Suppr超能文献

儿童及青少年扁平外翻足畸形跟骨延长截骨术失败的危险因素:一项回顾性研究

Risk Factors for Failure of Calcaneal Lengthening Osteotomy in Children and Adolescents With Planovalgus Foot Deformity: A Retrospective Study.

作者信息

Mehanna Joe, Massaad Abir, Assi Ayman, Rassi Joe, Atallah Alexis, Ghanem Ismat

机构信息

Laboratory of Biomechanics and Medical Imaging, Saint Joseph University of Beirut, Beirut, LBN.

Orthopedic Surgery, Hôtel-Dieu de France Hospital, Beirut, LBN.

出版信息

Cureus. 2023 Aug 8;15(8):e43157. doi: 10.7759/cureus.43157. eCollection 2023 Aug.

Abstract

INTRODUCTION

The calcaneal lengthening procedure (CLP) is a well-known surgical technique used for the correction of symptomatic planovalgus foot deformities. Literature shows a significant rate of relapse and undercorrection of the foot post-operatively. Factors determining the failure or success of CLP are still not well understood. The purpose of this retrospective study was to assess the most significant factors related to the failure of this procedure.

METHODS

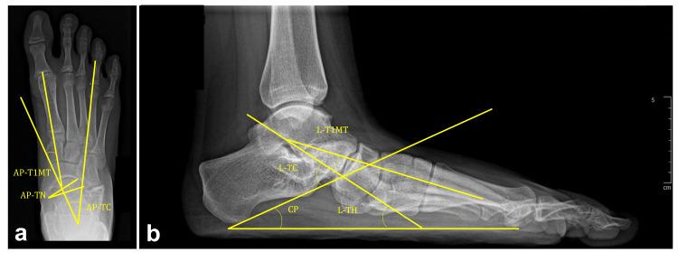
A case-control retrospective study was conducted on 50 patients (80 feet) aged 12.4±2.5 years who underwent CLP. A clinical (demographic parameters, etiology, Gross Motor Function Classification System (GMFCS) level) and radiological evaluation were assessed preoperatively and repeated postoperatively at 56.5±32.5 months. Two methods of osteotomy bone fixation were studied: K-wires vs. eight-plate. Standing anteroposterior (AP) and lateral (L) radiographs were done, and the following radiographic parameters were measured: calcaneocuboid (CC) joint subluxation classified into normal, moderate, and severe (L); AP and L talo-first metatarsal (T1MT) angle; AP talonavicular (TN) coverage angle; AP and L talocalcaneal (TC) angle; calcaneal pitch (CP) angle; and L talo-horizontal (TH) angle. Mosca's criteria were used for clinical and radiological assessments. The association between demographic data, clinical and radiological results, and the variation between preoperative and postoperative angles were studied. The main risk factors affecting clinical results and CC joint subluxation were investigated (logistic regression and analysis of covariance (ANCOVA)).

RESULTS

Satisfactory clinical results were associated with satisfactory radiological ones on Mosca's criteria (p<0.001). The use of an eight-plate for osteotomy fixation gave better results than K-wires (79% vs. 59%). Radiological angles were improved in both techniques postoperatively (increase of CP and L-TC and decrease of AP-T1MT, AP-TC, AP-TN, and L-T1MT, all p<0.05). Non-satisfactory clinical results were associated with a high GMFCS level, a low preoperative AP-TN coverage angle, and a low preoperative CP angle (R=0.45). Both a young age and a low CP angle preoperatively were associated with CC subluxation (R=0.31).

CONCLUSION

The neurological status and the severity of the planovalgus foot deformity preoperatively were the main risk factors affecting clinical outcomes after CLP. However, young age and the severity of the deformity preoperatively were the main risk factors behind CC joint subluxation affecting CLP outcomes.

摘要

引言

跟骨延长术(CLP)是一种用于矫正症状性扁平外翻足畸形的知名外科技术。文献表明,术后足部复发和矫正不足的发生率很高。决定CLP手术成败的因素仍未完全明确。本回顾性研究的目的是评估与该手术失败相关的最重要因素。

方法

对50例(80足)年龄在12.4±2.5岁接受CLP手术的患者进行病例对照回顾性研究。术前进行临床(人口统计学参数、病因、粗大运动功能分类系统(GMFCS)水平)和影像学评估,并在术后56.5±32.5个月重复评估。研究了两种截骨内固定方法:克氏针与八孔钢板。拍摄站立位前后位(AP)和侧位(L)X线片,并测量以下影像学参数:跟骰(CC)关节半脱位分为正常、中度和重度(L);AP和L位距骨-第一跖骨(T1MT)角;AP位距舟(TN)覆盖角;AP和L位距跟(TC)角;跟骨倾斜(CP)角;以及L位距骨-水平(TH)角。采用Mosca标准进行临床和影像学评估。研究了人口统计学数据、临床和影像学结果之间的关联,以及术前和术后角度的变化。调查了影响临床结果和CC关节半脱位的主要危险因素(逻辑回归和协方差分析(ANCOVA))。

结果

根据Mosca标准,满意的临床结果与满意的影像学结果相关(p<0.001)。采用八孔钢板进行截骨内固定的效果优于克氏针(79%对59%)。两种技术术后影像学角度均有改善(CP和L-TC增加,AP-T1MT、AP-TC、AP-TN和L-T1MT减小,均p<0.05)。不满意的临床结果与高GMFCS水平、低术前AP-TN覆盖角和低术前CP角相关(R=0.45)。术前年轻和低CP角均与CC半脱位相关(R=0.31)。

结论

术前的神经状态和扁平外翻足畸形的严重程度是影响CLP术后临床结果的主要危险因素。然而,术前年轻和畸形严重程度是影响CLP结果的CC关节半脱位背后的主要危险因素。

https://cdn.ncbi.nlm.nih.gov/pmc/blobs/1ff7/10484500/cbb2b1162bc7/cureus-0015-00000043157-i01.jpg

文献AI研究员

20分钟写一篇综述,助力文献阅读效率提升50倍。

立即体验

用中文搜PubMed

大模型驱动的PubMed中文搜索引擎

马上搜索

文档翻译

学术文献翻译模型,支持多种主流文档格式。

立即体验