Senapathy Gayatri, Putta Tharani, Sistla Srinivas Kishore
Department of Radiology, Asian Institute of Gastroenterology Hospitals, Hyderabad, Telangana, India.
Department of ENT, Asian Institute of Gastroenterology Hospitals, Hyderabad, Telangana, India.
J Clin Imaging Sci. 2023 Aug 9;13:23. doi: 10.25259/JCIS_46_2023. eCollection 2023.
The aim of the study was to evaluate the magnetic resonance imaging (MRI) features of acute invasive fungal rhinosinusitis (AIFRS) at presentation and on follow-up imaging when patients receive treatment with systemic antifungal therapy and surgical debridement.
This is a retrospective analysis of imaging data from a cohort of patients diagnosed with AIFRS during the second wave of COVID-19 in single tertiary referral hospital in South India between March 2021 and May 2021 ( = 68). Final diagnosis was made using a composite reference standard which included a combination of MRI findings, clinical presentation, nasal endoscopy and intraoperative findings, and laboratory proof of invasive fungal infection. Analysis included 62 patients with "Definite AIFRS" findings on MRI and another six patients with "Possible AIFRS" findings on MRI and laboratory proof of invasive fungal infection. Follow-up imaging was available in 41 patients.
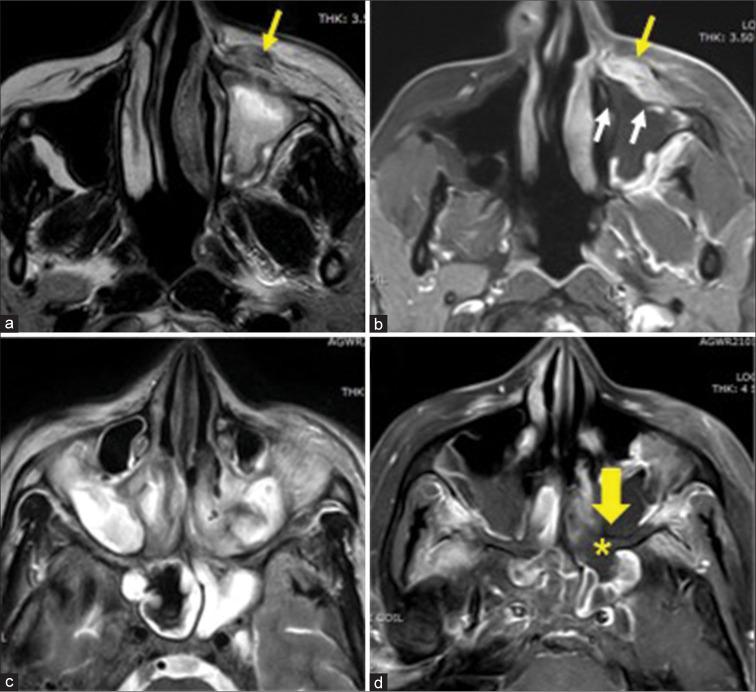
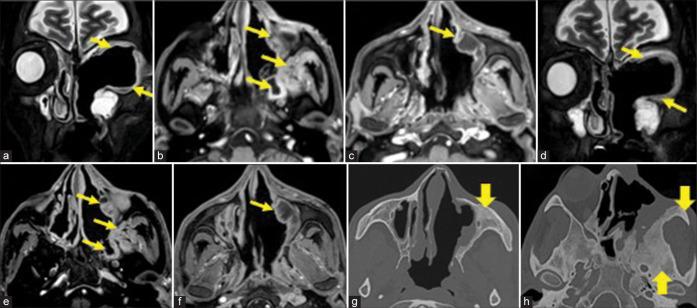
The most frequent MRI finding was T2 hypointensity in the sinonasal mucosa (94%) followed by mucosal necrosis/loss of contrast-enhancement (92.6%). Extrasinosal inflammation with or without necrosis in the pre-antral fat, retroantral fat, pterygopalatine fossa, and masticator space was seen in 91.1% of the cases. Extrasinosal spread was identified on MRI even when the computed tomography (CT) showed intact bone with normal extrasinosal density. Orbital involvement (72%) was in the form of contiguous spread from either the ethmoid or maxillary sinuses; the most frequent presentation being orbital cellulitis and necrosis, with some cases showing extension to the orbital apex (41%) and inflammation of the optic nerve (32%). A total of 22 patients showed involvement of the cavernous sinuses out of which 10 had sinus thrombosis and five patients had cavernous internal carotid artery involvement. Intracranial extension was seen both in the form of contiguous spread to the pachymeninges over the frontal and temporal lobes (25%) and intra-axial involvement in the form of cerebritis, abscesses, and infarcts (8.8%). Areas of blooming on SWI were noted within the areas of cerebritis and infarcts. Perineural spread of inflammation was seen along the mandibular nerves across foramen ovale in five patients and from the cisternal segment of trigeminal nerve to the root exit zone in pons in three patients. During follow-up, patients with disease progression showed involvement of the bones of skull base, osteomyelitis of the palate, alveolar process of maxilla, and zygoma. Persistent hyperenhancement in the post-operative bed after surgical debridement and resection was noted even in patients with stable disease.
Contrast-enhanced MRI must be performed in all patients with suspected AIFRS as non-contrast MRI fails to demonstrate tissue necrosis and CT fails to demonstrate extrasinosal disease across intact bony walls. Orbital apex, pterygopalatine fossa, and the cavernous sinuses form important pathways for disease spread to the skull base and intracranial compartment. While cerebritis, intracranial abscesses, and infarcts can be seen early in the disease due to the angioinvasive nature, perineural spread and skull base infiltration are seen 3-4 weeks after disease onset. Exaggerated soft-tissue enhancement in the post-operative bed after debridement can be a normal finding and must not be interpreted as disease progression.
本研究的目的是评估急性侵袭性真菌性鼻窦炎(AIFRS)患者在接受全身抗真菌治疗和手术清创时,初诊及随访成像时的磁共振成像(MRI)特征。
这是一项对2021年3月至2021年5月在印度南部一家三级转诊医院第二波新冠疫情期间被诊断为AIFRS的一组患者的成像数据进行的回顾性分析(n = 68)。最终诊断采用综合参考标准,该标准包括MRI表现、临床表现、鼻内镜检查和术中发现以及侵袭性真菌感染的实验室证据。分析包括62例MRI显示“确诊AIFRS”的患者和另外6例MRI显示“可能AIFRS”且有侵袭性真菌感染实验室证据的患者。41例患者有随访成像资料。
最常见的MRI表现是鼻窦黏膜T2低信号(94%),其次是黏膜坏死/对比增强消失(92.6%)。91.1%的病例在窦前脂肪、窦后脂肪、翼腭窝和咀嚼肌间隙出现有或无坏死的鼻窦外炎症。即使计算机断层扫描(CT)显示骨质完整且鼻窦外密度正常,MRI也能发现鼻窦外扩散。眼眶受累(72%)表现为来自筛窦或上颌窦的连续性蔓延;最常见的表现是眼眶蜂窝织炎和坏死,部分病例显示延伸至眶尖(41%)和视神经炎症(32%)。共有22例患者出现海绵窦受累,其中10例有窦血栓形成,5例有海绵窦段颈内动脉受累。颅内蔓延表现为连续性蔓延至额叶和颞叶的硬脑膜(25%)以及以脑炎、脓肿和梗死形式出现的轴内受累(8.8%)。在脑炎和梗死区域内可见磁敏感加权成像(SWI)上的磁敏感信号增强区域。5例患者炎症沿下颌神经穿过卵圆孔出现神经周围蔓延,3例患者炎症从三叉神经脑池段蔓延至脑桥神经根出口区。随访期间,病情进展的患者出现颅底骨质受累、腭骨骨髓炎、上颌牙槽突和颧骨骨髓炎。即使是病情稳定的患者,手术清创和切除术后手术床也持续出现强化增强。
所有疑似AIFRS的患者都必须进行对比增强MRI检查,因为非对比MRI无法显示组织坏死,而CT无法显示穿过完整骨壁的鼻窦外疾病。眶尖、翼腭窝和海绵窦是疾病蔓延至颅底和颅内腔隙的重要途径。由于血管侵袭性,脑炎、颅内脓肿和梗死在疾病早期即可出现,而神经周围蔓延和颅底浸润在发病3 - 4周后出现。清创术后手术床软组织强化增强可能是正常表现,不应解释为疾病进展。