Tang Wen-Shuai, Cen Xiang, Yao Shan-Shan, Yin Shu-Ting, Weng Li, Zhao Tong-Jin, Wang Xu
State Key Laboratory of Cellular Stress Biology, School of Life Sciences, Xiamen University, Xiamen, China.
State Key Laboratory of Genetic Engineering, Shanghai Key Laboratory of Metabolic Remodeling and Health, Institute of Metabolism and Integrative Biology, Fudan University, Shanghai, China.
Front Cell Dev Biol. 2023 Aug 24;11:1225628. doi: 10.3389/fcell.2023.1225628. eCollection 2023.
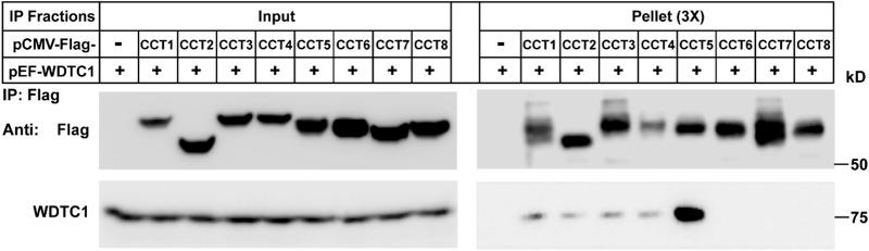
Obesity has become a global pandemic. WDTC1 is a WD40-containing protein that functions as an anti-obesity factor. WDTC1 inhibits adipogenesis by working as an adaptor of the CUL4-DDB1 E3 ligase complex. It remains unclear about how WDTC1 is regulated. Here, we show that the TRiC/CCT functions as a chaperone to facilitate the protein folding of WDTC1 and proper function in adipogenesis. Through tandem purification, we identified the molecular chaperone TRiC/CCT as WDTC1-interacting proteins. WDTC1 bound the TRiC/CCT through its ADP domain, and the TRiC/CCT recognized WDTC1 through the CCT5 subunit. Disruption of the TRiC/CCT by knocking down CCT1 or CCT5 led to misfolding and lysosomal degradation of WDTC1. Furthermore, the knockdown of CCT1 or CCT5 eliminated the inhibitory effect of WDTC1 on adipogenesis. Our studies uncovered a critical role of the TRiC/CCT in the folding of WDTC1 and expanded our knowledge on the regulation of adipogenesis.
肥胖已成为一种全球流行病。WDTC1是一种含WD40的蛋白质,作为一种抗肥胖因子发挥作用。WDTC1通过作为CUL4-DDB1 E3连接酶复合物的衔接子来抑制脂肪生成。目前尚不清楚WDTC1是如何被调控的。在这里,我们表明TRiC/CCT作为伴侣蛋白促进WDTC1的蛋白质折叠以及在脂肪生成中的正常功能。通过串联纯化,我们鉴定出分子伴侣TRiC/CCT是与WDTC1相互作用的蛋白。WDTC1通过其ADP结构域与TRiC/CCT结合,而TRiC/CCT通过CCT5亚基识别WDTC1。通过敲低CCT1或CCT5破坏TRiC/CCT会导致WDTC1错误折叠和溶酶体降解。此外,敲低CCT1或CCT5消除了WDTC1对脂肪生成的抑制作用。我们的研究揭示了TRiC/CCT在WDTC1折叠中的关键作用,并扩展了我们对脂肪生成调控的认识。