1;35(6):1547-1549. doi: 10.1093/molbev/msy096.
10
Molecular confirmation of Sarcocystis gigantea in a naturally infected sheep in Argentina: A case report.阿根廷一只自然感染巨型肉孢子虫的绵羊的分子鉴定:病例报告
Vet Parasitol. 2017 Dec 15;248:25-27. doi: 10.1016/j.vetpar.2017.10.017. Epub 2017 Nov 6.